Стоматолог Желобова (Рекутенко) Ольга Васильевна — цены, отзывы, стаж — Принимает в Санкт-Петербурге (СПб)

Желобова (Рекутенко) Ольга Васильевна

Желобова (Рекутенко) Ольга Васильевна - фотография

5.0
Рейтинг: 5.0
Отзывов: 4
Положительных: 4
Отрицательных: 0
Последний : 3034 дн. назад
4 отзыва
стоматолог-терапевт
стоматолог-хирург
пародонтолог
Стаж 19 лет
Желобова (Рекутенко) Ольга Васильевна принимает в «Центр косметологии и стоматологии ПАЛКИНЪ» в Санкт-Петербурге. Стаж 19 лет. Специализируется на терапии, хирургии и пародонтологии, по которым клиника оказывает 32 услуги. Имеет 10 работ до/после в портфолио. Для уточнения дополнительной информации о специалисте или записи на прием можно позвонить по телефону
+7 (812)Показать телефон
.

Где принимает:

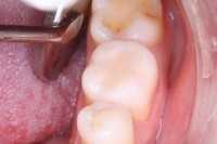
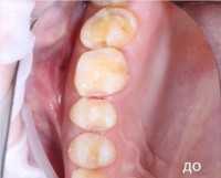
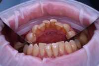
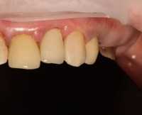
10 работ в портфолио
Опыт 19 лет

Желобова (Рекутенко) Ольга Васильевна: портфолио (10)

Отзывы о враче Желобова (Рекутенко) Ольга Васильевна

Рейтинг: 5
Отзывов: 4
Положительных: 4
Отрицательных: 0
Последний: 3034 дн. назад
5.0
Почему нашим отзывам можно доверять?
15 января 2018 г.
1 2 3 4 5
В «Нашу стоматологию» обратился с сильным воспалением десен: кровоточили, местами гноились. На приём попал к опытному врачу пародонтологу Желобовой Ольге Васильевне. Осмотрев мой рот, она первым делом назначила мне медикаментозные аппликации и полоскания, чтобы снять воспаление. Когда воспаление спало, доктор назначила мне парадонтологическое лечение на современном аппарате VECTOR. После нескольких процедур уменьшились болевые ощущения, исчезла кровоточивость, воспаления. Ольга Васильевна подробно объяснила мне, как ухаживать за дёснами, зубами, рекомендовала мне обязательно делать гигиеническую чистку зубов. Очень благодарен за помощь Ольге Васильевне и всему коллективу врачей за профессионализм и высокий уровень оказываемых услуг!
Стефанкова Елена Евгеньевна
20 июня 2018 г.
Николай, здравствуйте! От всей души благодарим Вас за оставленный отзыв и добрые слова в наш адрес! Этот метод лечения безопасен и не требует анестезии. С помощью него останавливается процесс гниения и воспаления. Желаем сохранить идеальную улыбку на долгие годы, а мы с удовольствием Вам в этом поможем! С уважением, администрация «Нашей Стоматологии».
9 июля 2017 г.
1 2 3 4 5
Лечение десен, это длительный процесс. Но результат просто превосходный. Десны не кровоточат, не болят Лечение совершенно безболезненное у доктора Желобовой Ольги.  Сколько раз ходил почти никогда не ждал приёма. Все четко по времени. Бывало конечно, что если доктор на операции, то приходиться ждать, но это ничего страшного. Клиника понравилась.
Добрый день! Благодарим за высокую оценку работы клиники и доктора. Будем рады видеть Вас снова! С уважением, генеральный директор Стефанкова Елена Евгеньевна.
21 декабря 2016 г.
1 2 3 4 5
Люблю посещать свою любимую стоматологию. За одно посещение полечилась сразу у двух докторов. Сначала вылечила запущенный кариес у Озеровой Елены. Затем пошла к Пародонтологу Желобовой Ольге, так как у меня проблема с деснами практически с института. Лечение десен прошло безболезненно, так как делали глубокую ситку аппаратом ВЕКТОР без операций. Восстановительный процесс прошел без осложнений. Наверно первый раз за много лет мое дыхание свежее и ничего не беспокоит. Всегда рада выражать благодарность Нашей стоматологии за качественное обслуживание и хороших стоматологов!
Антон Алексеевич
25 января 2017 г.
Уважаемая Ольга, спасибо, что вы нашли время и отзыв о нас. Все замечания и пожелания делают нашу клинику еще лучше и лучше. Хотим также напомнить Вам что все пациенты нашей клиникой могут проходить БЕСПЛАТНЫЙ медицинский осмотр один раз в полгода. Такие профилактические посещения сберегут не только ваши зубы, но и средства. С уважением, Гл. врач Мацкевич А.А.
5 декабря 2016 г.
1 2 3 4 5
Отличный доктор, внимательно слушает, все объясняет, показывает, рассказывает) Само лечение абсолютно безболезненное, сделали чистку и вылечили несколько зубов, результатом довольна на все 100! Теперь мои зубки, как новые!
    Помогите другим сделать правильный выбор — оставьте свой отзыв о докторе
    Написать отзыв

    Услуги стоматолога в других клиниках

    Терапевтическая стоматология
    Лечение кариеса от 3 500 ₽ до 14 500 ₽
    Лечение пульпита от 5 000 ₽ до 35 000 ₽
    Еще услуги
    Пародонтология
    Лечение пародонтита от 200 ₽ до 27 000 ₽
    Лечение пародонтоза от 200 ₽ до 40 000 ₽
    Еще услуги
    Хирургическая стоматология
    Удаление зубов от 1 100 ₽ до 25 000 ₽
    Удаление кисты и гранулемы зуба от 1 100 ₽ до 27 000 ₽
    Еще услуги