Стоматолог Кукаев Алексей Саналович — цены, отзывы, стаж — Принимает в Краснодаре

Кукаев Алексей Саналович

Кукаев Алексей Саналович - фотография
стоматолог-имплантолог
челюстно-лицевой хирург
Стаж 11 лет
Кукаев Алексей Саналович принимает в «Стоматология СТАМУС» в Краснодаре. Стаж 11 лет. Специализируется на имплантологии и челюстно-лицевой хирургии, по которым клиника оказывает 8 услуг. Имеет 2 работы до/после в портфолио. Также 32top представляет форму онлайн расписания, через которую можно записаться к специалисту на свободную дату и время.

Где принимает:

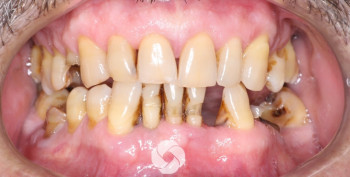
2 работы в портфолио
Опыт 11 лет

Кукаев Алексей Саналович: портфолио (2)

Отзывы о враче Кукаев Алексей Саналович

Почему нашим отзывам можно доверять?
13 марта 2022 г.
1 2 3 4 5
Удаляем мои зубы мудрости перед установкой брекетов. Для меня это очень ответственный и волнительный шаг, так как давно этого хотела, но сильно переживала. Нашла отличную клинику в Краснодаре - «Stamus”. Записалась на удаление зубов мудрости к Алексею Саналовичу, что было моим лучшим решением. Проконсультировал, показал на снимке КТ и рассказал, что у меня и как. Один зуб, который уже прорезался, врач удалил настолько быстро и легко, что я даже удивилась. ☺️ Сложное удаление второго зуба прошло также безболезненно, а заживление быстрое и без всяких проблем! Я очень довольна. Буду всем рекомендовать удалять зубы мудрости у данного специалиста.
    Помогите другим сделать правильный выбор — оставьте свой отзыв о докторе
    Написать отзыв

    Услуги стоматолога в других клиниках

    Хирургическая стоматология
    Удаление зубов от 1 200 ₽ до 20 000 ₽
    Удаление кисты и гранулемы зуба от 2 000 ₽ до 30 000 ₽
    Еще услуги
    Имплантация
    Установка мини-импланта от 6 500 ₽ до 25 000 ₽
    Коронки на имплантах от 12 500 ₽ до 75 000 ₽
    Еще услуги