Фото до и после по услуге Профгигиена в клиниках Краснодара

Фотографии до и после: Профгигиена

На странице представлено портфолио стоматологий Краснодара с работами до и после профессиональной чистки зубов. В нашем портфолио собраны разные клинические случаи: от удаления незначительного налета до снятия массивного поддесневого камня. Здесь вы можете увидеть, как возвращается естественный цвет и внешний вид зубов после процедуры. Изучите результаты до и после чистки зубов, чтобы увидеть реальный эффект и выбрать клинику в Краснодаре, где профессиональная гигиена поможет вернуть зубам здоровый вид.

Стоматологическая клиника 32 КЛИНИК (32 CLINIC)

Профгигиена

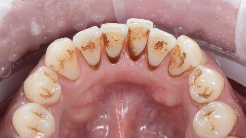
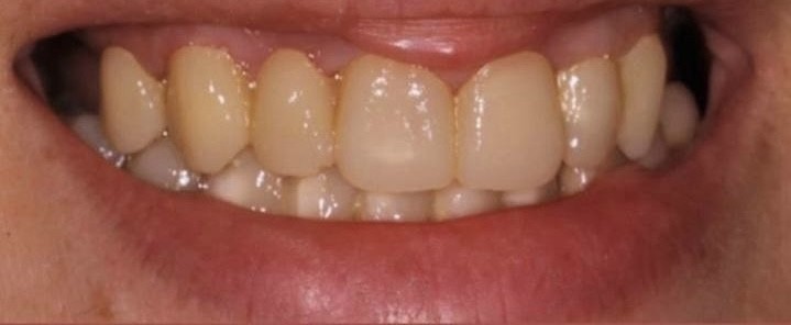
Пациент обратился к нам в клинику с целью санации зубов. Перед тем как приступать к лечению кариеса и основных проблем, мы всегда начинаем с профессиональной гигиены полости рта и зубов, чтобы исключить риски инфицирования слизистой полости рта от содержащихся в налёте и камнях патогенных микробов. Профессиональная гигиена зубов в стоматологии 32 Clinic проводится при помощи сертифицированных материалов и лицензированного оборудования.

Доктор: Самутина (Наконечная) Валентина Игоревна

Все работы клиники
Стоматология РУССДЕНТ

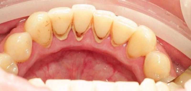
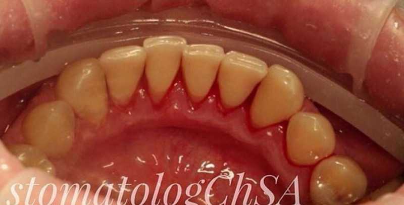
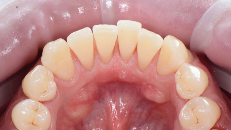
Чистка зубов Air-flow

Чистка зубов Air-flow

Чистка зубов Air-flow

Все работы клиники
Стоматологическая клиника ДЕНТАЛ АРТ (DЕНТАЛ АРТ)

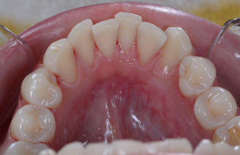
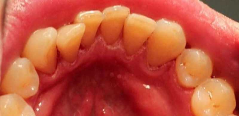
Профгигиена

Доктор: Акбашева Оксана Мухамедовна

Все работы клиники