Стоматолог Сагдеев Рустам Олегович — цены, отзывы, стаж — Принимает в Казани

Сагдеев Рустам Олегович

Сагдеев Рустам Олегович - фотография

5.0
Рейтинг: 5.0
Отзывов: 4
Положительных: 4
Отрицательных: 0
Последний : 94 дн. назад
4 отзыва
стоматолог-ортопед
Стаж 6 лет
Сагдеев Рустам Олегович принимает в «Стоматологическая клиника ПРИЗМАТИКА» в Казани. Стаж 6 лет. Специализируется на ортопедии, по которой клиника оказывает 7 услуг. Имеет 2 работы до/после в портфолио. Квалификация специалиста подтверждена 3 лицензиями, сертификатами и наградами. Для уточнения дополнительной информации о специалисте или записи на прием можно позвонить по телефону
+7 (843)Показать телефон
. Занимает 10 место в рейтинге стоматологов-ортопедов 32top в вашем городе. Также 32top представляет форму онлайн расписания, через которую можно записаться к специалисту на свободную дату и время.

Где принимает:

Опыт 6 лет
3 сертификата
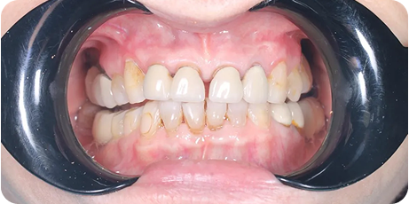
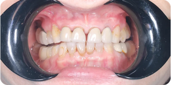
2 работы в портфолио

Отзывы о враче Сагдеев Рустам Олегович

Рейтинг: 5
Отзывов: 4
Положительных: 4
Отрицательных: 0
Последний: 94 дн. назад
5.0
Пациенты отмечают:
Профессионализм
Вежливость
Подробные объяснения
Тщательный осмотр
Аккуратность
Лечение помогло
Почему нашим отзывам можно доверять?
12 февраля 2026 г.
1 2 3 4 5
Была на консультации у врача Юсуповой и Сагдеева. Все понравилось !
Здравствуйте! Спасибо за ваш отзыв и доверие. Нам очень приятно, что консультация вам понравилась. Обязательно передадим врачам ваши тёплые слова. Совместная консультация терапевта и ортопеда помогает составить понятный план лечения — от лечения кариеса и пломбирования зубов до восстановления зубов и установки коронок при необходимости. Будем рады видеть вас снова в нашей стоматологии в Казани на проспекте Альберта Камалеева, 34В — на плановых осмотрах и профилактике. С уважением и заботой о вашей улыбке, команда стоматологии «Призматика»
15 сентября 2025 г.
1 2 3 4 5
Долго откладывала установку коронок на импланты, потому что очень боялась. Но у Сагдеева Рустама Олеговича всё прошло настолько спокойно и легко, что теперь думаю — зря вообще переживала! Врач постоянно был на связи, всё объяснял и поддерживал, а сама процедура оказалась совершенно безболезненной. Коронки выглядят естественно, чувствую себя уверенно и наконец-то улыбаюсь без стеснения. Огромное спасибо за заботу и такую ювелирную работу!
10 сентября 2025 г.
1 2 3 4 5
Сагдеев Рустам Олегович провел подробную консультацию по поводу установки коронок. Были рассмотрены различные варианты материалов и технологий. Доктор предоставил исчерпывающую информацию о стоимости и сроках лечения. Консультация была профессиональной и информативной.
17 мая 2025 г.
1 2 3 4 5
Был на приеме у Сагдеева - все прошло идеально. Врач проконсультировал по лечению, периодически уточнял состояние во время лечения, мне все понравилось
Большое спасибо за Ваш такой теплый отзыв! Мы очень рады, что прием у доктора Сагдеева Рустама Олеговича прошел идеально, и Вы остались полностью довольны консультацией и вниманием к Вашему состоянию во время лечения. Именно такое индивидуальное и заботливое отношение к каждому пациенту является нашим приоритетом. Доктору будет очень приятно услышать такие слова. Мы ценим Ваше доверие и надеемся, что Ваш опыт работы с нами останется таким же успешным и приятным в дальнейшем. Ваш отзыв мотивирует нас продолжать совершенствовать качество предоставляемых услуг. Если у Вас возникнут еще вопросы или потребуется дополнительная помощь, пожалуйста, не стесняйтесь обращаться к нам. Мы всегда готовы помочь и обеспечить Вам высококачественное стоматологическое обслуживание. С наилучшими пожеланиями, Команда клиники Призматика.
Спасибо за такой замечательный отзыв о приеме у Сагдеева Рустама Олеговича! Для нас очень важно, чтобы каждый пациент чувствовал себя комфортно и уверенно, получая подробные ответы на все вопросы и ощущая заботу врача на протяжении всего лечения. Мы рады, что Рустаму Олеговичу удалось обеспечить именно такой идеальный опыт для Вас. Ваша высокая оценка – это ценный показатель нашей работы! Мы ценим Ваше доверие и надеемся, что Ваш опыт работы с нами останется таким же успешным и приятным в дальнейшем. Ваш отзыв мотивирует нас продолжать совершенствовать качество предоставляемых услуг. Если у Вас возникнут еще вопросы или потребуется дополнительная помощь, пожалуйста, не стесняйтесь обращаться к нам. Мы всегда готовы помочь и обеспечить Вам высококачественное стоматологическое обслуживание. С наилучшими пожеланиями, Команда клиники Призматика.
    Помогите другим сделать правильный выбор — оставьте свой отзыв о докторе
    Написать отзыв

    Услуги врача (37)

    Терапевтическая стоматология
    Лечение кариеса
    от 7 700 ₽ за 1 зуб
    Лечение кариеса ICON
    Лечение пульпита
    от 8 800 ₽ за 1 зуб
    Еще услуги
    Протезирование зубов
    Установка коронки на зуб
    Установка протеза Акри Фри (Acry-Free)
    Ремонт зубных протезов
    Еще услуги
    Все цены носят ознакомительный характер. Точную цену вы сможете получить только после консультации специалиста.
    Звоните по телефону:
    +7 (843)Показать телефон

    Сагдеев Рустам Олегович: портфолио (2)

    Акции и скидки клиники ПРИЗМАТИКА (1)