Фото до и после по услуге Установка брекетов в клиниках Сочи

Фотографии до и после: Установка брекетов

На странице представлено портфолио стоматологий Сочи с фото работ до и после исправления прикуса брекетами. Мы публикуем результаты разных клинических случаев: от скученности зубов и диастем до сложных ортодонтических аномалий. В каждом случае показан реальный прогресс — от начального состояния зубов до финального результата после снятия брекетов и исправления прикуса. Поэтому вы можете наглядно увидеть, как меняется положение зубов и общая эстетика улыбки. Изучите результаты работ до после и выберите подходящую клинику в Сочи.

Стоматологическая клиника МИЛЛИАРД УЛЫБОК

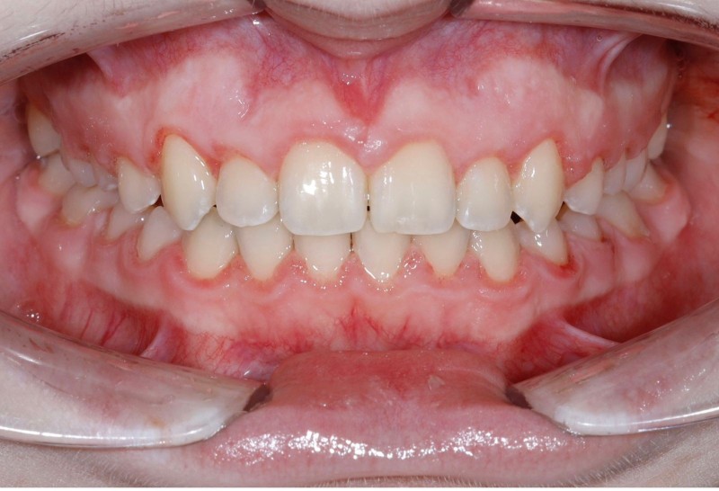
Установка брекетов

Установка брекетов

Установка брекетов

Все работы клиники
Стоматологическая клиника МЭДЖИКДЕНТ (MAGICDENT)

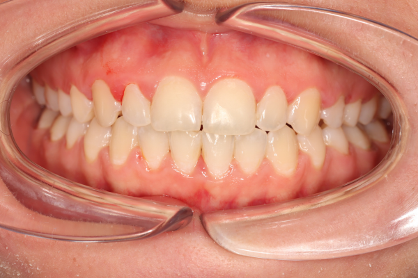
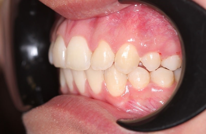
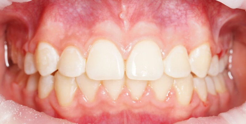
Установка брекетов Damon

Промежуточные результаты спустя 5 месяцев лечения прогенического прикуса у молодого человека 25-ти лет. (На момент размещения материалов пациент продолжает ортодонтическое лечение.)

Доктор: Кухаренко Юлия Викторовна

Все работы клиники
Многопрофильная клиника БАЛАНС ЗДОРОВЬЯ

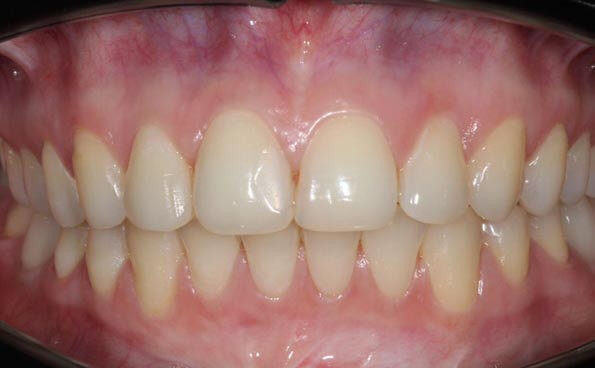
Установка самолигирующих брекетов

Комплексное лечение: протезирование 11 и 12 зуба с последующим лечением на самолигирующих брекет-системах

Доктор: Пронина Ксения Сергеевна

Все работы клиники
Семейная стоматология ДОКТОР КЕЛЛЕР

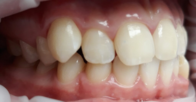
Установка брекетов

Доктор: Кругова Татьяна Игоревна

Все работы клиники
Стоматологическая клиника М-КЛИНИК (M-CLINIC)

Установка брекетов

Что беспокоило: Пациент 29 лет, жалобы на неудовлетворительную эстетику улыбки, выпирающие боковые резцы верхней челюсти, после диагностики выявлено нахождение нижней челюсти в вынужденном заднем положении из-за передних резцов. Описание работы: Лечение с помощью брекет системы Damon Q. Срок лечения 2 года.

Доктор: Агафонова Евгения Юрьевна

Установка брекетов

Что беспокоило: Пациент 12 лет. Обратились с целью профосмотра. Выявлено неправильное смыкание челюстей, сужение верхнего ряда и дефицит места для верхних постоянных клыков. Описание работы: Назначено лечение с помощью брекет-системы Damon Q, срок лечения 1 г. 6 мес.

Доктор: Агафонова Евгения Юрьевна

Установка брекетов

Что беспокоило: Неудовлетворительность эстетикой улыбки, дефицит места для клыка, сужение зубного ряда , тесное положение верхней и нижней челюсти. Описание работы: фото в процессе лечения через 1 год. Полный срок лечения 1 год 5 месяцев Результат: ровные зубы и правильный прикус.

Доктор: Агафонова Евгения Юрьевна

Установка брекетов

Что беспокоило: Пациент 12 лет, жалобы на неудовлетворительную эстетику улыбки. Описание работы: Этап лечения через год, лечение брекет системой PT5

Доктор: Агафонова Евгения Юрьевна

Установка брекетов

Что беспокоило: Пациент 18 лет, жалобы на неудовлетворенность эстетикой зубов и улыбкой, обратное перекрытие зубов (нижняя челюсть перекрывает верхнюю). Описание работы: лечение проводилось с помощью брекет-системы Damon Q и ортодонтических винтов на ниж челюсти. Результат: правильное перекрытие зубов, правильный прикус, эстетически красивая улыбка, срок лечения 1 год 10 мес.

Доктор: Агафонова Евгения Юрьевна

Установка брекетов

Что беспокоило: Пациент 14 лет. Неудовлетворительность эстетикой улыбки и щелканье ВНЧС. Выявлено сужение верхнего ряда, скученное положение зубов переднего отдела верхней и нижней челюсти, дефицит места для клыков. Описание работы: Назначено лечение с помощью брекет системы Damon Q и ортодонтических винтов, срок лечения 1 год 9 мес. Результат: ровные зубы и правильный прикус.

Доктор: Агафонова Евгения Юрьевна

Все работы клиники
Стоматология ДС КЛИНИК

Установка брекетов

Что беспокоило: Пациент 12 лет, жалобы на неудовлетворительную эстетику улыбки. Описание работы: Этап лечения через год, лечение брекет системой PT5

Доктор: Агафонова Евгения Юрьевна

Установка брекетов

Что беспокоило: Неудовлетворительность эстетикой улыбки, дефицит места для клыка, сужение зубного ряда , тесное положение верхней и нижней челюсти. Описание работы: фото в процессе лечения через 1 год. Полный срок лечения 1 год 5 месяцев Результат: ровные зубы и правильный прикус.

Доктор: Агафонова Евгения Юрьевна

Установка брекетов

Что беспокоило: Пациент 12 лет. Обратились с целью профосмотра. Выявлено неправильное смыкание челюстей, сужение верхнего ряда и дефицит места для верхних постоянных клыков. Описание работы: Назначено лечение с помощью брекет-системы Damon Q, срок лечения 1 г. 6 мес.

Доктор: Агафонова Евгения Юрьевна

Установка брекетов

Что беспокоило: Пациент 18 лет, жалобы на неудовлетворенность эстетикой зубов и улыбкой, обратное перекрытие зубов (нижняя челюсть перекрывает верхнюю). Описание работы: лечение проводилось с помощью брекет-системы Damon Q и ортодонтических винтов на ниж челюсти. Результат: правильное перекрытие зубов, правильный прикус, эстетически красивая улыбка, срок лечения 1 год 10 мес.

Доктор: Агафонова Евгения Юрьевна

Установка брекетов

Что беспокоило: Пациент 14 лет. Неудовлетворительность эстетикой улыбки и щелканье ВНЧС. Выявлено сужение верхнего ряда, скученное положение зубов переднего отдела верхней и нижней челюсти, дефицит места для клыков. Описание работы: Назначено лечение с помощью брекет системы Damon Q и ортодонтических винтов, срок лечения 1 год 9 мес. Результат: ровные зубы и правильный прикус.

Доктор: Агафонова Евгения Юрьевна

Установка брекетов

Что беспокоило: Пациент 29 лет, жалобы на неудовлетворительную эстетику улыбки, выпирающие боковые резцы верхней челюсти, после диагностики выявлено нахождение нижней челюсти в вынужденном заднем положении из-за передних резцов. Описание работы: Лечение с помощью брекет системы Damon Q. Срок лечения 2 года.

Доктор: Агафонова Евгения Юрьевна

Все работы клиники
Стоматология М КЛИНИК

Установка брекетов

Что беспокоило: Пациент 12 лет. Обратились с целью профосмотра. Выявлено неправильное смыкание челюстей, сужение верхнего ряда и дефицит места для верхних постоянных клыков. Описание работы: Назначено лечение с помощью брекет-системы Damon Q, срок лечения 1 г. 6 мес.

Доктор: Агафонова Евгения Юрьевна

Установка брекетов

Что беспокоило: Пациент 18 лет, жалобы на неудовлетворенность эстетикой зубов и улыбкой, обратное перекрытие зубов (нижняя челюсть перекрывает верхнюю). Описание работы: лечение проводилось с помощью брекет-системы Damon Q и ортодонтических винтов на ниж челюсти. Результат: правильное перекрытие зубов, правильный прикус, эстетически красивая улыбка, срок лечения 1 год 10 мес.

Доктор: Агафонова Евгения Юрьевна

Установка брекетов

Что беспокоило: Пациент 29 лет, жалобы на неудовлетворительную эстетику улыбки, выпирающие боковые резцы верхней челюсти, после диагностики выявлено нахождение нижней челюсти в вынужденном заднем положении из-за передних резцов. Описание работы: Лечение с помощью брекет системы Damon Q. Срок лечения 2 года.

Доктор: Агафонова Евгения Юрьевна

Установка брекетов

Что беспокоило: Пациент 12 лет, жалобы на неудовлетворительную эстетику улыбки. Описание работы: Этап лечения через год, лечение брекет системой PT5

Доктор: Агафонова Евгения Юрьевна

Установка брекетов

Что беспокоило: Пациент 14 лет. Неудовлетворительность эстетикой улыбки и щелканье ВНЧС. Выявлено сужение верхнего ряда, скученное положение зубов переднего отдела верхней и нижней челюсти, дефицит места для клыков. Описание работы: Назначено лечение с помощью брекет системы Damon Q и ортодонтических винтов, срок лечения 1 год 9 мес. Результат: ровные зубы и правильный прикус.

Доктор: Агафонова Евгения Юрьевна

Установка брекетов

Что беспокоило: Неудовлетворительность эстетикой улыбки, дефицит места для клыка, сужение зубного ряда , тесное положение верхней и нижней челюсти. Описание работы: фото в процессе лечения через 1 год. Полный срок лечения 1 год 5 месяцев Результат: ровные зубы и правильный прикус.

Доктор: Агафонова Евгения Юрьевна

Все работы клиники
Стоматология ДЕНТ-А-МЕД (DENT-A-MED)

Установка брекетов

Что беспокоило: Пациент 12 лет. Обратились с целью профосмотра. Выявлено неправильное смыкание челюстей, сужение верхнего ряда и дефицит места для верхних постоянных клыков. Описание работы: Назначено лечение с помощью брекет-системы Damon Q, срок лечения 1 г. 6 мес.

Доктор: Агафонова Евгения Юрьевна

Установка брекетов

Что беспокоило: Пациент 29 лет, жалобы на неудовлетворительную эстетику улыбки, выпирающие боковые резцы верхней челюсти, после диагностики выявлено нахождение нижней челюсти в вынужденном заднем положении из-за передних резцов. Описание работы: Лечение с помощью брекет системы Damon Q. Срок лечения 2 года.

Доктор: Агафонова Евгения Юрьевна

Установка брекетов

Что беспокоило: Пациент 14 лет. Неудовлетворительность эстетикой улыбки и щелканье ВНЧС. Выявлено сужение верхнего ряда, скученное положение зубов переднего отдела верхней и нижней челюсти, дефицит места для клыков. Описание работы: Назначено лечение с помощью брекет системы Damon Q и ортодонтических винтов, срок лечения 1 год 9 мес. Результат: ровные зубы и правильный прикус.

Доктор: Агафонова Евгения Юрьевна

Установка брекетов

Что беспокоило: Неудовлетворительность эстетикой улыбки, дефицит места для клыка, сужение зубного ряда , тесное положение верхней и нижней челюсти. Описание работы: фото в процессе лечения через 1 год. Полный срок лечения 1 год 5 месяцев Результат: ровные зубы и правильный прикус.

Доктор: Агафонова Евгения Юрьевна

Установка брекетов

Что беспокоило: Пациент 18 лет, жалобы на неудовлетворенность эстетикой зубов и улыбкой, обратное перекрытие зубов (нижняя челюсть перекрывает верхнюю). Описание работы: лечение проводилось с помощью брекет-системы Damon Q и ортодонтических винтов на ниж челюсти. Результат: правильное перекрытие зубов, правильный прикус, эстетически красивая улыбка, срок лечения 1 год 10 мес.

Доктор: Агафонова Евгения Юрьевна

Установка брекетов

Что беспокоило: Пациент 12 лет, жалобы на неудовлетворительную эстетику улыбки. Описание работы: Этап лечения через год, лечение брекет системой PT5

Доктор: Агафонова Евгения Юрьевна

Все работы клиники
Ортодонтический центр ЛЕ ДЕНТ

Установка брекетов

Доктор: Пузевич Юлия Игоревна

Установка брекетов

Доктор: Пузевич Юлия Игоревна

Установка брекетов

Доктор: Пузевич Юлия Игоревна

Все работы клиники
Центр современной стоматологии ИДЕАЛ

Установка брекетов

Доктор: Пузевич Юлия Игоревна

Установка брекетов

Доктор: Пузевич Юлия Игоревна

Установка брекетов

Доктор: Пузевич Юлия Игоревна

Все работы клиники