Стоматолог Пономарев Олег Юрьевич — цены, отзывы, стаж — Принимает в Санкт-Петербурге (СПб)

Пономарев Олег Юрьевич

Пономарев Олег Юрьевич - фотография

5.0
Рейтинг: 5.0
Отзывов: 7
Положительных: 7
Отрицательных: 0
Последний : 1005 дн. назад
7 отзывов
стоматолог-хирург
стоматолог-имплантолог
пародонтолог
Стаж 20 лет
Пономарев Олег Юрьевич принимает в «Стоматологическая учебная клиника СПБИНСТОМ» в Санкт-Петербурге. Стаж 20 лет. Специализируется на хирургии, имплантологии и пародонтологии, по которым клиника оказывает 4 услуги. Имеет 7 работ до/после в портфолио. Квалификация специалиста подтверждена 13 лицензиями, сертификатами и наградами. Для уточнения дополнительной информации о специалисте или записи на прием можно позвонить по телефону
+7 (812)Показать телефон
.

Где принимает:

Опыт 20 лет
7 работ в портфолио
13 сертификатов

О стоматологе

«Любой, даже маленький пациент — это личность со своими страхами, сомнениями и предубеждениями, требующая терпения, понимания и сочувствия», — эту простую истину я осознал в начале своей врачебной деятельности, работая в отделении челюстно-лицевой хирургии детской городской больницы №19 имени К.А. Раухфуса.
Невозможно искренне любить свою работу и при этом оставаться равнодушным к исходу лечения. Когда довольный пациент, выходя из клиники, говорит тебе: «Спасибо», - понимаешь, как прекрасна и человечна твоя профессия, какое счастье заниматься любимым делом. Новая улыбка возвращает людям уверенность в себе, повышает качество их жизни, а иногда и кардинально меняет её.
Накопленным опытом хочется постоянно делиться, поэтому в качестве лектора провожу и принимаю участие в семинарах, где делюсь многолетними практическими знаниями с коллегами.»

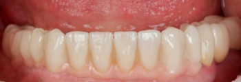
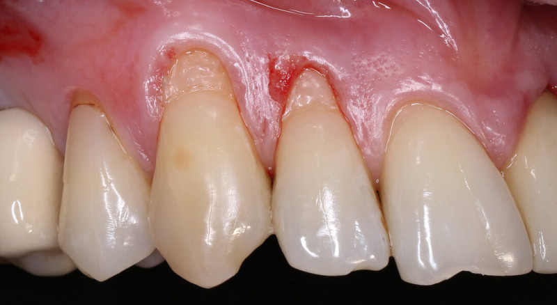
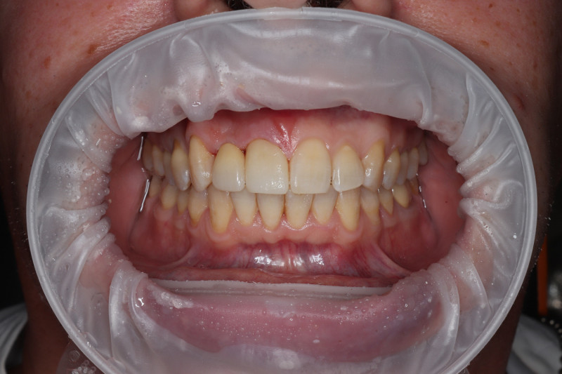
Пономарев Олег Юрьевич: портфолио (7)

Отзывы о враче Пономарев Олег Юрьевич

Рейтинг: 5
Отзывов: 7
Положительных: 7
Отрицательных: 0
Последний: 1005 дн. назад
5.0
Почему нашим отзывам можно доверять?
7 августа 2023 г.
1 2 3 4 5
всем привет. хочу порекомендовать данную клинику, администраторов, и врачей - а именно: 1. Пономарёв Олег Юрьевич - старший хирург-имплантолог. Потрясающий, квалификацированный специалист, с руками - от бога. Им была проделана очень кропотливая работа, с изъятием кости в пазухе, с последующим восстановлением зубика. так же обратил внимание, на необходимость править нос, с помощью септопластики (опираясь на снимок КТ). Cколько врачей я не прошла - только он попал в самую точку внимательно всё выслушивал, давал свои рекомендации
2. Валерию Александровну - ортопед. Сделала правильно подобранную «конструкцию», для будущей операции. Очень внимательна, дала ценные советы, как улучшить анатомическую составляющую зубного ряда. Ни сколько не пожалела, что обратилась к вам! мой вопрос был решен! даже, более чем)
процветания вам!
25 июня 2023 г.
1 2 3 4 5
Мое знакомство с клиникой началось много лет назад со знакомства с замечательным врачом и Мастером своего дела Кириллом Александровичем Костиным. У меня была серьезная проблема с зубом, который не взялись лечить несколько докторов, предлагали только удаление, чего я очень не хотела. Кирилл Александрович сразу сказал, что шанс на спасение зуба есть, хоть и ситуация очень непростая. Благодаря его виртуозной работе зуб на своем месте уже более 7 лет) Очень доверяю этому доктору, всегда максимально подробно и понятно расскажет обо всех нюансах лечения, подскажет лучший вариант с учетом моих интересов. В дальнейшем я делала у него и протезирование. Жаль, что лечением простых случаев Кирилл Александрович не занимается, я бы с радостью лечила все только у него.
Также могу оставить самые лучшие отзывы о хирурге-имплантологе Олеге Юрьевиче Пономареве. Удалял мне 8-ки , ставил импланты, все отлично!
3 мая 2022 г.
1 2 3 4 5
Завершился первый этап моего протезирования. Поставлено два импланта, три коронки и винир. К Олегу Юрьевичу Пономарёву и Кириллу Александровичу Костину мечтала попасть долгих пять лет. Знала об этих замечательных врачах, мастерах своего дела давно. Ещё с тех времён, когда клиника не существовала, а была в проекте. Если ваша мечта идеальная улыбка, если вы хотите, чтобы никто никогда не догадался где настоящий зуб, а какой коронка (имплант) вам точно сюда. Мой зубной терапевт работает в другой клинике, стаж работы двадцать семь лет. Когда она увидела работу Костина и Пономарёва, сказала : давно не видела такой идеальной работы. Мне было очень приятно услышать такую оценку от опытного специалиста. Впереди ещё много работы, нужно подготовиться материально ко второй части зубной эпопеи) Но оно того стоит. И да, хочу написать для тех, кто откладывает визит из-за страха: не бойтесь! Будет совсем не больно. А иногда даже интересно. Что именно интересно? А вот придёте в клинику - узнаете! Всем желаю здоровых ухоженных зубов. Отдельно хочется отметить работу администраторов - ваше терпение и деликатность безграничны! Спасибо!
26 июля 2015 г.
1 2 3 4 5
Хочу сказать огромное спасибо Олегу Юрьевичу! Он удалял мне 4 ретенированные восьмёрки. Я много времени потратила, чтобы найти хорошего хирурга, и очень рада, что сделала правильный выбор: после операции не было никаких осложнений, всё быстро зажило.
3 июля 2013 г.
1 2 3 4 5
Добрый вечер! Мне случилось попасть в ужасную ситуацию: после травмы потеряла 4 верхних передних зуба. Соответственно, единственным выходом после необходимого периода заживления стала имплантация. И начались очень долгие поиски врачей. Исследовав отзывы в интернете и походив на консультации, я попала на прием к хирургу-имплантологу Пономареву Олегу Юрьевичу (Табула Раза). С тех пор ни на миг не пожалела! Была сделана имплантация с дополнительной костной пластикой (пришлось наращивать травмированную аварией кость). Очень сложная операция прошла комфортно, и период восстановления, хотя и сопровождался отеком, но всё же за неделю завершился. Дальше следовали многочисленные консультации, ответы на наши с мужем вопросы, сомнения, ночные звонки, письма... Более того, после установки несъемных пластиковых коронок приключилась очень неприятная история. Для ухода за ними мы приобрели ирригатор и через несколько дней после операции я решилась его применить для ухода за новыми зубками. Однако не рассчитала силу струи, и она разрезала мне еще не зажившую окончательно область рядом с имплантами, и это всё в час ночи.... Мы были в панике, уже собирались фактически вызывать скорую. Позвонили Олегу Юрьевичу! Мало того, что он подробно проконсультировал, как вести себя, так еще и в середине ночи подъехал в клинику, чтобы всё осмотреть и наложить швы!!! В паре с замечательным ортопедом Кириллом Александровичем Костиным, настоящим профессионалом своего дела, они смогли создать мне новые прекрасные зубы и сгладить все этапы этого тяжелого, близящегося к завершению пути (остались теперь уже совсем постоянные коронки). За это время супруг тоже воспользовался услугами Олега Юрьевича уже как хирурга, удалив пресловутый зуб мудрости, причем процедура была ювелирной по качеству исполнения (4 корня с минимальной травматичностью - это впечатляет!) Трудно выразить, какую благодарность мы испытываем к Олегу Юрьевичу! За его профессионализм и за высочайшие человеческие качества!
19 марта 2012 г.
1 2 3 4 5
Олег Юрьевич - один из лучших имплантологов города. Да и страны, я думаю (знаю, что пациенты ездят к нему из других городов). Настоящий профи, и рука легкая. Я пришла к нему с непростой ситуацией, и сейчас позади удаление 4 зубов, костная пластика (пересадка блока), установка 6 имплантатов - все прошло отлично, без малейших осложнений. Счастлива, что нашла такого врача! Доверяю ему безгранично.
6 февраля 2012 г.
1 2 3 4 5
Олег Юрьевич просто замечательный специалист. У меня было удаление 3-х зубов (4 и 6, верхняя челюсть, нижняя 8-ка) и имплантация 4 верхних зубов. Операции прошли легко и безболезненно. Доктор всегда успокоит, проконсультирует, с ним чувствуешь себя уверенно. Валентина
    Помогите другим сделать правильный выбор — оставьте свой отзыв о докторе
    Написать отзыв

    Услуги стоматолога в других клиниках

    Диагностика
    Консультация стоматолога от 1 ₽ до 3 500 ₽
    Пародонтология
    Гингивопластика от 800 ₽ до 35 000 ₽
    Хирургическая стоматология
    Удаление зубов от 1 100 ₽ до 25 000 ₽
    Удаление зуба мудрости от 3 000 ₽ до 35 000 ₽
    Имплантация
    Установка мини-импланта от 5 000 ₽ до 34 000 ₽
    Коронки на имплантах от 11 500 ₽ до 89 900 ₽
    Еще услуги