Стоматолог Точилин Петр Викторович — цены, отзывы, стаж — Принимает в Санкт-Петербурге (СПб)

Точилин Петр Викторович

Точилин Петр Викторович - фотография

5.0
Рейтинг: 5.0
Отзывов: 2
Положительных: 2
Отрицательных: 0
Последний : 2193 дн. назад
2 отзыва
стоматолог-ортопед
Стаж 17 лет
Точилин Петр Викторович принимает в «СТОМАТОЛОГИЧЕСКИЙ ЦЕНТР ГОРОДА» в Санкт-Петербурге. Стаж 17 лет. Специализируется на ортопедии, по которой клиника оказывает 13 услуг. Имеет 12 работ до/после в портфолио. Для уточнения дополнительной информации о специалисте или записи на прием можно позвонить по телефону
+7 (812)Показать телефон
. Также 32top представляет форму онлайн расписания, через которую можно записаться к специалисту на свободную дату и время.

Где принимает:

Опыт 17 лет
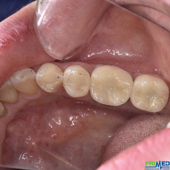
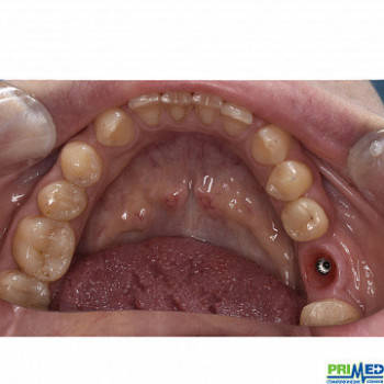
12 работ в портфолио

Точилин Петр Викторович: портфолио (12)

Отзывы о враче Точилин Петр Викторович

Рейтинг: 5
Отзывов: 2
Положительных: 2
Отрицательных: 0
Последний: 2193 дн. назад
5.0
Почему нашим отзывам можно доверять?
5 мая 2020 г.
1 2 3 4 5
Каким прекрасным становится мир, когда возможно просто четко произносить слова, улыбаться "на все тридцать два", общаясь с друзьями, напевая песню открывать, не стесняясь, красивые, ровные, словно жемчужная нить, белые зубы... Эти давние мечты смогли осуществиться благодаря мастерству моего доктора-ортопеда Точилина Петра Викторовича. Его высокий профессионализм позволил уже при первом посещении детально обследовать, выяснить пожелания, внутренне почувствовать и выбрать наилучший вариант протезирования для пациента - женщины, с одной стороны еще той трусихи, а с другой - очень требовательной к каждому нюансу ортопедического лечения (величина зубов, их форма, эстетика, субъективные ощущения после протезирования). Уважаемый Петр Викторович! От души благодарю Вас за мою улыбку! Ваше личное обаяние, деликатное и внимательное отношение к любой мелочи в работе развеяли все страхи и опасения. Только красота, естественность и комфорт - это все, что мне было так нужно! Здоровья Вам, Петр Викторович, и дальнейшего сохранения творческого подхода к работе! С уважением, Юлия.
23 апреля 2020 г.
1 2 3 4 5
Благодарю за профессионализм, качественную работу, комфортную обстановку Точилина Петра Викторовича. Страшнее зубной боли, говорят, что ничего больше нет. У меня, как у человека советского периода, страх вызывало даже воспоминание звука машины, болезненные воспоминания привели к запущенному состоянию. Обратившись с проблемным зубом, я решила все свои сопутствующие. В каждой отрасли есть специалисты и, как приятно, не просто доверить своё здоровье, а быть уверенным в отличном результате и безоговорочно полагаться. Например, техники прислали заготовки коронки и мне всё нравится: цвет подобран идеально, форма устраивается, а он говорит: "Нет, нужно доделать, отдадим на переделку, поставим в следующий прием. Я понимаю, что не хочется тратить ещё дополнительное время, но я отвечаю за свою работу и хочу сделать её максимально качественно". И знаете, это дорогого стоит! Потому что это не просто слова, в каждый приём он проверяет свою предыдущую работу, продувая воздухом, нитью... Я привела на лечение и супруга, потому что доверяю и уверена, что деньги будут не потрачены, а вложены в своё здоровье. Всем рекомендую!
    Помогите другим сделать правильный выбор — оставьте свой отзыв о докторе
    Написать отзыв

    Услуги стоматолога в других клиниках

    Эстетическая стоматология
    Установка виниров от 29 000 ₽ до 82 600 ₽
    Установка скайсов от 1 500 ₽ до 5 500 ₽
    Еще услуги
    Протезирование зубов
    Лечение адентии от 25 000 ₽ до 110 000 ₽
    Установка коронки на зуб от 4 800 ₽ до 105 000 ₽
    Еще услуги