Брума Людмила Витальевна
Стаж
15 лет
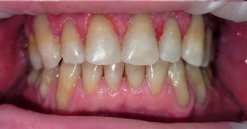
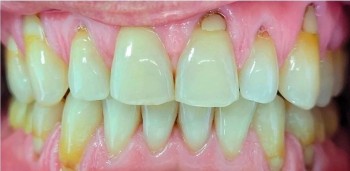
Брума Людмила Витальевна принимает в «Сеть клиник УЛЫБКА» в Омске. Стаж 15 лет. Специализируется на терапии и эндодонтическом лечении, по которым клиника оказывает 33 услуги. Имеет 3 работы до/после в портфолио. Для уточнения дополнительной информации о специалисте или записи на прием можно позвонить по телефону
+7 (3812)Показать телефон
.
Где принимает:
-
Сеть клиник УЛЫБКА на Конева ул. Конева, д. 22, корп. 2Клиника перезвонит в течение 10 минут
-
Стоматологическая клиника КАВ ДЕНТАЛ (КАВ DENTAL) на Ипподромной ул. Ипподромная, д. 2Цена приема: от 340 ₽
-
Стоматологическая клиника КАВ ДЕНТАЛ (КАВ DENTAL) на Съездовской ул. Съездовская, д. 29/2Цена приема: от 340 ₽
Опыт 15 лет
3 работы в портфолио
1 сертификат
Помогите другим сделать правильный выбор — оставьте свой отзыв о докторе
Услуги врача (15)
Терапевтическая стоматология
Терапевтическая стоматология в Омске
Лечение кариеса
от 5 929 ₽
за 1 зуб
Лечение кариеса ICON
от 5 010 ₽
за 1 зуб
Лечение пульпита
от 9 194 ₽
за 1 зуб
Еще услуги
Все цены носят ознакомительный характер.
Точную цену вы сможете получить только после консультации специалиста.
Звоните по телефону:
Нашли неточность?
Сообщите нам об ошибке
О стоматологе
Профессиональные навыки:
-Лечение под микроскопом;
-Профессиональная гигиена полости рта: чистка зубов с помощью ультразвука, Air-flow;
-Лечение кариеса с использованием современных композитных материалов;
-Реставрации всех групп зубов;
-Первичное и повторное лечение корневых каналов;
-Лечение труднопроходимых корневых каналов;
-Лечение корневых каналов с применением микроскопа: извлечение сломанных инструментов из корневых каналов, извлечение вкладок из корневых каналов, перелечивание корневых каналов, извлечение стекловолоконных постов, извлечение металлических штифтов, закрытие перфорации в корневых каналах, лечение гранулём и кист;
-Эндодонтия и обтурация корневых каналов самыми современными техниками и материалами;
-Профилактика заболевания зубов;
-Лечение слизистых оболочек полости рта.