Стоматолог Матвеева Екатерина Сергеевна — цены, отзывы, стаж — Принимает в Санкт-Петербурге (СПб)

Матвеева Екатерина Сергеевна

Матвеева Екатерина Сергеевна - фотография
стоматолог-ортодонт
Стаж 18 лет
главный врач
Матвеева Екатерина Сергеевна принимает в «Стоматология ВИТАНИКА» в Санкт-Петербурге. Главный врач, стаж 18 лет. Специализируется на ортодонтии, по которой клиника оказывает 15 услуг. Квалификация специалиста подтверждена 4 лицензиями, сертификатами и наградами. Для уточнения дополнительной информации о специалисте или записи на прием можно позвонить по телефону
+7 (812)Показать телефон
.

Где принимает:

4 сертификата
Опыт 18 лет
Главный врач
1 работа в портфолио

О стоматологе

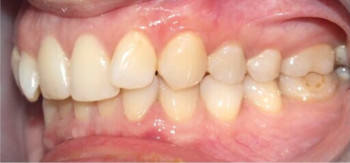
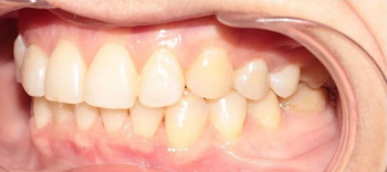
Выполняемые вмешательства: Исправление дефектов зубного ряда с помощью установки ортодонтических конструкций, в т.ч. брекет-системы, капы, ретейнеры.

Матвеева Екатерина Сергеевна: портфолио (1)

Отзывы о враче Матвеева Екатерина Сергеевна

Почему нашим отзывам можно доверять?
8 апреля 2022 г.
1 2 3 4 5
Доброго времени суток. Хочу оставить положительный отзыв, сказать спасибо огромное специалистам детского отделения за чуткость , внимание, вежливое отношение. Доверяем свои зубки только этой клинике. Особую благодарность выражаю ортодонту Екатерине Сергеевне.
    Помогите другим сделать правильный выбор — оставьте свой отзыв о докторе
    Написать отзыв

    Услуги стоматолога в других клиниках

    Ортодонтия
    Виды брекетов по материалу
    Установка металлических брекетов
    от 12 100 ₽ до 248 650 ₽
    Еще услуги