Стоматолог Сударикова (Колобкова) Светлана Геннадьевна — цены, отзывы, стаж — Принимает в Москве

Сударикова (Колобкова) Светлана Геннадьевна

Сударикова (Колобкова) Светлана Геннадьевна - фотография

5.0
Рейтинг: 5.0
Отзывов: 14
Положительных: 14
Отрицательных: 0
Последний : 2467 дн. назад
14 отзывов
стоматолог-ортодонт
Стаж 15 лет
Сударикова (Колобкова) Светлана Геннадьевна принимает в «Стоматологическая клиника АГ-НЕКСТ» в Мытищах. Стаж 15 лет. Специализируется на ортодонтии, по которой клиника оказывает 3 услуги. Имеет 9 работ до/после в портфолио. Опыт подтверждён 14 отзывами пациентов, из которых 14 положительные. Для уточнения дополнительной информации о специалисте или записи на прием можно позвонить по телефону
+7 (495)Показать телефон
.

Где принимает:

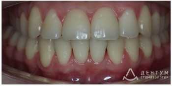
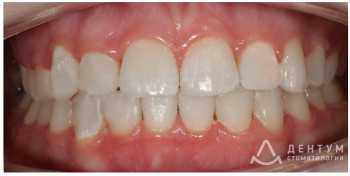
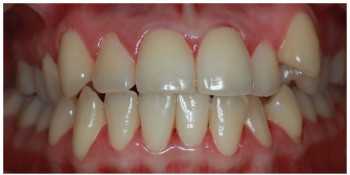
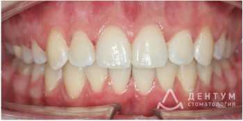
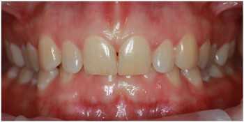
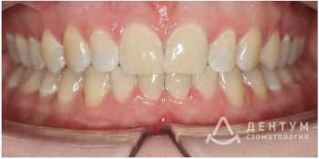
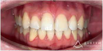
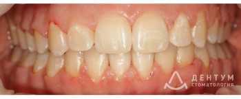
9 работ в портфолио
Опыт 15 лет

О стоматологе

Светлана Геннадиевна всегда настроена на достижение максимального результата лечения. Все пациенты выходят с ее приема с улыбкой и уверенностью в том, что в конце лечения они обязательно получат идеальную улыбку.

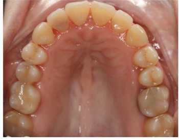
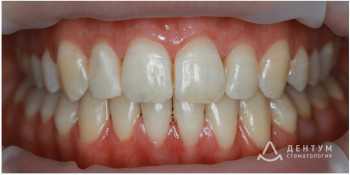
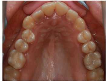
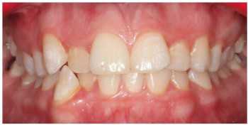
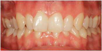
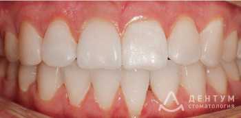
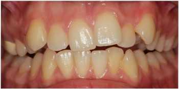
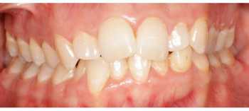
Сударикова (Колобкова) Светлана Геннадьевна: портфолио (9)

Отзывы о враче Сударикова (Колобкова) Светлана Геннадьевна

Рейтинг: 5
Отзывов: 14
Положительных: 14
Отрицательных: 0
Последний: 2467 дн. назад
5.0
Почему нашим отзывам можно доверять?
12 августа 2019 г.
1 2 3 4 5
Консультировался у многих ортодонтов, но только Светлана Геннадьевна дала четкие ответы на все вопросы, на первой консультации сразу решил, что лечиться буду у нее. В данный момент уже прошел курс исправления прикуса на элайнерах. Абсолютно всем доволен.
28 февраля 2019 г.
1 2 3 4 5
В течение последнего года носила элайнеры 3д смайл, зубы очень выровнялись, получила что хотела. Ортодонт Светлана Геннадиевна мне понравилась, переживала за результат вместе со мной, за это время даже подружиться успели. Большое вам спасибо за лечение, наконец у меня нормальные зубы!
6 апреля 2018 г.
1 2 3 4 5
В конце марта закончила выравнивание на самолигирующих брекетах в клинике Дентум. Огромную благодарность выражаю всем кто работал с моими зубами, но в особенности моему ортодонту Колобковой Светлане Геннадьевне. Помню, как год назад на консультации она мне рассказала, что работа над зубами предстоит довольно сложная, но я в хороших руках и волноваться не стоит. После всех этапов я понимаю, как мне повезло! Она очень ответственная, внимательная и аккуратная. Когда делали замеры и диагностику, подробно рассказала, что будет делать, описала каждое действие и возможные прогнозы на выравнивание, спросила мое мнение. Никакого страха не было, даже когда ставили первую систему на верхнюю челюсть. Лечиться у вас здесь было приятно!
27 декабря 2017 г.
1 2 3 4 5
Довольна, что мы с ребенком попали именно к ортодонту Светлане Геннадиевне. Отмечу, что приемов ждать практически не приходилось. Врач очень внимательная, четко и объективно консультирует и выполняет свою работу. Клиника на проспекте маршала Жукова уютная, персонал вежливый, ценовая категория невысокая.
6 декабря 2017 г.
1 2 3 4 5
Прошел курс исправления прикуса у ортодонта Колобковой. У меня просто с детства передние зубы растут немного вовнутрь. В принципе ничего смертельного, но моя девушка убедила меня поправить прикус, нашла в интернете эту клинику, а тут по акции можно было поставить брекеты Деймон. Лечение длилось чуть больше года (думал будет дольше, да и врач предупреждала что будет около 1.5 лет) Очень рад, что лечение закончилось быстрее намеченного срока. Дополнительных трат на лечение, сверх оговоренных изначально не было. Врач очень приятная и внимательная. Результат лечения - идеально ровные зубы! Спасибо!
27 июля 2017 г.
1 2 3 4 5
Хочу в первую очередь выразить огромную благодарность моему ортодонту Светлане Геннадьевне, за ее профессионализм и отношение к своему делу. Посещаю клинику уже третий год, сервис и лечение на уровне при довольно демократичных ценах. Также хотелось бы отметить Алена Алиевича- профессионал своего дела. Рада, что имею дело именно с этой клиникой, где работает внимательный и ответственный персонал, профи в своей сфере деятельности.
12 мая 2017 г.
1 2 3 4 5
Замечательная клиника и отличный персонал. Особо благодарна Светлане Геннадиевне, это чудо-врач! Обратилась к врачу с просьбой снять брекеты с одного зубного ряда, установить ретейнер и сделать профессиональную чистку! Сказать, что я ушла в восторге - ничего не сказать! Врач - отзывчивый, внимательный, аккуратный, одним словом - профессионал своего дела. Год назад мне довелось снимать брекеты с другого зубного ряда у своего лечащего врача, к сожалению, на всю процедуру (включая чистку и установку ретейнера) ушло тогда не более 20 минут, при том, что чистка была проведена очень формально, а ретейнер поставлен одним "ляпом". Мне, как человеку несведущему в данном вопросе, тогда казалось, что так и должно быть. В силу некоторых обстоятельств я была вынуждена искать нового врача для снятия брекетов с др.зубного ряда. Нашла эту клинику и , чему безумно рада, т.к. Светлана Геннадиевна сделала все по высшему разряду, потратила на меня 2 часа, но сделала настолько качественно, что это не встает ни в какое сравнение с моим предыдущим врачом, ей удалось даже устранить следы некачественной обработки верхнего зубного ряда после предыдущего врача. Теперь я приняла решение наблюдаться у нее регулярно и ни в коем случае не вернусь к своему первому ортодонту. а также хочу сказать большое спасибо Евгению (помощнику Светланы Геннадиевны). Он был очень дружелюбным и обходительным и создал очень комфортные условия моего пребывания у врача.
2 марта 2017 г.
1 2 3 4 5
Несмотря на то, что не воспользовался изначально запрашиваемой услугой, ставлю 5 баллов Светлане Геннадьевне за рациональный подход, умение объяснить, не раскручивая на деньги. Спасибо за профессионализм и беспристрастность. Обязательно обращусь в вашу клинику для последующего уже лечения зубов по мере необходимости).
18 декабря 2016 г.
1 2 3 4 5
Был на консультации у доктора Колобковой, первое впечатление хорошее, доктор вызывает доверие, все понятно и подробно мне рассказала об исправлении прикуса в моем случае. Составили план лечения бесплатно, я бывал в других стоматологиях, там это платно. Минус - пришлось ждать приема около получаса.
5 декабря 2016 г.
1 2 3 4 5
Прохожу лечение по исправлению прикуса у врача Колобковой уже полтора года. Она супер врач! О таком враче можно было только мечтать) Всегда добродушная, отзывчивая, а главное отличный специалист! Работает очень аккуратно. Также за период подготовки к установке брекетов проходила лечение и удаление зубов у Алена Алиевича, также высококлассного специалиста, который мастер своего дела и у него на приеме действительно не страшно сидеть. Поэтому смело советую всем своим друзьям и коллегам данную клинику. Так что если хотите иметь здоровые и красивые зубы - Вам точно туда!)
    Помогите другим сделать правильный выбор — оставьте свой отзыв о докторе
    Написать отзыв

    Услуги стоматолога в других клиниках

    Ортодонтия
    Установка брекетов