Стоматолог И Дмитрий Канпинович — цены, отзывы, стаж — Принимает в Санкт-Петербурге (СПб)

И Дмитрий Канпинович

И Дмитрий Канпинович - фотография
стоматолог-ортодонт
Стаж 16 лет
И Дмитрий Канпинович принимает в «Стоматология ЗОЛОТОЕ СЕЧЕНИЕ» в Санкт-Петербурге. Стаж 16 лет. Специализируется на ортодонтии, по которой клиника оказывает 3 услуги. Имеет 10 работ до/после в портфолио. Квалификация специалиста подтверждена 20 лицензиями, сертификатами и наградами. Для уточнения дополнительной информации о специалисте или записи на прием можно позвонить по телефону
+7 (921)Показать телефон
.

Где принимает:

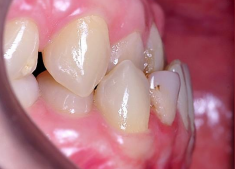
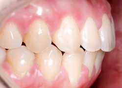
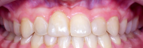
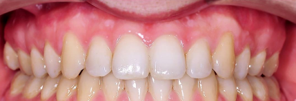
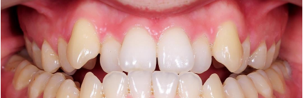
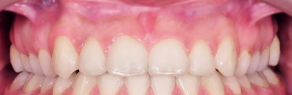
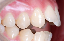
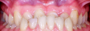
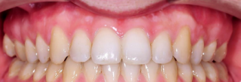
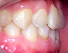
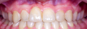
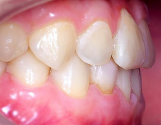
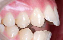
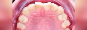
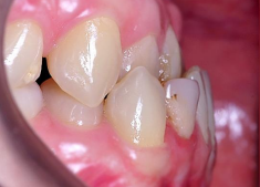
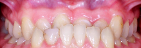
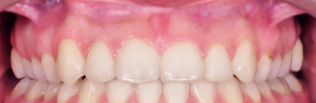
10 работ в портфолио
20 сертификатов
Опыт 16 лет

И Дмитрий Канпинович: портфолио (10)

Отзывы о враче И Дмитрий Канпинович

Почему нашим отзывам можно доверять?
8 ноября 2021 г.
1 2 3 4 5
Выражаем огромную благодарность нашему лечащему врачу Дмитрию Канпиновичу. Профессионал с большой буквы. Лечение начали поздно, перед тем, как попали к Дмитрию Канпиновичу, обошли несколько клиник и врачей. То лечение, которое нам предлагали, нас не устраивало. Попав к Дмитрию Канпиновичу, появилась надежда, что наша проблема решаема. Мы доверились врачу, и результат превзошёл ожидания. Работа выполнена грамотно, профессионально. Мы очень рады! Рекомендуем всем этого замечательного доктора!
    Помогите другим сделать правильный выбор — оставьте свой отзыв о докторе
    Написать отзыв

    Услуги стоматолога в других клиниках

    Эстетическая стоматология
    Установка скайсов