Стоматолог Сундеева (Говорова) Кристина Александровна — цены, отзывы, стаж — Принимает в Воронеже

Сундеева (Говорова) Кристина Александровна

Сундеева (Говорова) Кристина Александровна - фотография
стоматолог-терапевт
детский стоматолог
Стаж 16 лет
Сундеева (Говорова) Кристина Александровна принимает в «Стоматология ВИРТУОЗ» в Воронеже. Стаж 16 лет. Специализируется на терапии и детской стоматологии, по которым клиника оказывает 22 услуги. Имеет 4 работы до/после в портфолио. Квалификация специалиста подтверждена 5 лицензиями, сертификатами и наградами. Для уточнения дополнительной информации о специалисте или записи на прием можно позвонить по телефону
+7 (473)Показать телефон
.

Где принимает:

5 сертификатов
Опыт 16 лет
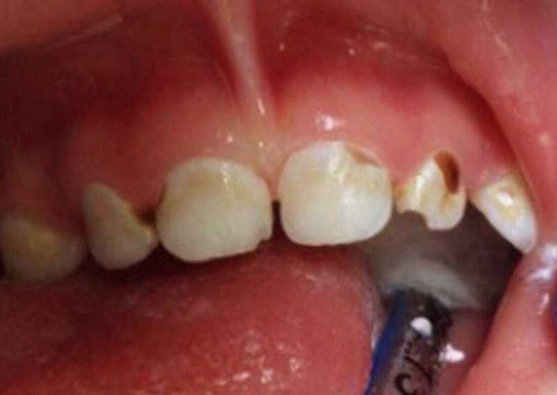
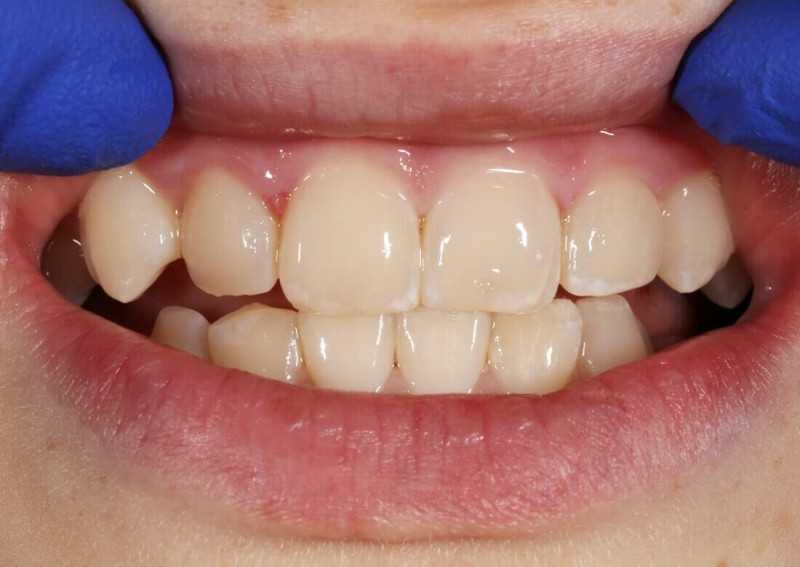
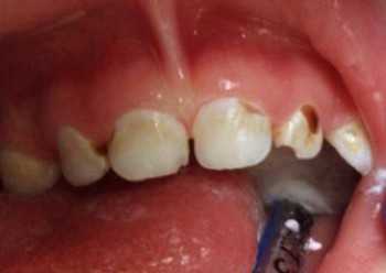
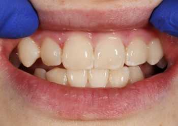
4 работы в портфолио

Сундеева (Говорова) Кристина Александровна: портфолио (4)

    Помогите другим сделать правильный выбор — оставьте свой отзыв о докторе
    Написать отзыв

    Услуги стоматолога в других клиниках

    Терапевтическая стоматология
    Лечение кариеса от 3 900 ₽ до 9 900 ₽
    Лечение пульпита от 5 000 ₽ до 19 000 ₽
    Еще услуги