Фото до и после по услуге Имплантация в клиниках Сочи

Фотографии до и после: Имплантация

На странице представлено портфолио стоматологий Сочи с фото работ до и после имплантации зубов. Мы собрали разные клинические случаи: одиночные импланты, восстановление нескольких зубов и полная реконструкция зубного ряда. Здесь вы можете видеть, как выглядят восстановленные зубы, меняется форма улыбки после процедуры. Изучите результаты до и после имплантации зубов, чтобы оценить качество работы врачей и выбрать стоматологию в Сочи, которая поможет вернуть функциональность и эстетику вашей улыбке.

Стоматология АКСОН-ДЕНТ

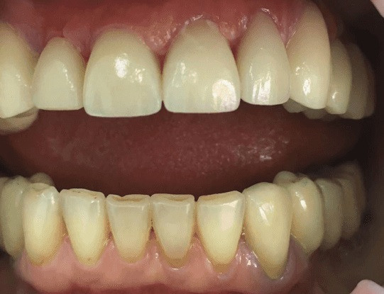
Имплантация All-on-4

Доктор: Сорокин Фёдор Михайлович

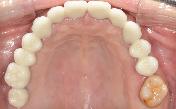
Имплантация Все-на-6 (All-on-6)

Доктор: Сорокин Фёдор Михайлович

Установка импланта Osstem

Доктор: Сорокин Фёдор Михайлович

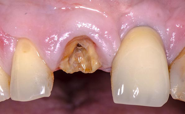
Одномоментная имплантация

Доктор: Сорокин Фёдор Михайлович

Все работы клиники
Стоматологическая клиника МИЛЛИАРД УЛЫБОК

Имплантация All-on-4

Имплантация

Имплантация

Имплантация Все-на-6 (All-on-6)

Все работы клиники
Многопрофильная клиника БАЛАНС ЗДОРОВЬЯ

Имплантация

Доктор: Шевчук Марина Федоровна

Имплантация

Доктор: Бегларян Виген Врежикович

Имплантация

Мужчина 59 лет Пациент обратился в клинику с частичным отсутствием зубов на верхней и нижней челюсти Жалобы невозможность пережёвывания пищи , затруднённое пережёвывания пищи , на множественное разрушение зубов и с желанием восстановить красивую улыбку На данном этапе проведённой временное протезирование с одномоментной нагрузкой на имплантаты ортопедом Татьяной Ивановной , множественное удаление зубов и имплантация хирургом - имплантологом ,Шевчук Мариной Фёдоровной

Доктор: Марченок Татьяна Ивановна

Все работы клиники
Стоматологическая клиника ВАША УЛЫБКА

Имплантация

Доктор: Аракелян Артём Артурович

Имплантация

Доктор: Аракелян Артём Артурович

Имплантация

Доктор: Аракелян Артём Артурович

Имплантация

Доктор: Аракелян Артём Артурович

Имплантация

Доктор: Аракелян Артём Артурович

Имплантация

Доктор: Аракелян Артём Артурович

Имплантация

Доктор: Аракелян Артём Артурович

Имплантация

Доктор: Аракелян Артём Артурович

Все работы клиники
Стоматологическая клиника ПАНОРАМА ДЕНТАЛЬ (PANORAMA DENTAL)

Одномоментная имплантация

Доктор: Бухарев Никита Васильевич

Имплантация Все-на-6 (All-on-6)

Доктор: Бухарев Никита Васильевич

Имплантация

Доктор: Бухарев Никита Васильевич

Установка импланта SuperLine

Удаления разрушенного зуба, установка импланта с немедленной нагрузкой, установка временной коронки

Доктор: Бухарев Никита Васильевич

Имплантация

Доктор: Бухарев Никита Васильевич

Все работы клиники
Стоматологическая клиника ГРИАРТ

Имплантация

Доктор: Исламов Константин Александрович

Имплантация

Доктор: Исламов Константин Александрович

Имплантация

Доктор: Исламов Константин Александрович

Имплантация

Операция имплантации зубов на имплантах Nobel и протезирование коронкой постоянной безметалловой из диоксида циркона (ZrO2) изготовленной методом фрезерования

Доктор: Карапетян Григор Геворкович

Все работы клиники
Стоматологическая клиника ПРО ЗУБЫ (PRO ЗУБЫ)

Имплантация

Доктор: Исламов Константин Александрович

Имплантация

Доктор: Исламов Константин Александрович

Имплантация

Доктор: Исламов Константин Александрович

Все работы клиники
Стоматология СИМКЛИНИК (SIMCLINIC)

Имплантация

Доктор: Исламов Константин Александрович

Имплантация

Доктор: Исламов Константин Александрович

Имплантация

Доктор: Исламов Константин Александрович

Все работы клиники
Стоматология БЛЕСК

Имплантация

Доктор: Баталов Павел Витальевич

Все работы клиники