Фото до и после по услуге Отбеливание зубов в клиниках Ростова-на-Дону

Фотографии до и после: Отбеливание зубов

На странице представлено портфолио стоматологий Ростова-на-Дону с фото работ до и после профессионального отбеливания зубов. Мы собрали разные клинические случаи, демонстрируя осветление на один или несколько тонов. Здесь вы можете видеть, как меняется цвет эмали и уменьшается интенсивность пигментации после процедуры. Изучите, каким может быть ваш собственный результат после отбеливания, и выберите подходящую клинику в Ростове-на-Дону, чтобы безопасно и эффективно осветлить улыбку.

Зубоврачебный центр СТОМСЕРВИС

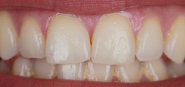
Отбеливание зубов

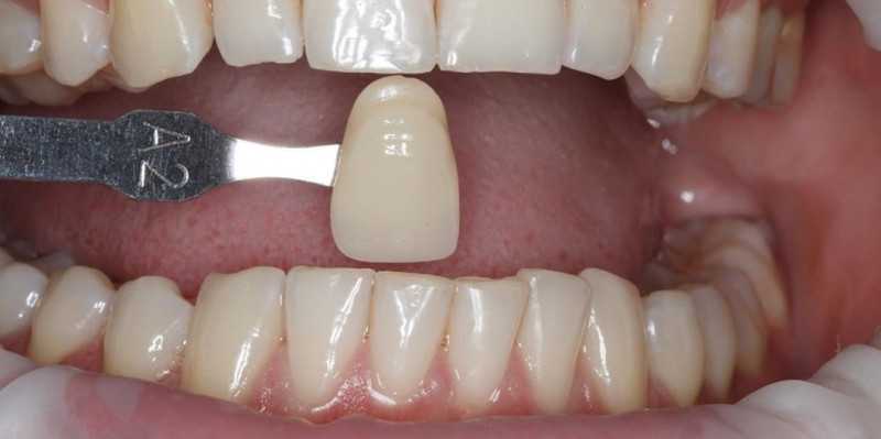
Отбеливание зубов

Отбеливание зубов

Отбеливание зубов

Все работы клиники
СТОМАТОЛОГИЯ ДОКТОРА ЧЕРНЯВСКОГО

Отбеливание зубов

Доктор: Чернявская Татьяна Александровна

Все работы клиники
Клиника семейной стоматологии ЭСТЕТИКА

Отбеливание зубов

Отбеливание зубов

Отбеливание зубов

Отбеливание зубов

Отбеливание зубов

Все работы клиники
Стоматология АРДЕНТА

Отбеливание зубов

Отбеливание зубов

Отбеливание зубов

Все работы клиники
Стоматологическая клиника УЛЫБКА ПЛЮС

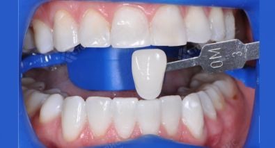
Отбеливание Zoom 4

Отбеливание зубов аппаратной системой ZOOM 4

Доктор: Башук Светлана Юрьевна

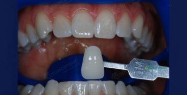
Отбеливание Amazing White

Отбеливание зубов нижней челюсти системой Amazing White

Доктор: Башук Светлана Юрьевна

Все работы клиники
АВТОРСКАЯ СТОМАТОЛОГИЯ

Отбеливание Zoom 4

Доктор: Удовикина Анастасия Александровна

Отбеливание Zoom 4

Доктор: Удовикина Анастасия Александровна

Все работы клиники
Стоматология СТИМ-ЦЕНТР

Отбеливание Zoom

Доктор: Рябикова Татьяна Александровна

Все работы клиники
Стоматологическая клиника ЭРЛИХ

Отбеливание зубов

Доктор: Фарис Мария Михайловна

Все работы клиники
СТОМАТОЛОГИЯ ДОКТОРА АМАЯКЯН

Отбеливание Zoom

Доктор: Зозуля Татьяна Константиновна

Все работы клиники