Фото до и после по услуге Установка виниров в клиниках Краснодара

Фотографии до и после: Установка виниров

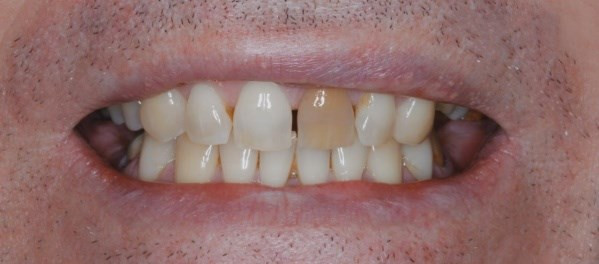
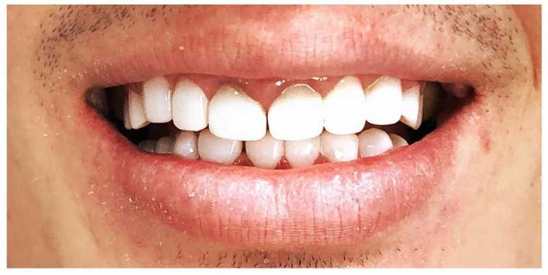
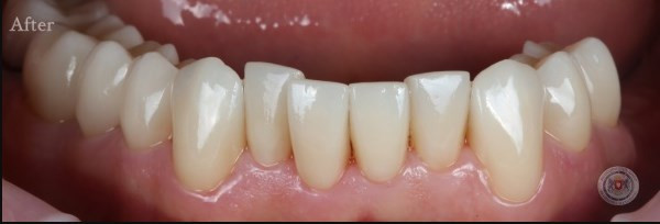
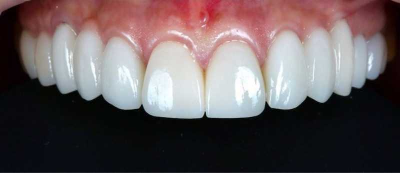
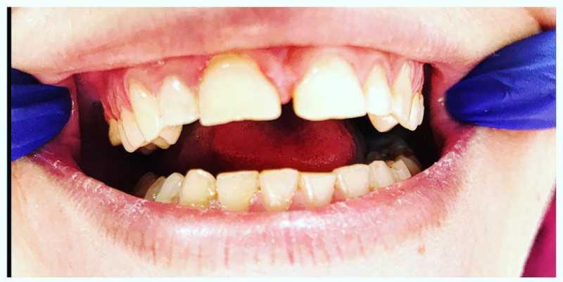
На странице представлено портфолио стоматологий Краснодара с фото работ до и после установки виниров. Здесь вы можете видеть как процедура меняет цвет и форму зубов, скрывает сколы, щели между зубами и корректирует незначительные неровности. Изучите работы до и после установки виниров в стоматологиях Краснодара, чтобы оценить профессионализм специалистов и выбрать клинику, которой можно доверить свои зубы.

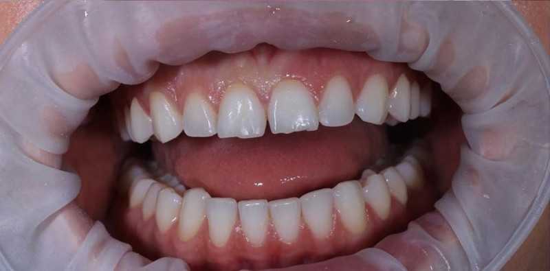
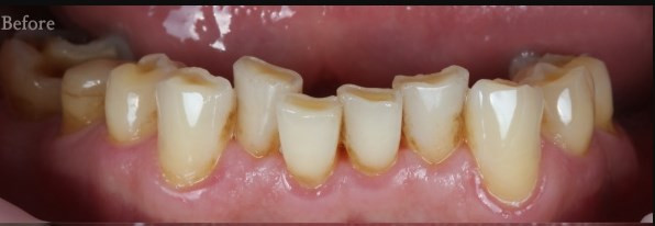
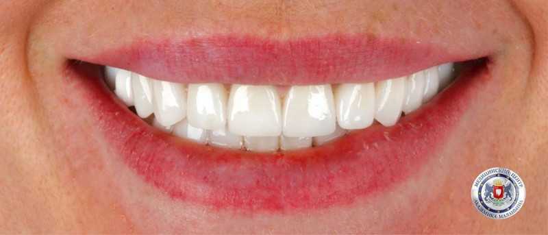
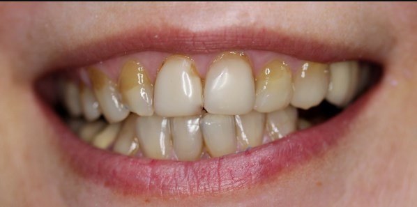
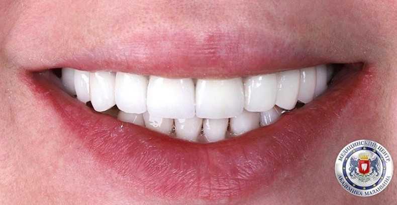
ЦЕНТР АКАДЕМИКА МАЛАНЬИНА

Установка керамических виниров

Установка виниров

Установка виниров

Установка виниров

Установка виниров

Установка виниров

Установка виниров

Установка виниров

Установка керамических виниров

Установка виниров

Установка виниров

Установка виниров

Установка виниров

Установка виниров

Установка виниров

Установка виниров

Установка виниров

Установка виниров

Установка виниров

Установка виниров

Установка виниров

Установка виниров

Установка виниров

Установка виниров

Установка виниров

Установка виниров

Установка виниров

Установка виниров

Установка виниров

Установка виниров

Установка виниров

Установка виниров

Установка виниров

Установка виниров

Установка виниров

Установка виниров

Установка виниров

Установка виниров

Установка виниров

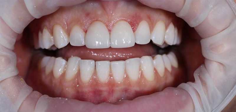
Установка керамических виниров

Установка виниров

Установка керамических виниров

Установка виниров

Установка виниров

Все работы клиники
Стоматологическая клиника БОСС СМАЙЛ (BOSS SMILE)

Установка виниров

Установка керамических виниров

Все работы клиники
Эстетическая стоматология и имплантология ИМПЛАНТ ДЕНТИСТРИ (IMPLANT DENTISTRY)

Установка виниров

Доктор: Оганесян Мгер Камоевич

Установка виниров

Виниры 11 единиц

Доктор: Оганесян Мигран Камоевич

Все работы клиники
Стоматология КОЛИЗЕЙ

Установка виниров

Виниры 6 единиц

Доктор: Еганян Сурен Тадевосович

Все работы клиники
Стоматология АТЛАНТА

Установка виниров

Доктор: Гяургиев Рустам Александрович

Все работы клиники
Стоматология ДЕНТИС

Установка виниров E-max

Доктор: Строева Елена Васильевна

Все работы клиники
Стоматологический центр ЕВРОДЕНТ

Установка виниров

Доктор: Тимченко Святослав Викторович

Установка виниров

Доктор: Тимченко Святослав Викторович

Установка виниров

Доктор: Тимченко Святослав Викторович

Установка виниров

Доктор: Тимченко Святослав Викторович

Установка виниров

Доктор: Самойлик Михаил Михайлович

Установка виниров

Доктор: Тимченко Святослав Викторович

Установка виниров

Доктор: Тимченко Святослав Викторович

Все работы клиники
Стоматологический центр СИММЕТРИЯ

Установка виниров

Установка виниров

Установка виниров

Доктор: Деренская Юлия Викторовна

Установка виниров

Установка виниров

Все работы клиники