Стоматолог Николаев Ярослав Сергеевич — цены, отзывы, стаж — Принимает в Санкт-Петербурге (СПб)

Николаев Ярослав Сергеевич

Николаев Ярослав Сергеевич - фотография

5.0
Рейтинг: 5.0
Отзывов: 5
Положительных: 5
Отрицательных: 0
Последний : 178 дн. назад
5 отзывов
стоматолог-ортопед
стоматолог-хирург
стоматолог-имплантолог
Стаж 12 лет
врач высшей категории
Николаев Ярослав Сергеевич принимает в «Стоматология САВИОН» в Санкт-Петербурге. Главный врач, врач высшей категории, стаж 12 лет. Специализируется на ортопедии, хирургии и имплантологии, по которым клиника оказывает 39 услуг. Имеет 5 работ до/после в портфолио. Для уточнения дополнительной информации о специалисте или записи на прием можно позвонить по телефону
+7 (901)Показать телефон
.

Где принимает:

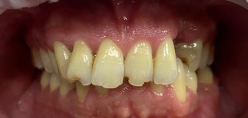
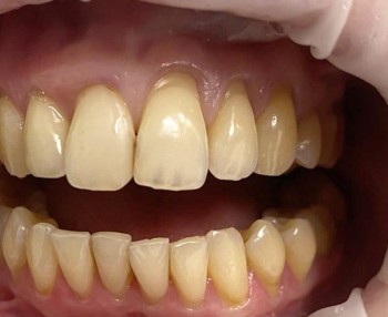
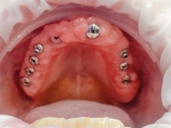
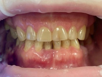
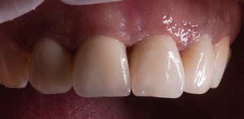
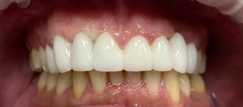
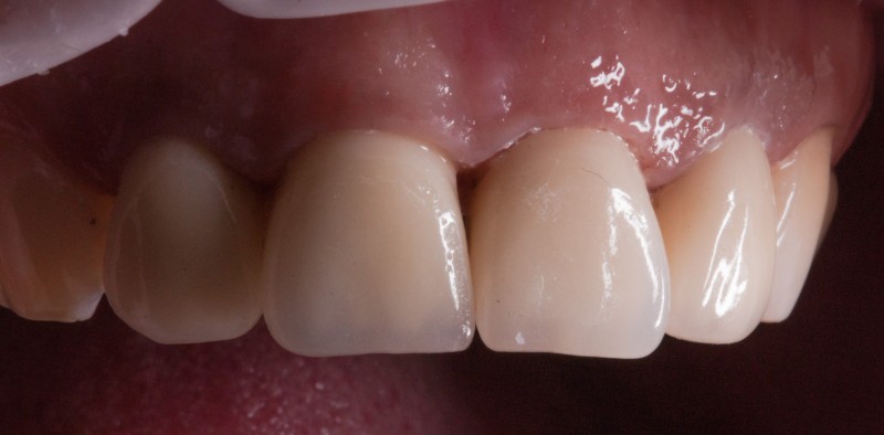
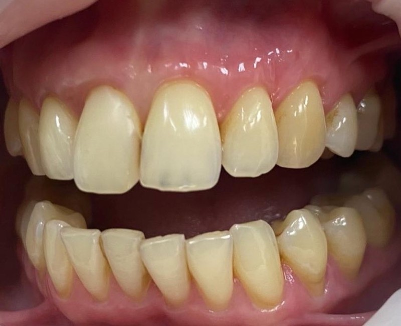
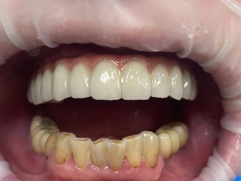
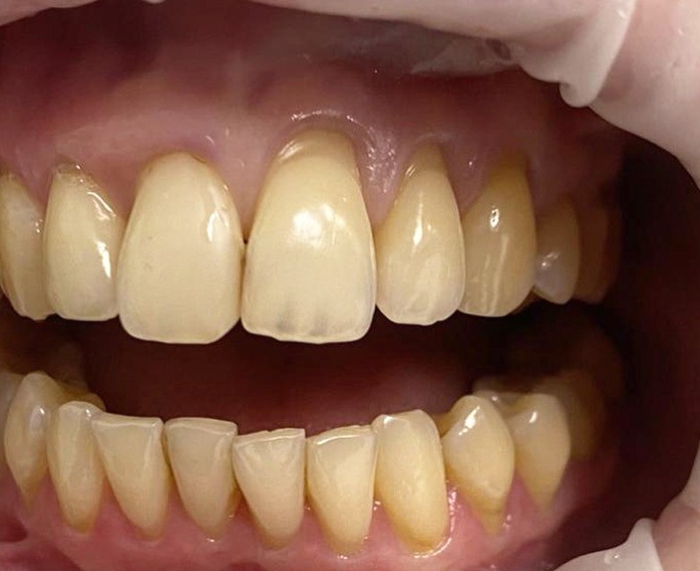
5 работ в портфолио
Врач высшей категории
Главный врач
Опыт 12 лет

Отзывы о враче Николаев Ярослав Сергеевич

Рейтинг: 5
Отзывов: 5
Положительных: 5
Отрицательных: 0
Последний: 178 дн. назад
5.0
Почему нашим отзывам можно доверять?
После приема Пациент записывался в клинику через 32top. После приёма мы позвонили ему и получили отзыв.
11 ноября 2025 г.
1 2 3 4 5
Клинику нашел в интернете по отзывам. Администраторы быстро нашли удобное время для консультации. Провел осмотр и консультацию врач Николаев Ярослав , рассказал, как будет проходить лечение по этапам, составил план лечения назвал стоимость. Меня все устроило, я прошел лечение и имплантацию.
добрый день! Благодарим вас за отзыв. Мы очень рады, что вы остались довольны приёмом доктора и высоко оценили профессиональные качества сотрудника. Потребуется квалифицированная помощь – ждём вас. С пожеланиями всего наилучшего, администрация стоматологической клиники Савион
После приема Пациент записывался в клинику через 32top. После приёма мы позвонили ему и получили отзыв.
7 ноября 2025 г.
1 2 3 4 5
Обслуживаемся в клинике всей семьей уже давно. Наша семья следит за состоянием своих зубов и мы регулярно проходим профгигиену и лечение только у них. Проводила протезирование у врача Николаева Я., а лечение зубов и кисты, не снимая коронки, проводила мне другой прекрасный врач. Дочь проходит лечение зубов у Таисии Павловны, ей очень нравится. Все специалисты этой клиники профессионалы, им не страшно доверять свое здоровье.
Благодарим за ваш отзыв и за то, что выбрали нашу клинику по рекомендации! Мы очень рады, что лечение прошло успешно и вы остались довольны качеством обслуживания. Врачи нашей клиники, в том числе Князева Таисия Павловна, всегда стремятся предоставить своим пациентам максимальный комфорт и информативность на каждом этапе лечения. В стоматологической клинике мы предлагаем широкий спектр услуг, включая диагностику с помощью компьютерной томографии, лечение кариеса, а также другие стоматологические процедуры, такие как профессиональная гигиена, имплантация и эстетическая реставрация зубов. Мы всегда используем только самые современные методы и оборудование, чтобы гарантировать нашим пациентам наилучшие результаты. С уважением, Стоматология Савион
После приема Пациент записывался в клинику через 32top. После приёма мы позвонили ему и получили отзыв.
6 ноября 2025 г.
1 2 3 4 5
В клинике сначала прошла лечение моя супруга, по ее рекомендации теперь я прохожу имплантацию у Ярослава Сергеевича. Прекрасный врач, отличный специалист своего дела, внимательный к пациенту и вежливый. Сделал мне импланты на верхней челюсти, очень все качественно, я доволен.
Добрый день! Благодарим вас за высокую оценку нашего специалиста. Обязательно передадим ваши слова Ярославу Сергеевичу Николаеву. Постараемся и впредь поддерживать оказанное нам доверие. Потребуется квалифицированная помощь – ждём вас. С уважением, администрация стоматологии Савион.
После приема Пациент записывался в клинику через 32top. После приёма мы позвонили ему и получили отзыв.
2 ноября 2025 г.
1 2 3 4 5
Мне клиника очень понравилась, администраторы вежливые, всегда интересуются, на какое мне удобное время записать. Прошла имплантацию у врача Николаева Ярослава и лечение у Мамедовой Шахлы. Отличные специалисты высокого уровня, лечение прошло комфортно, очень хорошее отношение к пациенту, работу свою знают отлично. Я очень довольна результатом и качеством. Рекомендую клинику и врачей.
Елена, добрый день! Благодарим вас за отзыв. Мы очень рады, что вы остались довольны приёмом доктора и высоко оценили профессиональные качества сотрудника. Потребуется квалифицированная помощь – ждём вас. С пожеланиями всего наилучшего, администрация стоматологической клиники Савион
После приема Пациент записывался в клинику через 32top. После приёма мы позвонили ему и получили отзыв.
23 октября 2025 г.
1 2 3 4 5
В этой клинике у врача Николаева Я. сделала полное протезирования всех зубов, очень довольна лечением и результатом, все на высшем уровне, врач отличный специалист, опытный и внимательный. Рекомендовала его всем своим родственникам, все довольны.
Приветствуем вас! Благодарим Вас за обратную связь. Рады, что визит в стоматологию оставил положительные эмоции. Обещаем и впредь оправдывать ваше доверие добросовестным трудом. Мы ориентируемся на эталонные традиции мирового медицинского обслуживания и рады, что вы это по достоинству оценили. Крепкого вам здоровья! Всегда ваши, стоматология Савион.
    Помогите другим сделать правильный выбор — оставьте свой отзыв о докторе
    Написать отзыв

    Услуги врача (91)

    Хирургическая стоматология
    Удаление зубов
    от 2 650 ₽ до 14 140 ₽ за 1 зуб
    Удаление зуба мудрости
    от 8 820 ₽ до 14 140 ₽ за 1 зуб
    Сложное удаление зуба
    от 5 300 ₽ до 7 950 ₽ за 1 зуб
    Еще услуги
    Протезирование зубов
    Установка коронки на зуб
    от 11 200 ₽ до 40 660 ₽ за 1 зуб
    Установка протеза Акри Фри (Acry-Free)
    от 25 290 ₽ за 1 челюсть
    Ремонт зубных протезов
    от 12 580 ₽ за 1 шт.
    Еще услуги
    Имплантация
    Имплантация зубов под ключ
    Установка мини-импланта
    Коронки на имплантах
    от 24 200 ₽ до 50 640 ₽ за 1 зуб
    Еще услуги
    Все цены носят ознакомительный характер. Точную цену вы сможете получить только после консультации специалиста.
    Звоните по телефону:
    +7 (901)Показать телефон

    Николаев Ярослав Сергеевич: портфолио (5)

    Акции и скидки клиники САВИОН (3)