Фото до и после по услуге Протезирование зубов в клиниках Уфы

Фотографии до и после: Протезирование зубов

На странице представлено портфолио стоматологий Уфы с фото работ до и после протезирования зубов. Мы собрали результаты разных вариантов протезирования: одиночные коронки (керамические, циркониевые), мостовидные протезы, протезы на имплантах и полные съемные протезы. Вы можете видеть, как восстанавливаются полностью утраченные или сильно разрушенные зубы, возвращается жевательная функция и естественный вид улыбки. Изучите результаты до и после протезирования и выберите подходящую клинику в Уфе, чтобы вернуть здоровье и красоту вашей улыбке.

СТОМАТОЛОГИЯ ДОКТОРА ТОМИЛИНОЙ

Установка керамической коронки

Доктор: Абдрахимов Ильмир Мухамметович

Установка мостовидного протеза

Металлокерамические мостовидные протезы

Протезирование зубов

Металлокерамические коронки, вкладки, бюг. протез

Установка мостовидного протеза

Мостовидный комбинированный протез

Установка мостовидного протеза

Металлокерамический мост

Все работы клиники
Клиника СТОМАТОЛОГ И Я

Протезирование зубов

1. Имплантация системой MIS. 2. Изготовление коронки из диоксида циркония на винтовой фиксации (24 зуб). 3. Изготовление Металлокерамической коронки (25 зуб).

Микропротезирование

Микропротезирование с использованием стекловолокна

Установка коронки из диоксида циркония

Все работы клиники
Стоматологическая клиника ВЕРБЕНА-ДЕНТ

Установка керамической коронки

Пациент обратился для завершения лечения после установки импланта у хирурга и хотел восстановить зуб с помощью коронки. Проведено обследование и подготовка к ортопедическому этапу. Сняты слепки/сканирование для изготовления коронки. Изготовлена и установлена керамическая коронка на имплант

Доктор: Нурисламов Фадис Фирдависович

Установка коронки из диоксида циркония

Пациент обратился с жалобами на отсутствие зубов и необходимость восстановления жевательной функции и эстетики. После установки имплантов на место отсутствующих зубов 1.6 и 2.6, подготовлены коронки. Изготовлены две коронки из диоксида циркония для обеспечения прочности и эстетичности. Проведена фиксация коронок на имплантах с точной посадкой и естественным оттенком. Жевательная функция восстановлена, эстетика улыбки улучшена, коронки идеально интегрировались в зубной ряд.

Доктор: Нурисламов Фадис Фирдависович

Установка коронки из диоксида циркония

Пациент обратился в клинику с отсутствием двух жевательных зубов и разрушенным премоляром. Восстановили функциональность и эстетику: установили два премиальных имплантата Straumann, а спустя 4 месяца — керамические коронки из диоксида циркония. Здоровая улыбка и комфорт возвращены!

Доктор: Сибагатуллин Вадим Радифович

Установка металлокерамической коронки

Пациент обратился с жалобами на отсутствие зуба и желанием восстановить жевательную функцию и эстетику улыбки. Проведена диагностика и планирование ортопедического этапа после имплантации. Выполнено сканирование и изготовление индивидуальной металлокерамической коронки. Проведена примерка, коррекция и окончательная фиксация коронки на импланте. Контроль прилегания и окклюзии для естественной функции и комфорта

Доктор: Сибагатуллин Вадим Радифович

Установка коронки из диоксида циркония

Пациент обратился после ДТП, в котором были повреждены передние зубы. В результате травмы также были получены переломы, и пациент прошёл длительную реабилитацию. После консультации с хирургом были установлены 3 импланта на место повреждённых зубов. Пациент отказался от временных протезов, решение о постоянном протезировании было принято через 6 месяцев. Для изготовления постоянных коронок использовался диоксид циркония с применением искусственной десны для естественного вида.

Доктор: Нурисламов Фадис Фирдависович

Установка коронки из диоксида циркония

Пациент обратился с жалобами на разрушение зуба 1.6 и желание восстановить его функцию и эстетику. Проведена диагностика и подготовка зуба под коронку. Сняты слепки и подобран оттенок под естественный цвет зубов. Изготовлена индивидуальная коронка из диоксида циркония. Выполнена фиксация конструкции и контроль прилегания

Доктор: Сибагатуллин Вадим Радифович

Установка керамической коронки

Пациент обратился с целью вернуть функциональность и эстетику зубов Проведена диагностика, установлен ряд имплантатов стоматологом-хирургом и изготовлена коронка на собственный зуб

Доктор: Нурисламов Фадис Фирдависович

Установка керамической коронки

Пациент с детства имел вылеченный передний резец, который со временем потемнел и стал причиной дискомфорта. Была изготовлена керамическая коронка Emax на передний зуб. Несмотря на сложный цвет, после двух примерок мы добились идеальной гармонии и естественного вида

Доктор: Сибагатуллин Вадим Радифович

Установка керамической вкладки

Пациента беспокоили зубы 1.6 и 1.4, ранее леченые. Жалобы: частые сколы пломб, неприятный запах, попадание пищи между зубами. Проведена подготовка и терапевтическое лечение Изготовлены и установлены керамические накладки на зубы 1.6 и 1.4. Восстановлена форма и функция зубов с учётом эстетики и долговечности

Доктор: Сибагатуллин Вадим Радифович

Установка керамической коронки

Пациент обратился с жалобами на отсутствие зубов и желанием восстановить эстетику и полноценную жевательную функцию. Проведена диагностика и планирование ортопедического этапа после имплантации. Выполнено сканирование и подбор оттенка под естественный цвет зубов. Изготовлены индивидуальные керамические коронки с точной посадкой на импланты. Проведена фиксация конструкций и контроль прилегания

Доктор: Нурисламов Фадис Фирдависович

Установка мостовидного протеза

Пациентка, обратилась с жалобами на эстетику и функциональные проблемы зубов верхней челюсти. Имплантация не рассматривалась из-за ограничений по срокам и финансам. Что было проведено: После консультации и КТ принято решение снять старые мосты и оценить состояние зубов. Проведено терапевтическое лечение: пролечен кариес, заменены пломбы. Изготовлена и установлена мостовидная конструкция из диоксида циркония

Доктор: Нурисламов Фадис Фирдависович

Установка керамической коронки

Девушка обратилась в нашу стоматологию с жалобами на разрушенный зуб и боли. Что было проведено: Провели осмотр и КТ-диагностику, составили план лечения, согласовали этапы с пациенткой. Выполнили удаление разрушенного зуба и установку имплантата с учётом анатомии. Через 6 месяцев изготовлена и установлена коронка из диоксида циркония за два приёма

Доктор: Нурисламов Фадис Фирдависович

Установка коронки из диоксида циркония

Пациент 50-ти лет, обратилась в клинику с сильно разрушенными и не подлежащими восстановлению зубами. Что было проведено: Выполнено удаление разрушенных зубов. Проведена дентальная имплантация с учётом анатомии челюсти. Через 4 месяца изготовлены и установлены конструкции из диоксида циркония

Доктор: Нурисламов Фадис Фирдависович

Установка коронки из диоксида циркония

Пациент ранее был реабилитирован коронками на свои зубы, а также установлены импланты в области зубов 17 и 46. Необходимо было установить коронки на импланты для восстановления функции и эстетики. Сняты слепки для изготовления коронок из циркония. В 2 приёма зафиксированы коронки на имплантах с учётом анатомии и эстетики зубного ряда. Зубы восстановлены, функция и эстетика улучшены

Доктор: Нурисламов Фадис Фирдависович

Установка керамической вкладки

Проведена подготовка и терапевтическое лечение Изготовлены и установлены керамические накладки на зубы 1.6 и 1.4. Восстановлена форма и функция зубов с учётом эстетики и долговечности. Проведена диагностика и составлен план лечения с выбором микропротезирования. Зубы тщательно подготовлены: удалены старые пломбы и кариозные ткани, выполнено чистовое препарирование. Изготовлены индивидуальные керамические накладки E.max, максимально точно повторяющие форму зубов. Установлены накладки с восстановлением контактов и жевательной поверхности

Доктор: Сибагатуллин Вадим Радифович

Установка коронки из диоксида циркония

Пациент обратился с отсутствием зуба 3.6 и желанием восстановить жевательную функцию. Что сделано: Установлен корейский имплант на место зуба 3.6. Через 5,5 месяцев проведено сканирование для изготовления коронки (1 приём). На втором приёме выполнена фиксация ортопедической конструкции

Доктор: Нурисламов Фадис Фирдависович

Установка мостовидного протеза

Пациент обратился с жалобами на неэстетичный внешний вид зубов, частичное их отсутствие и нарушение жевательной функции. Что было проведено: Проведена имплантация. После приживления — препарирование опорных зубов и подготовка под коронки. Изготовлены и установлены ортопедические конструкции на имплантаты и зубы

Доктор: Нурисламов Фадис Фирдависович

Установка керамической коронки

Пациент обратился для завершения лечения после установки импланта у хирурга и хотел восстановить зуб с помощью коронки. Что сделано: проведено обследование и подготовка к ортопедическому этапу. Сняты слепки/сканирование для изготовления коронки. Изготовлена и установлена керамическая коронка на имплант

Доктор: Нурисламов Фадис Фирдависович

Установка керамической вкладки

У пациента на зубах 4.7 и 3.6 были диагностированы глубокие кариозные поражения. Проведено терапевтическое лечение и подготовка зубов. Изготовлены и установлены две керамические накладки. Восстановлена анатомическая форма и функция жевательных зубов. Зубы укреплены, исключён риск повторных сколов пломб, продлён срок их службы

Доктор: Сибагатуллин Вадим Радифович

Установка коронки из диоксида циркония

Пациенту установлены 4 импланта с коронками из диоксида циркония. Задача — восстановить жевательные зубы на одной стороне и задать цвет, который будет более белым, чем естественные зубы, чтобы в будущем это гармонировало с коронками/винирами на передних зубах. Установлены 4 импланта и изготовлены коронки из диоксида циркония. Цвет коронок выбран белее, чем натуральные зубы, для будущей гармонии с передними винирами.

Доктор: Нурисламов Фадис Фирдависович

Все работы клиники
Центр съемного протезирования и имплантации МАЭСТРО

Установка металлокерамической коронки

Доктор: Исхаков Рустам Сабитович

Установка мостовидного протеза

Установка керамической коронки

Доктор: Исхаков Рустам Сабитович

Установка съемного протеза

Доктор: Исхаков Рустам Сабитович

Установка коронки из диоксида циркония

Установка мостовидного протеза

Доктор: Исхаков Рустам Сабитович

Установка бюгельного протеза

Доктор: Исхаков Рустам Сабитович

Установка керамической коронки

Доктор: Исхаков Рустам Сабитович

Установка коронки из диоксида циркония

Установка бюгельного протеза

Доктор: Исхаков Рустам Сабитович

Все работы клиники
Стоматологическая клиника ЮЛИДЕНТ (WHITE BEAUTY)

Установка керамической коронки

Доктор: Юлдашев Нагим Ильдарович

Установка коронки из диоксида циркония

Доктор: Юлдашев Нагим Ильдарович

Все работы клиники
Стоматологическая клиника ВЕКАСТОМ ЛЮКС

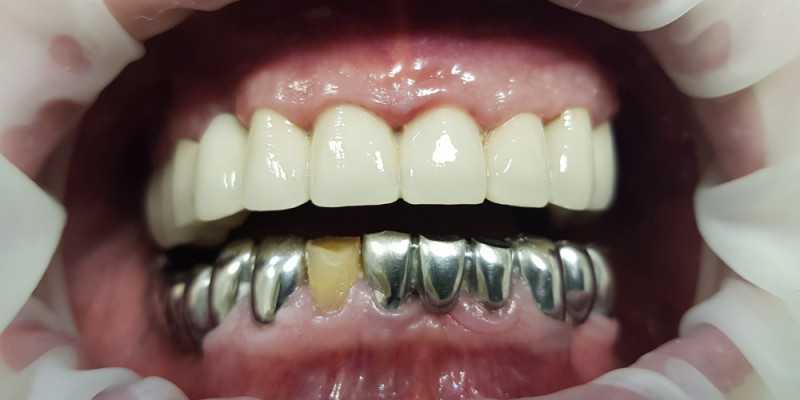
Установка коронки из диоксида циркония

Пример - на фото. Случай из практики врача клиники Векастом Люкс. К нам обратился пациент с проблемой девитального зуба (зуб, у которого удален нерв) - на таком зубе неизбежно появляются трещины, сколы. Чтобы предотвратить будущие сколы, делается искусственная коронка. После консультации с врачом и рассмотрения всех вариантов, было решено произвести протезирование при помощи коронки из материала диоксида циркония.

Установка мостовидного протеза

Все работы клиники
Стоматологическая клиника РАФАЭЛЛА

Протезирование зубов

Доктор: Ягафаров Урал Маратович

Все работы клиники
Стоматология АП КЛАБ (UP CLUB)

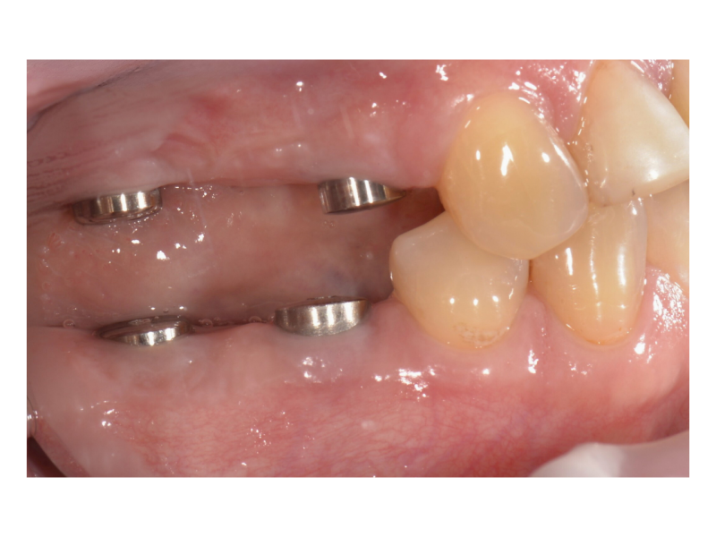
Установка коронки из диоксида циркония

Были установлены виниры и коронки из диоксида циркония. В процессе лечения был полностью восстановлен верхний зубной ряд, а на нижней челюсти была восстановлена только желательную группу зубов на имплантах. Это решение позволило эффективно восстановить жевательную функцию, сохранив при этом естественный вид зубов.

Доктор: Багаев Денис Ильясович

Все работы клиники
Стоматологическая клиника ДОКТОР ФАЗЫЛОВ (DR.FAZYLOV)

Установка керамической коронки

Доктор: Шилова Ксения Николаевна

Все работы клиники