Стоматолог Бурлакова (Петрова) Вероника Олеговна — цены, отзывы, стаж — Принимает в Иванове

Бурлакова (Петрова) Вероника Олеговна

Бурлакова (Петрова) Вероника Олеговна - фотография
стоматолог-терапевт
стоматолог-ортопед
стоматолог-эндодонтист
Стаж 5 лет
Бурлакова (Петрова) Вероника Олеговна принимает в «​Центр имплантации ДЕНТАЛ ДЖЕН» в Иваново. Стаж 5 лет. Специализируется на терапии, ортопедии и эндодонтическом лечении, по которым клиника оказывает 13 услуг. Для уточнения дополнительной информации о специалисте или записи на прием можно позвонить по телефону
+7 (910)Показать телефон
.

Где принимает:

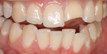
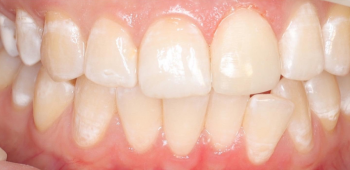
1 работа в портфолио
Опыт 5 лет

Бурлакова (Петрова) Вероника Олеговна: портфолио (1)

    Помогите другим сделать правильный выбор — оставьте свой отзыв о докторе
    Написать отзыв

    Услуги стоматолога в других клиниках

    Терапевтическая стоматология
    Лечение кариеса от 3 566 ₽ до 9 000 ₽
    Лечение пульпита от 6 150 ₽ до 16 250 ₽
    Еще услуги