Стоматолог Салишева Даяна Искандеровна — цены, отзывы, стаж — Принимает в Казани

Салишева Даяна Искандеровна

Салишева Даяна Искандеровна - фотография
стоматолог-ортодонт
Стаж 7 лет
врач высшей категории
Салишева Даяна Искандеровна принимает в «Клиника АРХИТЕКТОР УЛЫБОК» в Казани. Врач высшей категории, стаж 7 лет. Специализируется на ортодонтии, по которой клиника оказывает 11 услуг. Имеет 11 работ до/после в портфолио. Для уточнения дополнительной информации о специалисте или записи на прием можно позвонить по телефону
+7 (8432)Показать телефон
.

Где принимает:

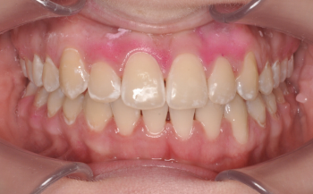
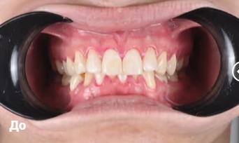
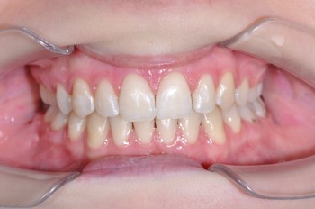
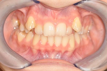
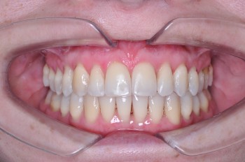
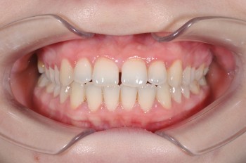
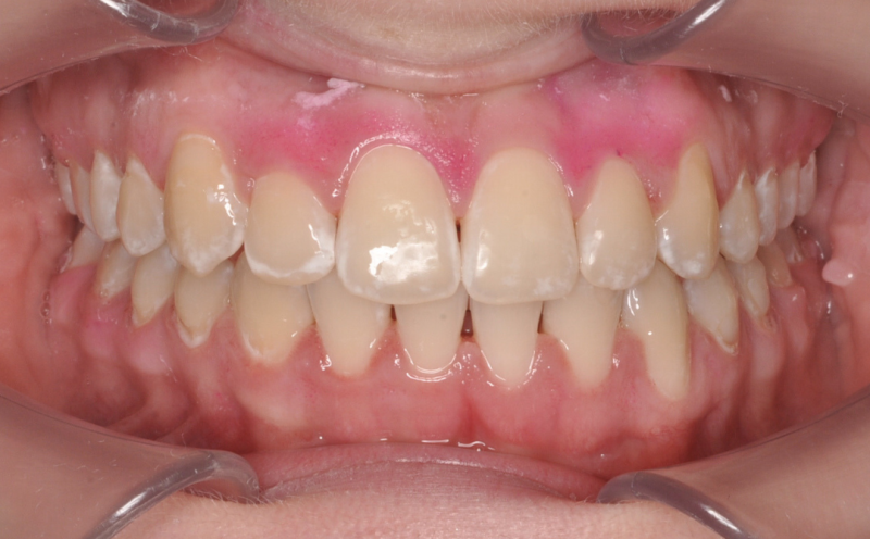
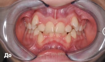
11 работ в портфолио
Опыт 7 лет
Врач высшей категории
2 видеоотзыва
    Помогите другим сделать правильный выбор — оставьте свой отзыв о докторе
    Написать отзыв

    Салишева Даяна Искандеровна: портфолио (11)

    Услуги стоматолога в других клиниках

    Диагностика
    Консультация ортодонта от 300 ₽ до 5 000 ₽
    Ортодонтия
    Установка брекетов от 10 000 ₽ до 250 000 ₽
    Снятие брекетов от 1 000 ₽ до 35 000 ₽
    Еще услуги