Стоматолог Слынько Алексей Юрьевич — цены, отзывы, стаж — Принимает в Москве

Слынько Алексей Юрьевич

Слынько Алексей Юрьевич - фотография
стоматолог-ортодонт
Стаж 8 лет
Слынько Алексей Юрьевич принимает в «Семейная стоматология ДОМОСТОМ» в Москве. К.м.н., стаж 8 лет. Специализируется на ортодонтии, по которой клиника оказывает 13 услуг. Имеет 4 работы до/после в портфолио. Квалификация специалиста подтверждена 13 лицензиями, сертификатами и наградами. Для уточнения дополнительной информации о специалисте или записи на прием можно позвонить по телефону
+7 (495)Показать телефон
.

Где принимает:

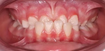
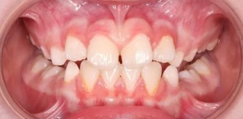
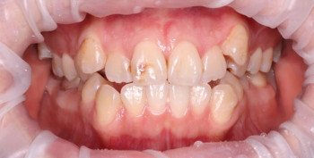
4 работы в портфолио
Кандидат мед.наук
Опыт 8 лет
13 сертификатов
    Помогите другим сделать правильный выбор — оставьте свой отзыв о докторе
    Написать отзыв

    Слынько Алексей Юрьевич: портфолио (4)

    Услуги стоматолога в других клиниках

    Ортодонтия
    Установка брекетов от 10 000 ₽ до 400 000 ₽
    Снятие брекетов от 530 ₽ до 39 000 ₽
    Еще услуги