Стоматолог Бассил Ольга Алексеевна — цены, отзывы, стаж — Принимает в Москве

Бассил Ольга Алексеевна

Бассил Ольга Алексеевна - фотография
стоматолог-ортодонт
Стаж 14 лет
врач высшей категории
Бассил Ольга Алексеевна принимает в «Стоматологическая клиника ЕСЕНЛИ» в Москве. Врач высшей категории, стаж 14 лет. Специализируется на ортодонтии, по которой клиника оказывает 18 услуг. Квалификация специалиста подтверждена 6 лицензиями, сертификатами и наградами. Для уточнения дополнительной информации о специалисте или записи на прием можно позвонить по телефону
+7 (499)Показать телефон
.

Где принимает:

6 сертификатов
1 работа в портфолио
Врач высшей категории
Опыт 14 лет
    Помогите другим сделать правильный выбор — оставьте свой отзыв о докторе
    Написать отзыв

    О стоматологе

    Ольга Алексеевна постоянно повышает свои профессиональные навыки, участвует в международном ортодонтическом конгрессе и в различных стоматологических семинарах! Работает со всеми видами ортодонтических аппаратов для взрослых и детей, в том числе применяет все современные методы лечения на практике.

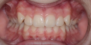
    Бассил Ольга Алексеевна: портфолио (1)

    Услуги стоматолога в других клиниках

    Ортодонтия
    Установка брекетов от 10 000 ₽ до 400 000 ₽
    Снятие брекетов от 530 ₽ до 42 000 ₽
    Еще услуги