Фото до и после по услуге Имплантация в клиниках Тюмени

Фотографии до и после: Имплантация

На странице представлено портфолио стоматологий Тюмени с фото работ до и после имплантации зубов. Мы собрали разные клинические случаи: одиночные импланты, восстановление нескольких зубов и полная реконструкция зубного ряда. Здесь вы можете видеть, как выглядят восстановленные зубы, меняется форма улыбки после процедуры. Изучите результаты до и после имплантации зубов, чтобы оценить качество работы врачей и выбрать стоматологию в Тюмени, которая поможет вернуть функциональность и эстетику вашей улыбке.

Стоматология ГИДДЕНТ (GIDDENT)

Имплантация All-on-4

Функционально-эстетическое восстановление улыбки пациента Преображение улыбки с помощью all-on-4, установка протеза в день установки имплантатов: -устранено смещение центральной линии -восстановлена арка улыбки -восстановлена физиологическая окклюзионная плоскость

Доктор: Сидоров Николай Александрович

Имплантация Все-на-6 (All-on-6)

Выполнена имплантация All-on-6 с установкой временного протеза

Доктор: Демиденко Игорь Олегович

Имплантация Все-на-6 (All-on-6)

Выполнена имплантация по системе All-on-6 и установка временного протеза

Доктор: Демиденко Игорь Олегович

Все работы клиники
Стоматологическая клиника АТЛАНТ

Имплантация All-on-4

Доктор: Сиряк Данил Сергеевич

Имплантация All-on-4

Доктор: Гайманов Платон Александрович

Все работы клиники
Стоматология УЛЬТРА-ДЕНТ

Имплантация Все-на-6 (All-on-6)

Доктор: Седельников Никита Борисович

Установка импланта Osstem

Доктор: Седельников Никита Борисович

Все работы клиники
Многопрофильный медицинский центр ФИЛАТОВСКАЯ КЛИНИКА

Имплантация Все-на-6 (All-on-6)

Проблема пациента: частичное отсутствие зубов на нижней челюсти и эстетический дефект. Результат: внутрикостная дентальная имплантация All-on-6 (все на шести имплантах), установка временного протеза. Если вы также испытываете сложности из-за потери зубов и планируете свое лечение, мы приглашаем вас на бесплатную консультацию в стоматологию Забота. Наши врачи составят для вас подробный план лечения, включая сроки и окончательную стоимость работы.

Доктор: Халилов Мирзохид Мукарамджанович

Все работы клиники
Стоматологическая клиника ПРАКТИК (ПRАКТИК)

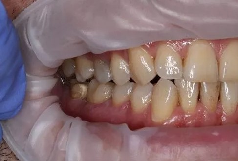
Установка импланта Straumann

В данном клиническом случае пациенту выполнена имплантация Straumann нашим стоматологом-хирургом, имплантологом Геюшовой Яной. Спустя 5 месяцев стоматолог-ортопед Иващенко Андрей совместно с зубным техником изготовил и установил на имплантаты великолепные керамические реставрации на основе диоксида циркония.

Доктор: Геюшова Яна Набиевна

Все работы клиники
Стоматология ДЕМЕТРА

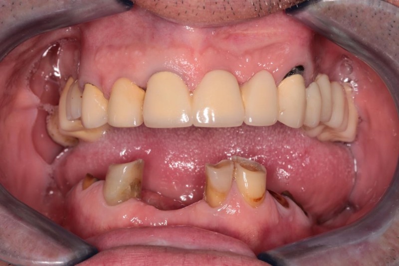
Имплантация Все-на-6 (All-on-6)

Тяжелая стадия пародонтита, потеря опорных зубов и невозможность носить частичный съемный протез. Проведено удаление разрушенных зубов, одномоментная имплантация с немедленной нагрузкой на верхней челюсти и имплантация по технологии ALL-ON-6 с винтовым креплением протеза на нижней челюсти.

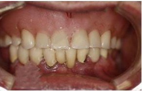
Имплантация Все-на-6 (All-on-6)

Зубы на верхней и нижней челюсти были восстановлены по методу All-on-6. Пациент улыбался уже на третий день после операции.

Имплантация

Пациенту восстановлены жевательные зубы при помощи протезирования зубов с опорой на импланты. Одноэтапная имплантация Nobel Biocare + несъемный мостовидный протез.

Имплантация Все-на-6 (All-on-6)

Практически полное отсутствие зубов, атрофия костной ткани, оставшиеся зубы депульпированы и подвижны. Проведено удаление оставшихся зубов, санация полости рта, одномоментная установка имплантов с применением хирургического шаблона. На 3 день установлен несъемный мостовидный протез.

Имплантация All-on-4

Зубы на нижней челюсти пациента восстановлены при помощи протезирования методом All-On-4 без костной пластики.

Все работы клиники
Стоматология СТОМБЕРРИ (STOMBERRY)

Имплантация

Доктор: Михеева (Голубева) Лидия Александровна

Одномоментная имплантация

Доктор: Юсуфов Магомед Нарупашаевич

Все работы клиники
Стоматология ПЛОМБИР

Имплантация

Доктор: Гальченко Владислав Владимирович

Имплантация

Все работы клиники