Фото до и после по услуге Установка брекетов в клиниках Ростова-на-Дону

Фотографии до и после: Установка брекетов

На странице представлено портфолио стоматологий Ростова-на-Дону с фото работ до и после исправления прикуса брекетами. Мы публикуем результаты разных клинических случаев: от скученности зубов и диастем до сложных ортодонтических аномалий. В каждом случае показан реальный прогресс — от начального состояния зубов до финального результата после снятия брекетов и исправления прикуса. Поэтому вы можете наглядно увидеть, как меняется положение зубов и общая эстетика улыбки. Изучите результаты работ до после и выберите подходящую клинику в Ростове-на-Дону.

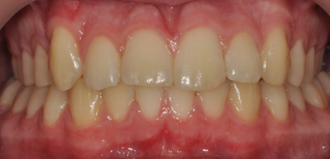
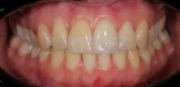
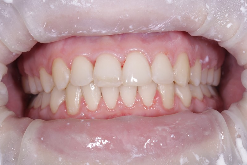
Стоматологическая клиника ЛЕЙБ МЕДИК (LEIB MEDIC)

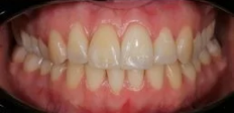
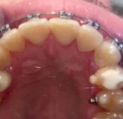
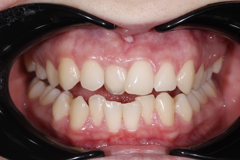
Установка металлических брекетов

Доктор: Кагоянц Нушик Суреновна

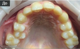
Установка металлических брекетов

Доктор: Кагоянц Нушик Суреновна

Все работы клиники
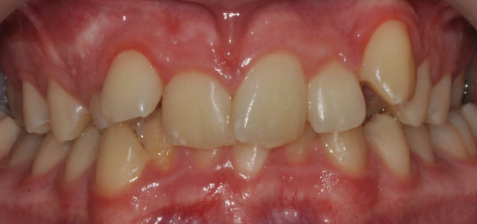
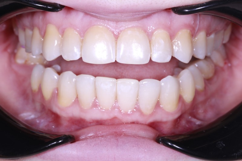
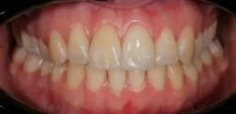
Стоматология ДРИМ ДЕНТ (DREAM DENT)

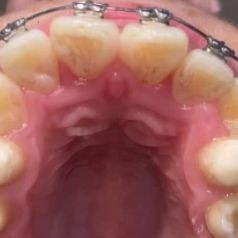
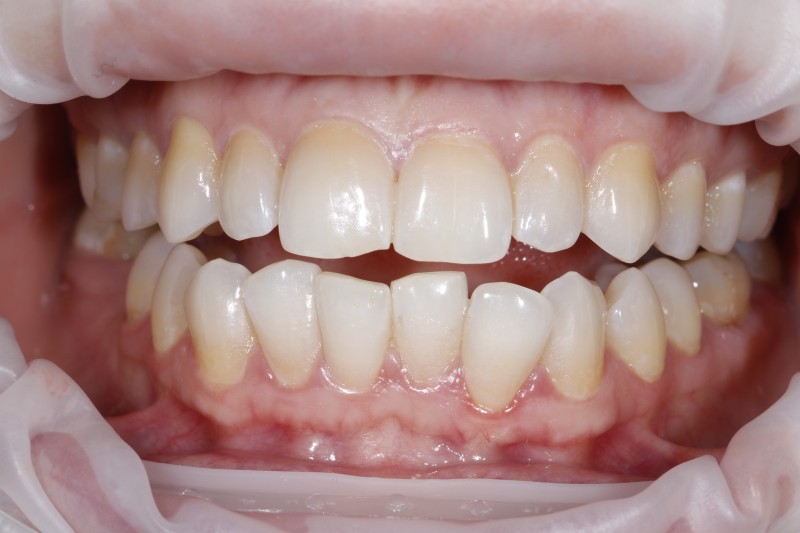
Установка брекетов

Доктор: Науменко Кирилл Дмитриевич

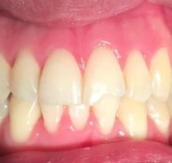
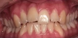
Установка брекетов

Доктор: Науменко Кирилл Дмитриевич

Установка брекетов

Доктор: Науменко Кирилл Дмитриевич

Установка брекетов

Доктор: Науменко Кирилл Дмитриевич

Установка брекетов

Доктор: Науменко Кирилл Дмитриевич

Все работы клиники
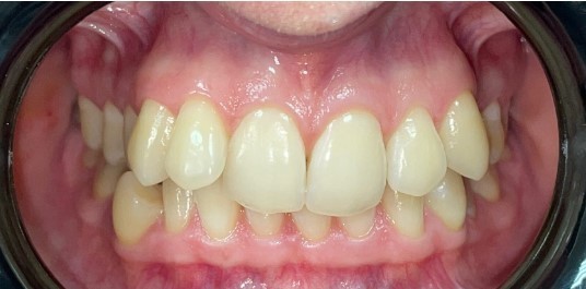
Семейная стоматология ДЕНТАЛ ФЭМИЛИ

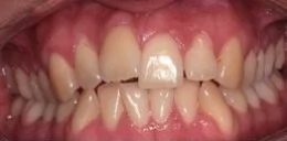
Установка брекетов

Установка брекетов Damon

Пациенту 14 лет, прогресс за 7 месяцев

Доктор: Мещерякова Татьяна Александровна

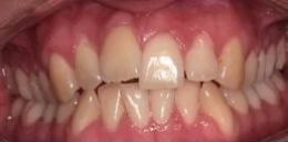
Установка брекетов Damon

Пациенту 13 лет, прогресс за 3 месяца

Доктор: Мещерякова Татьяна Александровна

Все работы клиники
Стоматологический центр ЭСТЕТИК-ДЕНТ

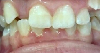
Установка брекетов Damon

Доктор: Алиев Авчи Алиевич

Установка брекетов Damon

Доктор: Алиев Авчи Алиевич

Все работы клиники
Стоматология ОРТОДОНТ+

Установка брекетов

Установка брекетов

Все работы клиники
АВТОРСКАЯ СТОМАТОЛОГИЯ

Установка брекетов Damon

Доктор: Алиев Авчи Алиевич

Установка брекетов Damon

Доктор: Алиев Авчи Алиевич

Все работы клиники
Стоматология АСТРОДЕНТ

Установка керамических брекетов

Установка брекетов Damon

Все работы клиники
Стоматология ЕВРОСТОМ

Установка брекетов

Доктор: Кипиани Кристина Гурамиевна

Все работы клиники
Стоматологическая клиника ЭРЛИХ

Установка брекетов

Ортодонтическое лечение на брекет-системе? Срок лечения-3 года

Доктор: Агуреева Виктория Сергеевна

Все работы клиники