Фото до и после по услуге Установка коронки на зуб в клиниках Владивостока

Фотографии до и после: Установка коронки на зуб

На странице представлено портфолио стоматологий Владивостока с фото работ до и после установки зубных коронок. Показываем, как можно полностью восстановить форму разрушенного зуба и эстетичный вид улыбки. На странице собраны разные клинические случаи восстановления одиночными коронками из металлокерамики, циркония или керамики. Изучите результаты до и после процедуры и выберите подходящую клинику для восстановления зуба в Владивостоке.

Стоматологическая клиника ПРИОРИТЕТ

Установка коронки из диоксида циркония

Пациентка, 49 лет. Жалобы частичное отсутствие зубов. Проведено, лечение, удаление несостоятельных зубов, установлены импланты, протезирование коронками из диоксида циркония.

Все работы клиники
Стоматология КРИСТАЛЛ

Установка коронки из диоксида циркония

Протезирование зуба коронкой из диоксида циркония

Доктор: Сивов Алексей Евгеньевич

Установка керамической коронки

Протезирование керамическими коронками. Срок 10 дней

Доктор: Сивов Алексей Евгеньевич

Установка металлокерамической коронки

Протезирование металлокерамикой зубов. Срок 15 дней

Доктор: Сивов Алексей Евгеньевич

Установка коронки из диоксида циркония

Имплантация зуба коронка из диоксида циркония

Доктор: Дыдин Лев Игоревич

Установка металлокерамической коронки

Протезирование зубов металлокерамическими коронкам

Доктор: Мегеря Дмитрий Николаевич

Все работы клиники
Стоматология ДОБРЫЙ ДОКТОР

Установка металлокерамической коронки

Метеллокерамические коронки.

Установка металлокерамической коронки

Японская металлокерамика NORITAKE.

Установка металлокерамической коронки

Металлокерамические коронки NORITAKE (Япония). Высочайшая эстетика, блестящая поверхность, прочность, отсутствие пищевых ограничений, не высокая стоимость. Благодаря этим преимуществам японские коронки Noritake популярны не только в Японии, но и во всем мире.

Установка металлокерамической коронки

Металлокерамические коронки NORITAKE - выразительная эстетичность и привлекательная цена. Японское качеств

Все работы клиники
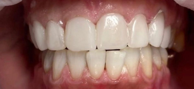
Лазерная стоматология ДЕНТ-АРТ

Установка коронки на зуб

Установка коронки на зуб

Все работы клиники
Стоматологическая клиника ОРТОДЕНТ-Р

Установка коронки из диоксида циркония

Пациент, 42 года, обратился с жалобами на эстетические проблемы. Для улучшения внешнего вида его верхней челюсти были установлены коронки из диоксида циркония, которые отличаются повышенным гарантийным сроком службы. Подробнее о материале и его свойствах вы можете узнать на персональной консультации.

Установка коронки из диоксида циркония

Пациент, 35 лет обратился в клинику для получения консультации у стоматолога-ортопеда по причине проблем с внешним видом зубов. В результате проведенной реставрации с применением коронок из диоксида циркония было достигнуто максимальное сходство с естественным оттенком пациента.

Все работы клиники