Фото до и после по услуге Протезирование зубов в клиниках Краснодара

Фотографии до и после: Протезирование зубов

На странице представлено портфолио стоматологий Краснодара с фото работ до и после протезирования зубов. Мы собрали результаты разных вариантов протезирования: одиночные коронки (керамические, циркониевые), мостовидные протезы, протезы на имплантах и полные съемные протезы. Вы можете видеть, как восстанавливаются полностью утраченные или сильно разрушенные зубы, возвращается жевательная функция и естественный вид улыбки. Изучите результаты до и после протезирования и выберите подходящую клинику в Краснодаре, чтобы вернуть здоровье и красоту вашей улыбке.

Эстетическая стоматология и имплантология ИМПЛАНТ ДЕНТИСТРИ (IMPLANT DENTISTRY)

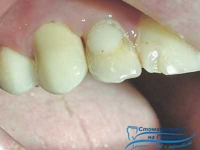
Установка коронки из диоксида циркония

Циркониевые коронки

Доктор: Минасян Арсен Манвелович

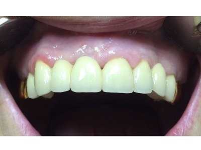
Установка керамической коронки

Доктор: Оганесян Мгер Камоевич

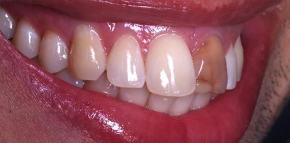
Установка керамической коронки

Доктор: Оганесян Мгер Камоевич

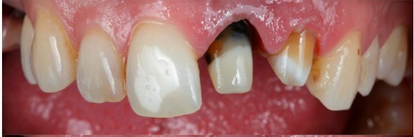
Установка металлокерамической коронки

Доктор: Оганесян Мгер Камоевич

Установка металлокерамической коронки

Доктор: Оганесян Мгер Камоевич

Протезирование зубов

Доктор: Оганесян Мгер Камоевич

Установка металлокерамической коронки

Доктор: Оганесян Мгер Камоевич

Установка металлокерамической коронки

Доктор: Оганесян Мгер Камоевич

Установка керамической коронки

Доктор: Оганесян Мгер Камоевич

Установка керамической вкладки

Доктор: Оганесян Мгер Камоевич

Установка керамической коронки

Доктор: Оганесян Мгер Камоевич

Все работы клиники
ЦЕНТР АКАДЕМИКА МАЛАНЬИНА

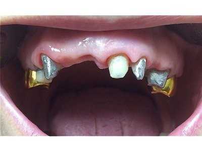
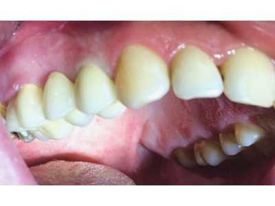
Протезирование зубов

Протезирование зубов

Протезирование зубов

Протезирование зубов

Установка керамической коронки

Протезирование зубов

Установка металлокерамической коронки

Установка металлокерамической коронки

Установка керамической коронки

Все работы клиники
Стоматологическая клиника 32 КЛИНИК (32 CLINIC)

Протезирование зубов

Жалобы: В клинику 32Clinic обратился пациент с жалобами на неудовлетворительную эстетику фронтальной группы зубов. Диагноз: При осмотре выявлены множественные дефекты эмали. Лечение: Пациенту были установлены циркониевые коронки на зубы 1.2, 2.2. Эмаль зубов 1.5, 1.4, 1.3, 1.1, 2.1, 2.3, 2.4, 2.5 была восстановлена с помощью реставрации фотокомпозитом Estelite. Результатом проведенного лечения пациент остался доволен, восстановленные зубы смотрятся гармонично и естественно, что крайне важно для фронтальных зубов.

Доктор: Винокурцев Олег Евгеньевич

Протезирование зубов

В клинику 32Clinic обратился пациент с жалобами на неудовлетворительную эстетику фронтальной группы зубов.При осмотре выявлены множественные дефекты эмали.Пациенту были установлены циркониевые коронки на зубы 1.2, 2.2. Эмаль зубов 1.5, 1.4, 1.3, 1.1, 2.1, 2.3, 2.4, 2.5 была восстановлена с помощью реставрации фотокомпозитом Estelite. Результатом проведенного лечения пациент остался доволен, восстановленные зубы смотрятся гармонично и естественно, что крайне важно для фронтальных зубов.

Доктор: Винокурцев Олег Евгеньевич

Установка коронки из диоксида циркония

Пациент обратился с жалобой на эстетику зубов. РЕШЕНИЕ: Провели лечение кариеса на 11-м зубе. Установили четыре циркониевые коронки с 12-го по 22-й зуб. Во время изготовления коронок пациенту были изготовлены временные пластмассовые коронки. Время работы - 10 дней

Доктор: Айрумов Артур Сергеевич

Протезирование зубов

Пациент обратился с жалобами на частое выпадение пломб,эстетическую неудовлетворенность. Была проведена комплексная чистка,для получения естественного оттенка своих зубов. Далее с пациентом была согласована будущая форма и размер зубов,линия улыбки. В зуботехнической лаборатории был предложен дизайн улыбки,его перенесли пациенту при помощи временных короной, путем mok up. После того как пациент оценил форму,цвет и размер будущих коронок,были изготовлены постоянные коронки. Фиксация. (Довольный пациент ,радость для доктора.)

Доктор: Винокурцев Олег Евгеньевич

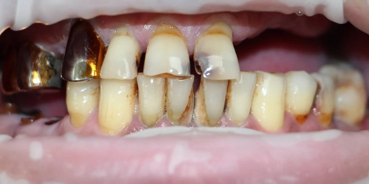
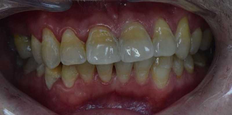
Протезирование зубов

Жалобы на эстетический дефект , невозможность пережевывания пищи, промежутки между зубами, темный цвет зубов. Диагноз: частичная адентия в/ч- 2 класс по Кеннеди, частичная адентия н/ч- 2 класс по Кеннеди. Дефект коронковой части зуба 16,15,14,13,12,11,21,22,23,24,25,37,35,34,33,32,31,41,42,43. Было проведено лечение кариозных полостей 24, 25, 23, 13, 14, 15 зуба, периодонтита 16-го зуба и установка имплантатов в области 44-46 и 26 зубов совместно с Айрумовым Артуром Сергеевичем Изготовлены и зафиксированы керамические виниры 15, 14, 13, 12, 11, 21, 22….25, от 33 до 43 весь низ. Установлена коронка на каркасе из диоксида циркония 16 зуба и изготовлен мостовидный протез на каркасе из диоксида циркония с опорой на 34-37 зубы.

Доктор: Айрумов Артур Сергеевич

Все работы клиники
Центр эстетической стоматологии и имплантологии ЭЛИТ

Протезирование зубов

Установка керамической коронки

Установка керамической коронки

Установка керамической коронки

Протезирование зубов

Все работы клиники
Стоматология КОЛИЗЕЙ

Установка несъемного протеза

Протезирование на 4-ех имплантах

Доктор: Еганян Сурен Тадевосович

Установка коронки из диоксида циркония

Циркониевые коронки

Доктор: Еганян Сурен Тадевосович

Установка коронки из диоксида циркония

Доктор: Еганян Сурен Тадевосович

Все работы клиники
Стоматология ЛАЙТ КЛИНИК (LITE CLINIC)

Протезирование зубов

Протезирование зубов

Протезирование зубов

Все работы клиники
Центр имплантации и эстетики ВАН (ONE)

Протезирование зубов

Протезирование зубов

Протезирование зубов

Все работы клиники
Стоматологическая клиника ПРО.ЗУБЫ

Протезирование зубов

Установка коронки из диоксида циркония

Все работы клиники
Стоматология АТЛАНТА

Протезирование зубов

Доктор: Гяургиев Рустам Александрович

Все работы клиники
КРАСНОДАРСКИЙ ЦЕНТР ДЕНТАЛЬНОЙ ОРТОПЕДИИ И СТОМАТОЛОГИИ

Установка мостовидного протеза

Установка акрилового протеза

Установка металлокерамической коронки

Установка мостовидного протеза

Установка металлокерамической коронки

Установка металлокерамической коронки

Установка керамической коронки

Установка нейлонового протеза

Установка бюгельного протеза

Установка коронки из диоксида циркония

Микропротезирование

Установка акрилового протеза

Установка бюгельного протеза

Установка металлокерамической коронки

Установка металлокерамической коронки

Установка металлокерамической коронки

Установка акрилового протеза

Установка акрилового протеза

Установка мостовидного протеза

Установка мостовидного протеза

Все работы клиники