Фото до и после по услуге Протезирование зубов в клиниках Тюмени

Фотографии до и после: Протезирование зубов

На странице представлено портфолио стоматологий Тюмени с фото работ до и после протезирования зубов. Мы собрали результаты разных вариантов протезирования: одиночные коронки (керамические, циркониевые), мостовидные протезы, протезы на имплантах и полные съемные протезы. Вы можете видеть, как восстанавливаются полностью утраченные или сильно разрушенные зубы, возвращается жевательная функция и естественный вид улыбки. Изучите результаты до и после протезирования и выберите подходящую клинику в Тюмени, чтобы вернуть здоровье и красоту вашей улыбке.

Стоматология МАГИЯ УЛЫБКИ

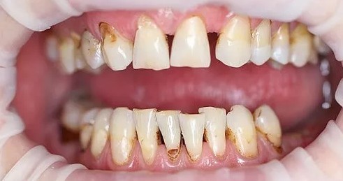
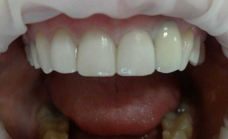
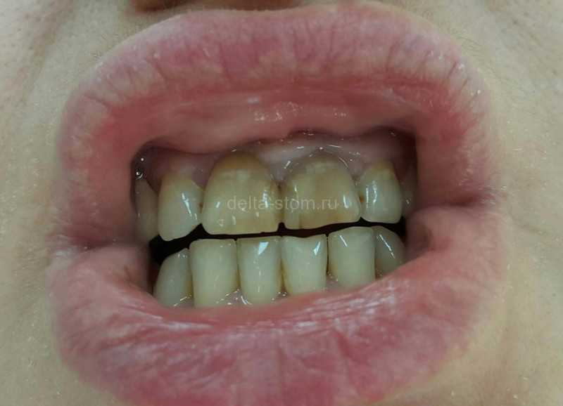
Установка коронки из диоксида циркония

Доктор: Якушинский Олег Сергеевич

Установка коронки из диоксида циркония

Доктор: Якушинский Олег Сергеевич

Установка коронки из диоксида циркония

Доктор: Якушинский Олег Сергеевич

Установка коронки из диоксида циркония

Доктор: Якушинский Олег Сергеевич

Установка коронки из диоксида циркония

Доктор: Якушинский Олег Сергеевич

Установка коронки из диоксида циркония

Доктор: Якушинский Олег Сергеевич

Все работы клиники
Стоматология СТОМБЕРРИ (STOMBERRY)

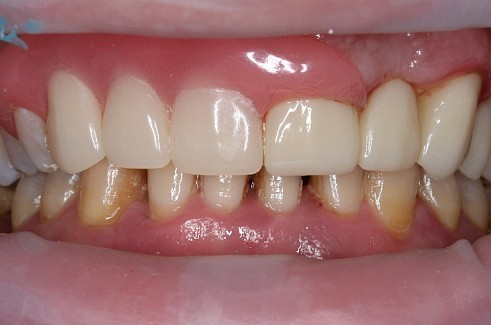
Протезирование зубов

Доктор: Юсуфов Магомед Нарупашаевич

Протезирование зубов

Доктор: Севостьянов Андрей Сергеевич

Протезирование зубов

Доктор: Михеева (Голубева) Лидия Александровна

Протезирование зубов

Доктор: Юсуфов Магомед Нарупашаевич

Протезирование зубов

Доктор: Севостьянов Андрей Сергеевич

Протезирование зубов

Доктор: Казимиров Алексей Владимирович

Все работы клиники
Стоматологическая клиника ФОРМУЛА УЛЫБКИ

Установка коронки из диоксида циркония

Установка коронки из диоксида циркония

Установка коронки из диоксида циркония

Все работы клиники
Стоматология ДЕМЕТРА

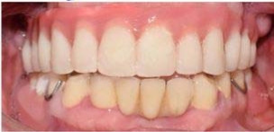
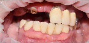
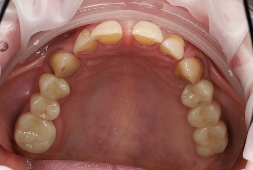
Установка съемного протеза

Проведена установка зубных имплантов и протезов на верхней челюсти с применением метода однофазной имплантации. Зубы нижней челюсти восстановлены частичными съемными зубными протезами.

Установка металлокерамической коронки

Установка 6 имплантов HiTec (Израиль). Через 4 месяца формирователь, индивидуальный абатмент, 6 металлокерамических коронок (Германия).

Все работы клиники
Стоматология ЗАБОТА

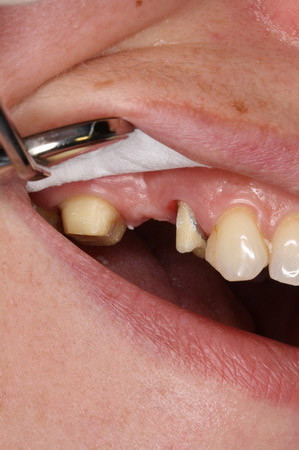
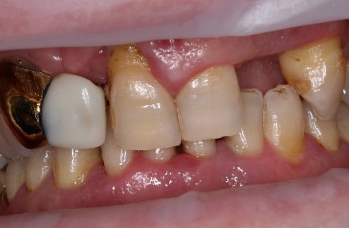
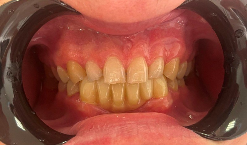
Установка мостовидного протеза

Атрофия костной ткани – это процесс, при котором происходит уменьшение объема и плотности кости. Это может произойти по разным причинам, включая возрастные изменения, травмы, болезни и хирургические вмешательства. В случае с нашим пациентом, атрофия костной ткани была вызвана отсутствием зубов в течение длительного времени. Ввиду сложности клинического случая, используемые в современной стоматологии методы наращивания кости были невозможны. Из-за очень малого объема кости, соответственно, была невозможна и установка зубных имплантов. В таком случае пациенту стоматологического центра «Забота» в Тюмени был предложен альтернативный метод лечения. В данном случае, стоматолог-ортопед Виталий Николаевич Попылькин принял решение установить циркониевый мостовидный протез и искусственную десну. Циркониевый мостовидный протез – это конструкция, которая заменяет отсутствующие зубы и крепится к соседним зубам. Он изготовлен из прочного и эстетичного материала – циркония. Искусственная десна, в свою очередь, помогает восстановить форму и объем десны, что делает улыбку более естественной.

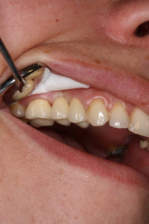
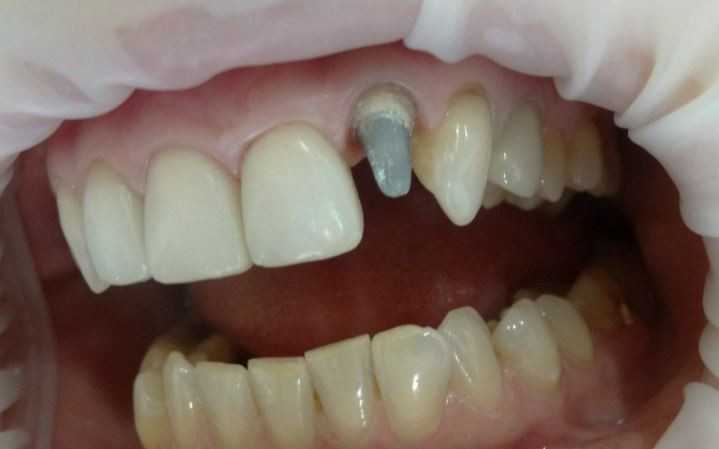
Установка коронки из диоксида циркония

Сегодня мы хотим поделиться с вами историей нашего пациента, который обратился к нам с проблемой разрушения зуба. Пациент жаловался на периодические сколы зуба и выпадение пломбы. После осмотра было выявлено, что зуб 4.6 разрушен более чем на 50%, поэтому было принято решение восстановить зуб коронкой из диоксида циркония. Результат нашей работы превзошел все ожидания пациента. Коронка из диоксида циркония идеально подошла по форме и цвету, а также обеспечила надежную защиту зуба от дальнейших повреждений. Мы рады, что смогли помочь нашему пациенту и уверены, что он будет доволен результатом на протяжении многих лет.

Все работы клиники
Стоматология АРИЯДЕНТ

Установка мостовидного протеза

Все работы клиники
Стоматологическая клиника ФРАНДЖИПАНИ (FRANGIPANI)

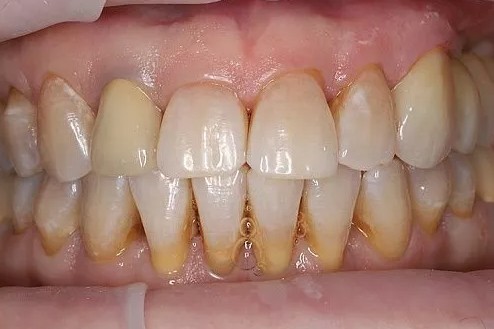
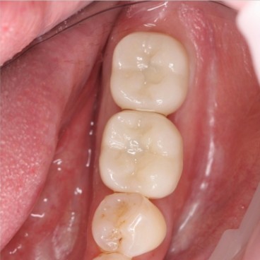
Установка коронки из диоксида циркония

Доктор: Ганиев Исроил Шухратович

Все работы клиники