Стоматолог Госькова Алевтина Васильевна — цены, отзывы, стаж — Принимает в Санкт-Петербурге (СПб)

Госькова Алевтина Васильевна

Госькова Алевтина Васильевна - фотография
стоматолог-терапевт
стоматолог-хирург
Стаж 29 лет
Госькова Алевтина Васильевна принимает в «Клиника ПОЛНЫЙ ПОРЯДОК НА ТУРКУ» в Санкт-Петербурге. Стаж 29 лет. Специализируется на терапии и хирургии, по которым клиника оказывает 32 услуги. Имеет 2 работы до/после в портфолио. Квалификация специалиста подтверждена 22 лицензиями, сертификатами и наградами. Для уточнения дополнительной информации о специалисте или записи на прием можно позвонить по телефону
+7 (812)Показать телефон
.

Где принимает:

22 сертификата
Опыт 29 лет
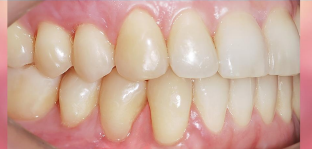
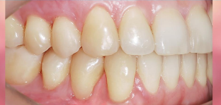
2 работы в портфолио

Госькова Алевтина Васильевна: портфолио (2)

Отзывы о враче Госькова Алевтина Васильевна

Почему нашим отзывам можно доверять?
26 июня 2017 г.
1 2 3 4 5
К Госьковой Алевтине Васильевне я пришла в очень плохом состоянии. По мимо больших проблем с зубами, у меня был панический страх абсолютно всех стоматологов (травма еще из детства). Но Алевтину Васильевну ничуть это не испугало! Она очень трепетно относилась ко мне и ко всем моим страхам. Переживала за каждый мой зубик порой больше чем я. В итоге после полу года лечения (с перерывом только на мой небольшой отпуск) мы вылечили все мои зубки (поверьте там было все! И восьмерки, которые надо было удалять, и удаление нервов, реставрации и просто кариес разной сложности) И абсолютно все было вылечено на высшем уровне. К концу нашего лечения я заходила и выходила из кабинета стоматолога с улыбкой! Я – и с улыбкой)) Раньше я думала, что такое в принципе невозможно) Теперь у меня начинается следующий этап – брекеты, мне не страшно и я уверена, что уже скоро моя улыбка будет в полном порядке! Спасибо огромное Алевтине Васильевне!
    Помогите другим сделать правильный выбор — оставьте свой отзыв о докторе
    Написать отзыв

    Услуги стоматолога в других клиниках

    Терапевтическая стоматология
    Лечение кариеса от 3 500 ₽ до 14 500 ₽
    Лечение пульпита от 5 000 ₽ до 35 000 ₽
    Еще услуги
    Хирургическая стоматология
    Удаление зубов от 1 100 ₽ до 25 000 ₽
    Удаление кисты и гранулемы зуба от 1 100 ₽ до 27 000 ₽
    Еще услуги