Фото до и после по услуге Протезирование зубов в клиниках Ростова-на-Дону

Фотографии до и после: Протезирование зубов

На странице представлено портфолио стоматологий Ростова-на-Дону с фото работ до и после протезирования зубов. Мы собрали результаты разных вариантов протезирования: одиночные коронки (керамические, циркониевые), мостовидные протезы, протезы на имплантах и полные съемные протезы. Вы можете видеть, как восстанавливаются полностью утраченные или сильно разрушенные зубы, возвращается жевательная функция и естественный вид улыбки. Изучите результаты до и после протезирования и выберите подходящую клинику в Ростове-на-Дону, чтобы вернуть здоровье и красоту вашей улыбке.

Зубоврачебный центр СТОМСЕРВИС

Протезирование зубов

Протезирование зубов

Протезирование зубов

Протезирование зубов

Протезирование зубов

Все работы клиники
Центр Имплантации УНИВЕРДЕНТ (UNIVERDENT)

Установка несъемного протеза

Тотальное протезирование на имплантах обеих челюстей - идеальный вариант восстановления зубного ряда при адентии. Не требуется имплантация каждого отсутствующего зуба. Достаточно опоры из 4 имплантов, чтобы установить на него зубной ряд из 12 зубов. Вся жевательная функция и эстетика восстановлены!

Доктор: Ревенко Ольга Леонидовна

Установка условно-съемного протеза

К нам в клинику обратилась пациентка с просьбой установки протеза на имплантах, так как ношение съемного протеза приносило ей дискомфорт из-за рвотного рефлекса. После процесса приживления имплантов в кости пациентки, на верхней челюсти был установлен балочный протез . Пациентка осталась очень довольна, так как протезирование на имплантах на сегодняшний день - это единственный современный метод восстановления зубного ряда, чтобы по ощущениям получить зубы "как свои".

Доктор: Мелконян Артур Гарникович

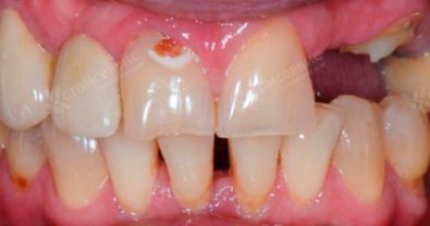
Протезирование зубов

В клинику обратилась пациентка с достаточно обширным разрушением передних зубов верхней челюсти. Было предложено и выполнено ортопедическое восстановление фронтального отдела. Цвет, форма и фактура зубов тщательно подбирались ортопедом в тандеме с зубным техником для получения максимально естественного результата. Пациентка осталась очень довольна.

Доктор: Ревенко Ольга Леонидовна

Все работы клиники
СТОМАТОЛОГИЯ ДОКТОРА ЧЕРНЯВСКОГО

Микропротезирование

Доктор: Кузан Ярослав Олегович

Микропротезирование

Доктор: Кузан Ярослав Олегович

Микропротезирование

Доктор: Кузан Ярослав Олегович

Все работы клиники
Стоматологическая клиника УЛЫБКА ПЛЮС

Установка съемного протеза

Протезирование полным съемным протезом на верхней челюсти

Доктор: Ахмедов Руслан Босирович

Установка металлокерамической коронки

Протезирование металлокерамическими коронками зубов на верхней челюсти

Доктор: Ахмедов Руслан Босирович

Установка керамической коронки

Протезирование цельнокерамическими коронками боковых резцов на верхней челюсти

Доктор: Ахмедов Руслан Босирович

Установка металлокерамической коронки

Протезирование зубов металлокерамическими коронками передних зубов на верхней челюсти

Доктор: Ахмедов Руслан Босирович

Установка металлокерамической коронки

Протезирование металлокерамическими коронками зубов на верхней челюсти

Доктор: Ахмедов Руслан Босирович

Все работы клиники
Стоматология АРДЕНТА

Установка металлокерамической коронки

Установка съемного протеза

Установка съемного протеза

Установка керамической вкладки

Все работы клиники
Стоматология АСТРОДЕНТ

Установка керамической коронки

Установка керамической вкладки

Лечение зуба и установка вкладки

Доктор: Минченко Валерий Игоревич

Установка коронки из диоксида циркония

Все работы клиники
Медицинский центр ЖЕМЧУЖИНА

Установка керамической вкладки

Лечение зуба и установка вкладки

Доктор: Минченко Валерий Игоревич

Установка коронки из диоксида циркония

Доктор: Стародубцев Михаил Андреевич

Установка коронки из диоксида циркония

Доктор: Стародубцев Михаил Андреевич

Все работы клиники
СТОМАТОЛОГИЯ ДОКТОРА ЧИЛИКИНА

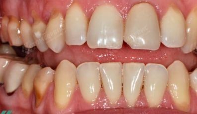
Протезирование зубов

Протезирование 3-мя цельнокерамическими коронками и1-им виниром

Доктор: Каннаев Рабадан Гасанович

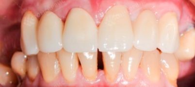
Протезирование зубов

Протезирование 10 зубов цельнокерамическими реставрациями E.max

Доктор: Каннаев Рабадан Гасанович

Все работы клиники
Стоматологическая клиника СТОМАТОЛОГ И Я

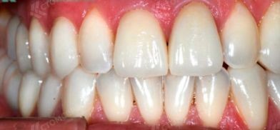
Протезирование зубов

Доктор: Черняева Инна Евгеньевна

Все работы клиники