Стоматолог Лубянова Светлана Валерьевна — цены, отзывы, стаж — Принимает в Омске

Лубянова Светлана Валерьевна

Лубянова Светлана Валерьевна - фотография
стоматолог-терапевт
Стаж 28 лет
Лубянова Светлана Валерьевна принимает в «Стоматологическая клиника КАВ ДЕНТАЛ» в Омске. К.м.н., стаж 28 лет. Специализируется на терапии, по которой клиника оказывает 18 услуг. Имеет 2 работы до/после в портфолио. Для уточнения дополнительной информации о специалисте или записи на прием можно позвонить по телефону
+7 (3812)Показать телефон
.

Где принимает:

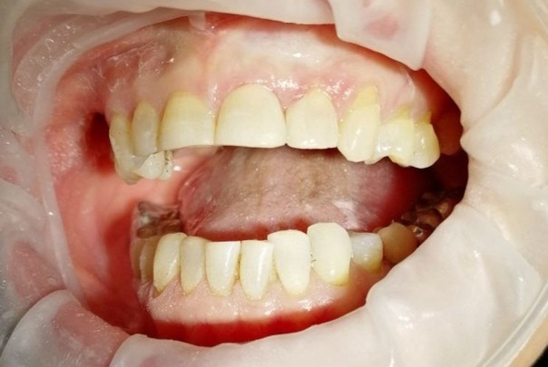
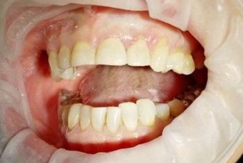
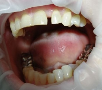
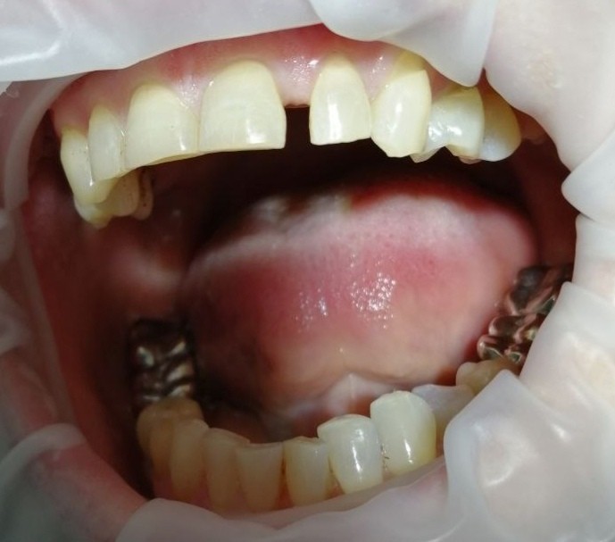
2 работы в портфолио
Опыт 28 лет
Кандидат мед.наук
    Помогите другим сделать правильный выбор — оставьте свой отзыв о докторе
    Написать отзыв

    Лубянова Светлана Валерьевна: портфолио (2)

    Услуги стоматолога в других клиниках

    Терапевтическая стоматология
    Лечение кариеса от 3 500 ₽ до 12 750 ₽
    Лечение пульпита от 5 000 ₽ до 24 750 ₽
    Еще услуги