Стоматолог Попова Евгения Валерьевна — цены, отзывы, стаж — Принимает в Волгограде

Попова Евгения Валерьевна

Попова Евгения Валерьевна - фотография
стоматолог-ортодонт
Стаж 18 лет
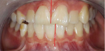
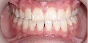
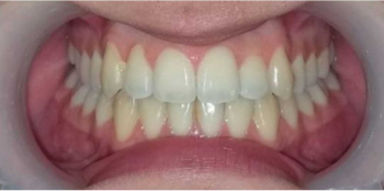
Попова Евгения Валерьевна принимает в «Стоматология СТУДИЯ УЛЫБКИ» в Волгограде. Стаж 18 лет. Специализируется на ортодонтии, по которой клиника оказывает 1 услугу. Имеет 2 работы до/после в портфолио. Квалификация специалиста подтверждена 24 лицензиями, сертификатами и наградами. Для уточнения дополнительной информации о специалисте или записи на прием можно позвонить по телефону
+7 (8442)Показать телефон
. Также 32top представляет форму онлайн расписания, через которую можно записаться к специалисту на свободную дату и время.

Где принимает:

Опыт 18 лет
24 сертификата
2 работы в портфолио

Отзывы о враче Попова Евгения Валерьевна

Почему нашим отзывам можно доверять?
После приема Пациент записывался в клинику через 32top. После приёма мы позвонили ему и получили отзыв.
29 мая 2025 г.
1 2 3 4 5
После курса лечения у ортодонта Поповой Евгении наконец сняла брекеты и бесконечно рада результату! Евгения проявила себя настоящий профессионал. Отдельная благодарность всей команде клиники и лично руководителю за создание условий, где даже сложное лечение проходит с комфортом. Это тот случай, когда полностью оправданы все ожидания
Спасибо большое за отзыв, рады что Вам все понравилось)
    Помогите другим сделать правильный выбор — оставьте свой отзыв о докторе
    Написать отзыв

    Услуги врача (19)

    Ортодонтия
    Установка брекетов
    от 50 000 ₽ за 1 челюсть
    Снятие брекетов
    Установка элайнеров
    Еще услуги
    Все цены носят ознакомительный характер. Точную цену вы сможете получить только после консультации специалиста.
    Звоните по телефону:
    +7 (8442)Показать телефон

    Попова Евгения Валерьевна: портфолио (2)

    Акции и скидки клиники СТУДИЯ УЛЫБКИ (1)