Стоматолог Камальдинова Аделя Рустемовна — цены, отзывы, стаж — Принимает в Казани

Камальдинова Аделя Рустемовна

Камальдинова Аделя Рустемовна - фотография
стоматолог-ортодонт
Стаж 8 лет
врач высшей категории
Камальдинова Аделя Рустемовна принимает в «Клиника АРХИТЕКТОР УЛЫБОК» в Казани. Врач высшей категории, стаж 8 лет. Специализируется на ортодонтии, по которой клиника оказывает 11 услуг. Имеет 13 работ до/после в портфолио. Для уточнения дополнительной информации о специалисте или записи на прием можно позвонить по телефону
+7 (8432)Показать телефон
.

Где принимает:

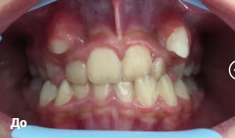
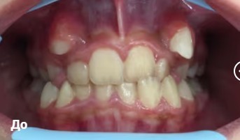
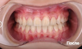
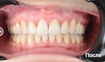
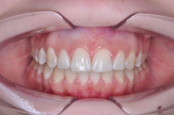
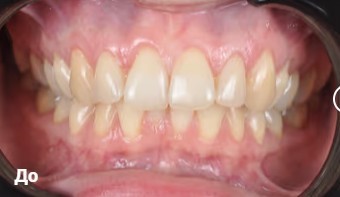
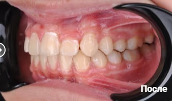
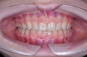
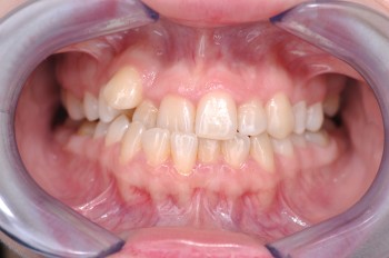
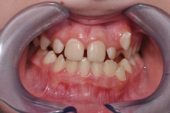
13 работ в портфолио
2 видеоотзыва
Опыт 8 лет
Врач высшей категории
    Помогите другим сделать правильный выбор — оставьте свой отзыв о докторе
    Написать отзыв

    Камальдинова Аделя Рустемовна: портфолио (13)

    Услуги стоматолога в других клиниках

    Диагностика
    Консультация ортодонта от 300 ₽ до 5 000 ₽
    Ортодонтия
    Установка брекетов от 10 000 ₽ до 250 000 ₽
    Снятие брекетов от 1 000 ₽ до 35 000 ₽
    Еще услуги