Стоматолог Наам Константин Владимирович — цены, отзывы, стаж — Принимает в Москве

Наам Константин Владимирович

Наам Константин Владимирович - фотография
пародонтолог
Стаж 19 лет
Наам Константин Владимирович принимает в «Стоматология ДЕНТЭР АВЕНИР КЛИНИК» в Москве. Стаж 19 лет. Специализируется на пародонтологии. Имеет 4 работы до/после в портфолио. Квалификация специалиста подтверждена 63 лицензиями, сертификатами и наградами. Для уточнения дополнительной информации о специалисте или записи на прием можно позвонить по телефону
+7 (967)Показать телефон
.

Где принимает:

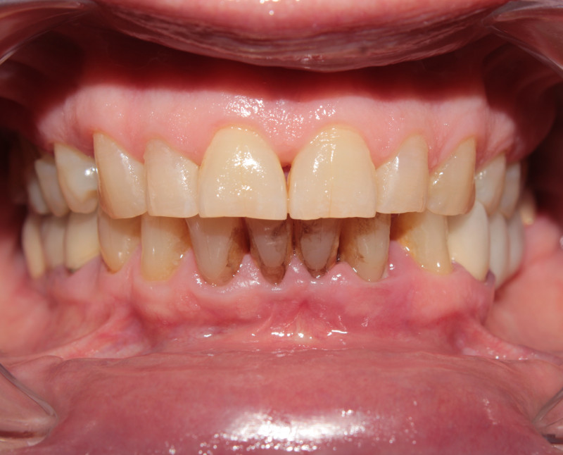
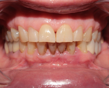
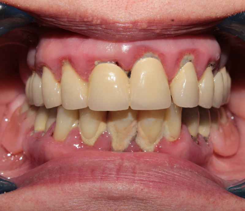
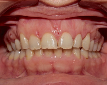
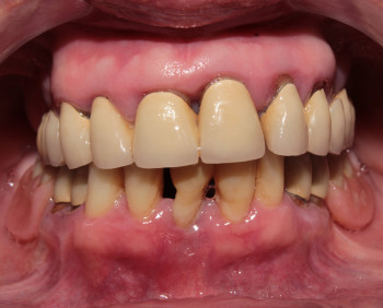
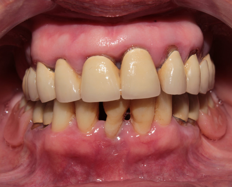
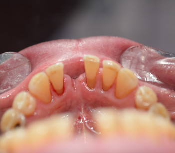
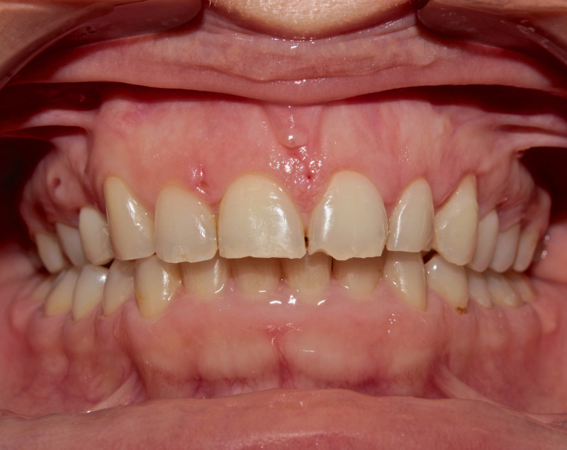
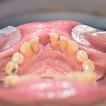
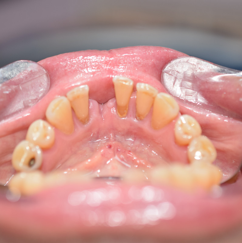
4 работы в портфолио
63 сертификата
Опыт 19 лет

Стоматологические ассоциации

  • Российская пародонтологическая ассоциация
  • Стоматологическая Ассоциация России

О стоматологе

Говорят "пародонтит неизлечим". Константин Владимирович доказывает обратное и успешно его излечивает. Это доктор, который творит чудеса. Всегда докапывается до истинной причины проблемы, что позволяет вылечить пациента полностью

Наам Константин Владимирович: портфолио (4)

    Помогите другим сделать правильный выбор — оставьте свой отзыв о докторе
    Написать отзыв

    Услуги стоматолога в других клиниках

    Терапевтическая стоматология
    Лечение стоматита от 1 500 ₽ до 5 000 ₽
    Лечение флюса от 5 000 ₽ до 10 200 ₽
    Еще услуги
    Пародонтология
    Лечение пародонтита от 170 ₽ до 33 600 ₽
    Лечение пародонтоза от 170 ₽ до 24 800 ₽
    Еще услуги
    Хирургическая стоматология
    Удаление зубов от 1 150 ₽ до 25 000 ₽
    Удаление кисты и гранулемы зуба от 600 ₽ до 48 500 ₽
    Еще услуги