Фото до и после по услуге Профгигиена в клиниках Уфы

Фотографии до и после: Профгигиена

На странице представлено портфолио стоматологий Уфы с работами до и после профессиональной чистки зубов. В нашем портфолио собраны разные клинические случаи: от удаления незначительного налета до снятия массивного поддесневого камня. Здесь вы можете увидеть, как возвращается естественный цвет и внешний вид зубов после процедуры. Изучите результаты до и после чистки зубов, чтобы увидеть реальный эффект и выбрать клинику в Уфе, где профессиональная гигиена поможет вернуть зубам здоровый вид.

Клиника СТОМАТОЛОГ И Я

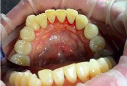
Чистка зубов Air-flow

Чистка зубов Air-flow

Все работы клиники
Центр съемного протезирования и имплантации МАЭСТРО

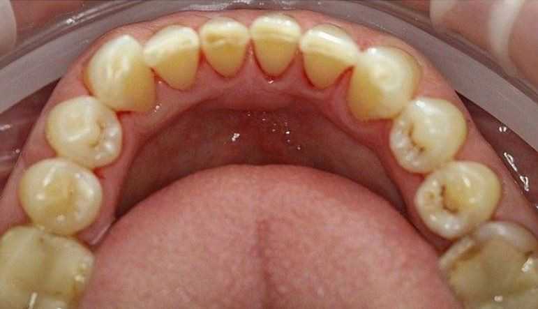
Полировка зубов

Доктор: Исхаков Рустам Сабитович

Полировка зубов

Доктор: Исхаков Рустам Сабитович

Все работы клиники