Стоматолог Курдюмов Иван Валерьевич — цены, отзывы, стаж — Принимает в Санкт-Петербурге (СПб)

Курдюмов Иван Валерьевич

Курдюмов Иван Валерьевич - фотография
стоматолог-хирург
стоматолог-имплантолог
Стаж 16 лет
Курдюмов Иван Валерьевич принимает в «Стоматология БЕЛАЯ МЕДВЕДИЦА» в Санкт-Петербурге. Стаж 16 лет. Специализируется на хирургии и имплантологии, по которым клиника оказывает 9 услуг. Имеет 3 работы до/после в портфолио. Квалификация специалиста подтверждена 10 лицензиями, сертификатами и наградами. Для уточнения дополнительной информации о специалисте или записи на прием можно позвонить по телефону
+7 (812)Показать телефон
.

Где принимает:

Опыт 16 лет
10 сертификатов
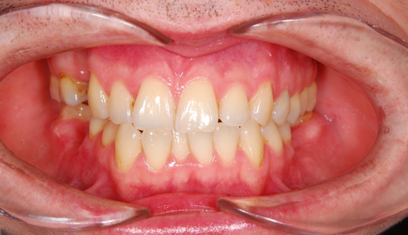
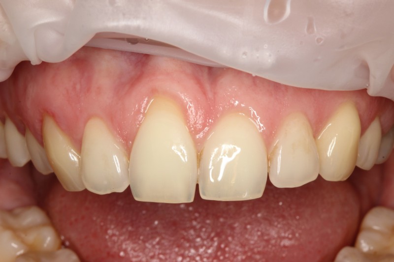
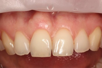
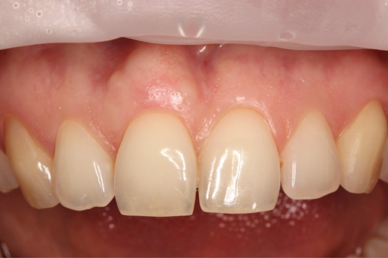
3 работы в портфолио

Курдюмов Иван Валерьевич: портфолио (3)

Отзывы о враче Курдюмов Иван Валерьевич

Почему нашим отзывам можно доверять?
После приема Пациент записывался в клинику через 32top. После приёма мы позвонили ему и получили отзыв.
14 марта 2021 г.
1 2 3 4 5
Больше всего запомнился вид из окна!!! Если серьезно, то все нравится в стоматологии. Курдюмов Иван и Олеся Юрьевна лечили меня Гресь хотел бы их отметить, мне все очень понравилось, никаких вопросов к лечению нет. Вот недавно был на приеме у Павла Юрьевича. Тоже хороший специалист. Всем рекомендую вашу клинику и этих докторов.
    Помогите другим сделать правильный выбор — оставьте свой отзыв о докторе
    Написать отзыв

    Услуги стоматолога в других клиниках

    Пародонтология
    Гингивопластика от 800 ₽ до 35 000 ₽
    Гингивэктомия от 900 ₽ до 25 000 ₽
    Хирургическая стоматология
    Удаление зубов от 1 100 ₽ до 25 000 ₽
    Удаление кисты и гранулемы зуба от 1 100 ₽ до 27 000 ₽
    Еще услуги
    Имплантация
    Установка мини-импланта от 5 000 ₽ до 34 000 ₽
    Коронки на имплантах от 11 500 ₽ до 89 900 ₽
    Еще услуги