Стоматолог Федорова Валерия Николаевна — цены, отзывы, стаж — Принимает в Казани

Федорова Валерия Николаевна

Федорова Валерия Николаевна - фотография
стоматолог-ортодонт
Стаж 6 лет
Федорова Валерия Николаевна принимает в «Клиника АРХИТЕКТОР УЛЫБОК» в Казани. Стаж 6 лет. Специализируется на ортодонтии, по которой клиника оказывает 11 услуг. Имеет 6 работ до/после в портфолио. Для уточнения дополнительной информации о специалисте или записи на прием можно позвонить по телефону
+7 (8432)Показать телефон
.

Где принимает:

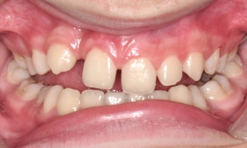
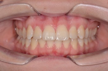
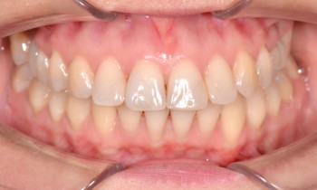
6 работ в портфолио
1 видеоотзыв
Опыт 6 лет
    Помогите другим сделать правильный выбор — оставьте свой отзыв о докторе
    Написать отзыв

    Федорова Валерия Николаевна: портфолио (6)

    Услуги стоматолога в других клиниках

    Диагностика
    Консультация ортодонта от 300 ₽ до 5 000 ₽
    Консультация гнатолога от 500 ₽ до 3 500 ₽
    Еще услуги
    Ортодонтия
    Установка брекетов от 10 000 ₽ до 250 000 ₽
    Снятие брекетов от 1 000 ₽ до 35 000 ₽
    Еще услуги