Фото до и после по услуге Протезирование зубов в клиниках Владивостока

Фотографии до и после: Протезирование зубов

На странице представлено портфолио стоматологий Владивостока с фото работ до и после протезирования зубов. Мы собрали результаты разных вариантов протезирования: одиночные коронки (керамические, циркониевые), мостовидные протезы, протезы на имплантах и полные съемные протезы. Вы можете видеть, как восстанавливаются полностью утраченные или сильно разрушенные зубы, возвращается жевательная функция и естественный вид улыбки. Изучите результаты до и после протезирования и выберите подходящую клинику в Владивостоке, чтобы вернуть здоровье и красоту вашей улыбке.

Стоматологическая клиника ПРИОРИТЕТ

Протезирование зубов

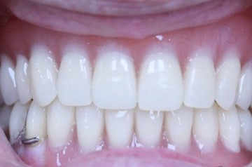
Пациент, 54 года. Замена старых металлических протезов на диоксид циркония.

Установка коронки из диоксида циркония

Пациентка, 49 лет. Жалобы частичное отсутствие зубов. Проведено, лечение, удаление несостоятельных зубов, установлены импланты, протезирование коронками из диоксида циркония.

Установка мостовидного протеза

Пациентка, 44 года. Жалобы на частичное отсутствие зубов. Проведено протезирование коронками и мостовидными протезами из диоксида циркония.

Протезирование зубов

Пациентка, 54 года. Жалобы частичное отсутствие зубов. Проведено комплексное лечение и протезирование .

Протезирование зубов

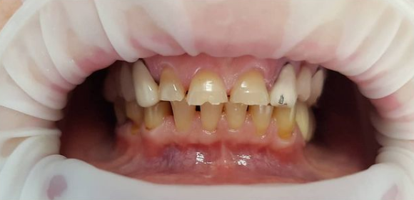
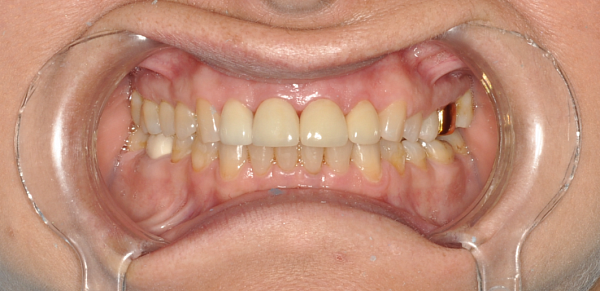
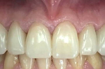
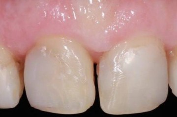
Пациентка, 47 лет. Жалобы на подвижность металлокерамического протеза изготовленного 7 лет назад. Проведено снятие протеза, удаление 2 зубов и изготовление нового эстетичного протеза из диоксида циркония.

Все работы клиники
Стоматология КРИСТАЛЛ

Установка мостовидного протеза

Протезирование мостовидным протезом. Срок 10 дней

Доктор: Мегеря Дмитрий Николаевич

Установка металлокерамической коронки

Протезирование зубов металлокерамическими коронкам

Доктор: Мегеря Дмитрий Николаевич

Установка керамической коронки

Протезирование керамическими коронками. Срок 10 дней

Доктор: Сивов Алексей Евгеньевич

Установка металлокерамической коронки

Протезирование металлокерамикой зубов. Срок 15 дней

Доктор: Сивов Алексей Евгеньевич

Установка коронки из диоксида циркония

Имплантация зуба коронка из диоксида циркония

Доктор: Дыдин Лев Игоревич

Установка коронки из диоксида циркония

Протезирование зуба коронкой из диоксида циркония

Доктор: Сивов Алексей Евгеньевич

Все работы клиники
Стоматология ДОБРЫЙ ДОКТОР

Установка металлокерамической коронки

Японская металлокерамика NORITAKE.

Установка металлокерамической коронки

Метеллокерамические коронки.

Установка металлокерамической коронки

Металлокерамические коронки NORITAKE - выразительная эстетичность и привлекательная цена. Японское качеств

Установка металлокерамической коронки

Металлокерамические коронки NORITAKE (Япония). Высочайшая эстетика, блестящая поверхность, прочность, отсутствие пищевых ограничений, не высокая стоимость. Благодаря этим преимуществам японские коронки Noritake популярны не только в Японии, но и во всем мире.

Все работы клиники
Стоматологическая клиника ОРТОДЕНТ-Р

Установка коронки из диоксида циркония

Пациент, 35 лет обратился в клинику для получения консультации у стоматолога-ортопеда по причине проблем с внешним видом зубов. В результате проведенной реставрации с применением коронок из диоксида циркония было достигнуто максимальное сходство с естественным оттенком пациента.

Установка акрилового протеза

Пациент в возрасте 50 лет имел обширные проблемы с зубами, что привело к их полной потере, за исключением одного. Чтобы восстановить необходимую функциональность и эстетику улыбки, была проведена процедура установки коронки из высококачественного диоксида циркония для спасения последнего оставшегося зуба. В дальнейшем для пациента были изготовлены и успешно установлены съемные акриловые протезы как для верхней, так и для нижней челюсти.

Установка акрилового протеза

Столкнувшись с полным отсутствием зубов и невозможностью жевать, 60-летний пациент обратился в стоматологический центр и проконсультировался с врачом-ортопедом. В результате была успешно выполнена реконструкция ротовой полости с помощью полного акрилового протеза. Благодаря эффективной реабилитации, процесс восстановления был завершен в сжатые сроки.

Установка коронки из диоксида циркония

Пациент, 42 года, обратился с жалобами на эстетические проблемы. Для улучшения внешнего вида его верхней челюсти были установлены коронки из диоксида циркония, которые отличаются повышенным гарантийным сроком службы. Подробнее о материале и его свойствах вы можете узнать на персональной консультации.

Все работы клиники
Стоматологическая клиника МИЛА ДЕНТ (MILA DENT)

Протезирование зубов

Протезирование зубов

Протезирование зубов

Все работы клиники