Стоматолог Усикова Виктория Викторовна — цены, отзывы, стаж — Принимает в Туле

Усикова Виктория Викторовна

Усикова Виктория Викторовна - фотография

5.0
Рейтинг: 5.0
Отзывов: 5
Положительных: 5
Отрицательных: 0
Последний : 8 дн. назад
5 отзывов
ТОП-20 в рейтинге
стоматолог-ортодонт
гнатолог
Стаж 6 лет
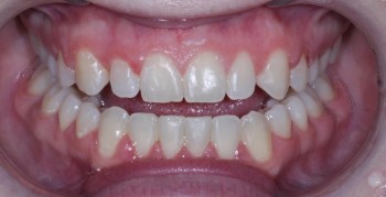
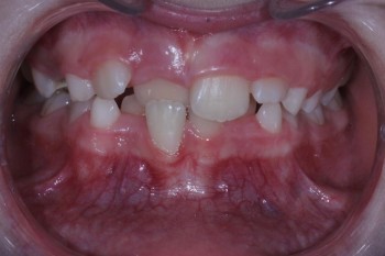
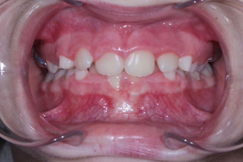
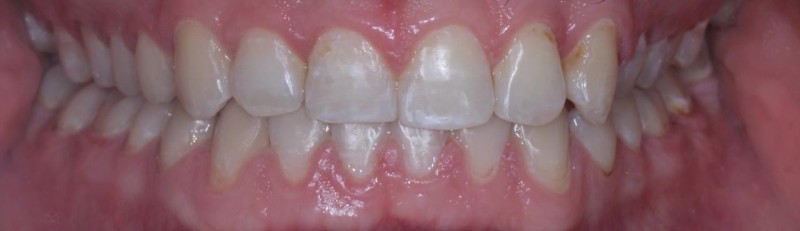
Усикова Виктория Викторовна принимает в «Стоматология ДЕНТТАЙМ» в Туле. Стаж 6 лет. Специализируется на ортодонтии и гнатологии, по которым клиника оказывает 9 услуг. Имеет 4 работы до/после в портфолио. Квалификация специалиста подтверждена 6 лицензиями, сертификатами и наградами. Для уточнения дополнительной информации о специалисте или записи на прием можно позвонить по телефону
+7 (487)Показать телефон
. Занимает 1 место в рейтинге стоматологов вашего города.

Где принимает:

Опыт 6 лет
6 сертификатов
1 место в рейтинге
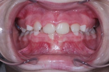
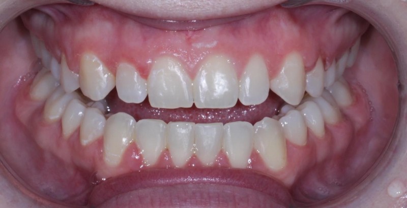
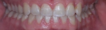
4 работы в портфолио

Усикова Виктория Викторовна: портфолио (4)

Отзывы о враче Усикова Виктория Викторовна

Рейтинг: 5
Отзывов: 5
Положительных: 5
Отрицательных: 0
Последний: 8 дн. назад
5.0
Почему нашим отзывам можно доверять?
30 апреля 2026 г.
1 2 3 4 5
Хочу поделиться истерией успешного лечения у специалиста Усиковой В.В уже на первом приеме стало ясно, я попал к профессионалу .
3 октября 2025 г.
1 2 3 4 5
Была на приёме у ортодонта Усиковой В. В. Все понравилось, рекомендую! Единственное записи приходится ждать около месяца, даже на консультацию, но администратор всегда, предлагает перезвонить при освобождении времени.
Здравствуйте! Благодарим за обратную связь. Виктория Викторовна - Врач с большой буквы, и это абсолютно заслуженно. Результаты ее работ - просто восхитительны. Мы гордимся, что в команде "Денттайм" работают мастера своего дела. С уважением стоматологическая клиника "Денттайм.
30 сентября 2025 г.
1 2 3 4 5
Пришел на приём к ортодонту Усиковой В.В Мне очень понравилось хорошее отношение врача , отлично меня проконсультировала.
Спасибо за Ваш отзыв. Виктория Викторовна, действительно, прекрасный специалист! С уважением стоматологическая клиника "Денттайм".
19 сентября 2025 г.
1 2 3 4 5
Отличная клиника и персонал, рабожиающий в ней. Виктория Викторовна Усикова - прекрасный ортодонт, не устану рекомендовать. Сделала мне улыбку на 5 звёзд! Благодарна всем, кто приложил руку к моему прекрасному результату.
Усикова Виктория Викторовна
24 ноября 2025 г.
Здравствуйте! Благодарим за оставленный Вами отзыв. Вы абсолютно правы оказались в выборе врача. Мы гордимся, что Виктория Викторовна работает в нашей команде врачей. С уважением стоматологическая клиника "Денттайм".
9 сентября 2025 г.
1 2 3 4 5
Заслуженные 5 звезд клинике и работающему в ней персоналу. Чисто, уютно, по-домашнему, спокойно, а главное - без боли! Усикова Виктория Викторовна - лучший врач ортодонт на моем ортодонтическом пути (а это уже не первое лечение на брекетах). Всегда все четко, быстро, аккуратно, с уверенностью, в общем умница!
Благодарим Вас за то, что уделили время и оставили обратную связь о работе клиники. Для нас органичное пребывание пациента в клинике является приоритетом в работе. Виктория Викторовна - ведущий стоматолог-ортодонт нашей клиники, и благодарные отзывы в адрес ее работы абсолютно оправданы. Всегда рады видеть Вас в стоматологической клинике "Денттайм".
    Помогите другим сделать правильный выбор — оставьте свой отзыв о докторе
    Написать отзыв

    Услуги стоматолога в других клиниках

    Диагностика
    Консультация ортодонта от 500 ₽ до 2 000 ₽
    Ортодонтия
    Установка брекетов от 25 000 ₽ до 105 000 ₽
    Снятие брекетов от 800 ₽ до 25 000 ₽
    Еще услуги