Бережнов Роман Викторович
Стаж
11 лет
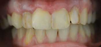
Бережнов Роман Викторович принимает в «Стоматология УЛЫБКА МЕЧТЫ» в Воронеже. Стаж 11 лет. Специализируется на ортопедии, по которой клиника оказывает 6 услуг. Имеет 2 работы до/после в портфолио. Квалификация специалиста подтверждена 18 лицензиями, сертификатами и наградами. Для уточнения дополнительной информации о специалисте или записи на прием можно позвонить по телефону
+7 (903)Показать телефон
. Занимает 10 место в рейтинге стоматологов-ортопедов 32top в вашем городе.
Где принимает:
-
Стоматология УЛЫБКА МЕЧТЫ пр-т Патриотов, д. 1Е
2 работы в портфолио
18 сертификатов
Опыт 11 лет
Отзывы о враче Бережнов Роман Викторович
Каждый отзыв проходит тщательную проверку Если у нас есть сомнения в достоверности, мы проводим дополнительную проверку: связываемся с автором отзыва и запрашиваем документы, подтверждающие факт посещения клиники.
30% отзывов не проходят модерацию Мы не размещаем и не допускаем к публикации заказные отзывы.
Собираем отзывы после приёма Наш колл-центр получает отзывы у пациентов, записавшихся на приём через 32top.