Стоматолог Мичкова Эрика Павловна — цены, отзывы, стаж — Принимает в Санкт-Петербурге (СПб)

Мичкова Эрика Павловна

Мичкова Эрика Павловна - фотография

5.0
Рейтинг: 5.0
Отзывов: 13
Положительных: 13
Отрицательных: 0
Последний : 359 дн. назад
13 отзывов
стоматолог-ортодонт
детский стоматолог
Стаж 12 лет
Мичкова Эрика Павловна принимает в «Стоматологическая клиника ДЕНТАЛАБ» в Санкт-Петербурге. Стаж 12 лет. Специализируется на ортодонтии и детской стоматологии, по которым клиника оказывает 27 услуг. Имеет 6 работ до/после в портфолио. Квалификация специалиста подтверждена 11 лицензиями, сертификатами и наградами, а опыт 13 отзывами пациентов, из которых 13 положительные. Для уточнения дополнительной информации о специалисте или записи на прием можно позвонить по телефону
+7 (812)Показать телефон
. Занимает 19 место в рейтинге детских стоматологов 32top в вашем городе. Также 32top представляет форму онлайн расписания, через которую можно записаться к специалисту на свободную дату и время.

Где принимает:

11 сертификатов
6 работ в портфолио
Опыт 12 лет

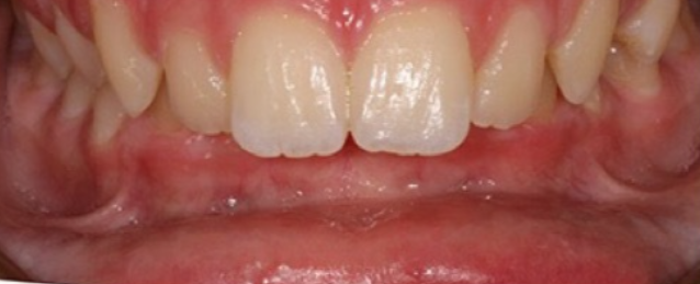
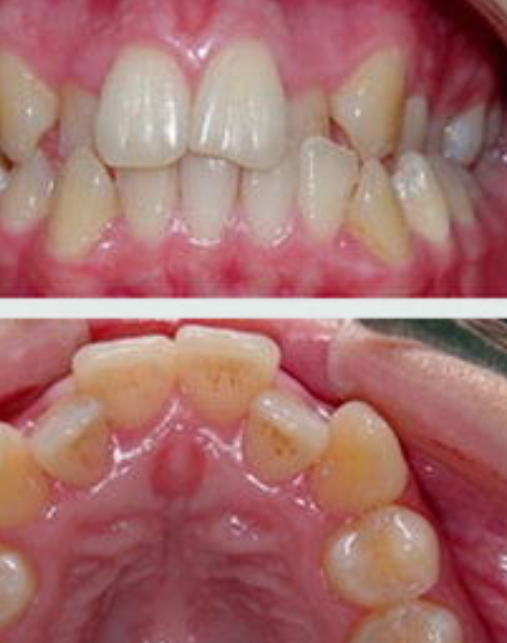
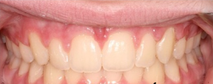
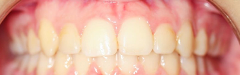
Мичкова Эрика Павловна: портфолио (6)

Отзывы о враче Мичкова Эрика Павловна

Рейтинг: 5
Отзывов: 13
Положительных: 13
Отрицательных: 0
Последний: 359 дн. назад
5.0
Почему нашим отзывам можно доверять?
13 мая 2025 г.
1 2 3 4 5
В данной клинике я проходу различное лечение, был уже на 2х ее филиалах. Тут, на Большеохтинском, прохожу ортодонтичнское лечение у Мичковой Эрики Павловны: мне все нравится, доктор работает быстро и аккуратно, слажено с ассистентом. Также у нее лечится моя дочь, ей доктор тоже нравится, с удовольствием ходит на приемы
21 марта 2025 г.
1 2 3 4 5
Прохожу ортодонтическое лечение у Эрики Павловны, ношу брекеты уже полгода. Всем доволен, врач очень внимательная, на все вопросы ответит, всегда можно обратиться в клинику день в день, если что-то случилось
15 января 2025 г.
1 2 3 4 5
Эрика Павловна отличный специалист! У неё наблюдается наша дочка, поставили и уже сняли пластину, поставили брекеты) У ребёнка нет страха! Результаты лечения уже видны)
22 декабря 2024 г.
1 2 3 4 5
Делала лечение у Цаетковой Н.Ю. и протезирование Зубов Величко А.С, ортодентии у Мичкова Э.П. теперь у меня идеальная улыбка на все 100
20 декабря 2024 г.
1 2 3 4 5
Эрику Павловну просто обожаю)) прохожу ортодонтическое лечение более года и на постоянной основе, соответственно, посещаю доктора. Прекрасный врач, после посещения не остается вопросов, все очень четко и быстро. Всегда интересуется самочувствием. Очень деликатно проходит)) Совершенно не страшно и максимально комфортно.
3 декабря 2024 г.
1 2 3 4 5
Выражаю огромную благодарность Эрике Павловне. Прохожу ортодонтическое лечение и уже на финишной прямой к своей идеальной улыбке. Эрика Павловна - профессионал своего дела, подобрала эффективное лечение, результат замечаю после каждого визита. Большое спасибо за ваш труд.
20 ноября 2024 г.
1 2 3 4 5
Прошел лечение у Эрике Павловне, очень доволен результатам, по итогам лечения получилось поменять местами неправильно стоящие зубы, внимательный доктор всегда ответит на вопросы, даже если нет возможности посетить клинику очно, если возникнут новые проблемы, точно обращусь ещё раз.
15 ноября 2024 г.
1 2 3 4 5
Второй год прохожу лечение у этого врача, всем полностью доволен. На все вопросы отвечает понятным языком, помогает при возникновении каких-либо проблем.
12 ноября 2024 г.
1 2 3 4 5
Прохожу ортодонтическое лечение) все безболезненно, супер быстро) Рекомендую врача Мичкову Эрику Павловну, очень вежливый, приятный врач-профессионал своего дела, я довольна.
12 ноября 2024 г.
1 2 3 4 5
Все хорошо, врачи объясняют что будут делать.Прохожу ортодонтическое лечение у Эрики Павловны, всем доволен, грамотный врач. Хорошие помещения, современное оборудование, чисто и уютно.
    Помогите другим сделать правильный выбор — оставьте свой отзыв о докторе
    Написать отзыв

    Услуги стоматолога в других клиниках

    Ортодонтия
    Виды брекетов по материалу
    Установка металлических брекетов
    от 12 100 ₽ до 248 650 ₽
    Еще услуги
    Детская стоматология
    Лечение молочных зубов от 1 600 ₽ до 10 000 ₽
    Удаление зубов у детей от 740 ₽ до 8 250 ₽
    Еще услуги