Фото до и после по услуге Установка виниров в клиниках Уфы

Фотографии до и после: Установка виниров

На странице представлено портфолио стоматологий Уфы с фото работ до и после установки виниров. Здесь вы можете видеть как процедура меняет цвет и форму зубов, скрывает сколы, щели между зубами и корректирует незначительные неровности. Изучите работы до и после установки виниров в стоматологиях Уфы, чтобы оценить профессионализм специалистов и выбрать клинику, которой можно доверить свои зубы.

Клиника СТОМАТОЛОГ И Я

Установка виниров

Установка виниров E-max

Установка виниров E-max

Установка виниров

Все работы клиники
СТОМАТОЛОГИЯ ДОКТОРА ТОМИЛИНОЙ

Установка виниров

Люминирование зубов

Все работы клиники
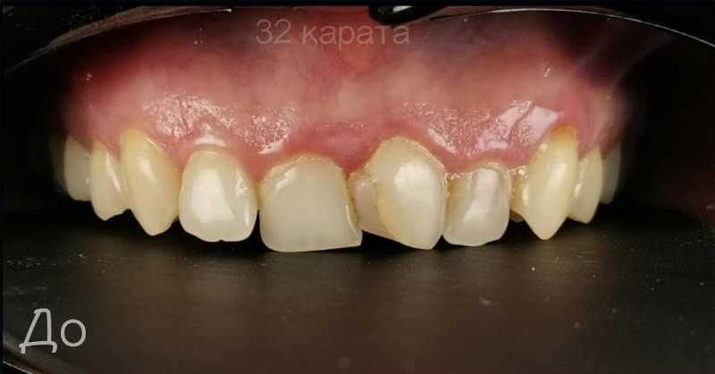
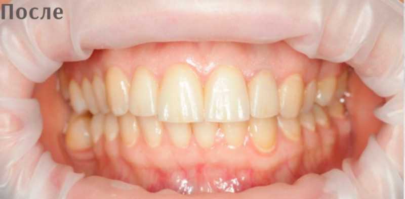
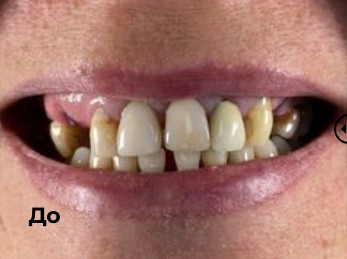
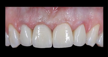
Сеть стоматологических клиник 32 КАРАТА

Установка керамических виниров

Установка циркониевых виниров

Установка керамических виниров

Установка керамических виниров

Установка керамических виниров

Все работы клиники
Клиника современной стоматологии ИМПЛАНТ ДЕНТАЛ КЛИНИК (IMPLANT DENTAL CLINIK)

Установка виниров

Установка виниров

Установка виниров

Установка виниров

Установка виниров

Все работы клиники
Клиника эстетической стоматологии ГАЛАДЕНТ

Установка виниров

Установка виниров

Установка виниров

Все работы клиники
Центр имплантации и протезирования РИАДЕНТ

Установка виниров

Доктор: Силантьева Александра Евгеньевна

Установка виниров

Доктор: Силантьева Александра Евгеньевна

Все работы клиники
Стоматологическая клиника КАБИНЕТ (CABINET)

Установка виниров

Доктор: Силантьева Александра Евгеньевна

Установка виниров

Доктор: Силантьева Александра Евгеньевна

Все работы клиники
Стоматология МАСТЕРДЕНТ

Установка виниров

Установка виниров

Устранение диастемы с помощью установки виниров

Все работы клиники