Стоматолог Дмитриева Антонина Ивановна — цены, отзывы, стаж — Принимает в Воронеже

Дмитриева Антонина Ивановна

Дмитриева Антонина Ивановна - фотография
стоматолог-ортодонт
Стаж 12 лет
Дмитриева Антонина Ивановна принимает в «Стоматология ВИРТУОЗ» в Воронеже. Стаж 12 лет. Специализируется на ортодонтии, по которой клиника оказывает 8 услуг. Имеет 2 работы до/после в портфолио. Квалификация специалиста подтверждена 20 лицензиями, сертификатами и наградами. Для уточнения дополнительной информации о специалисте или записи на прием можно позвонить по телефону
+7 (473)Показать телефон
.

Где принимает:

20 сертификатов
2 работы в портфолио
Опыт 12 лет

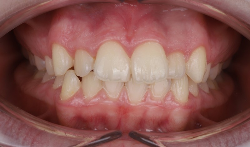
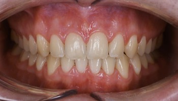
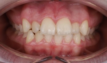
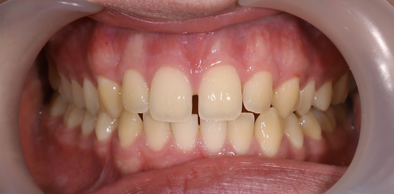
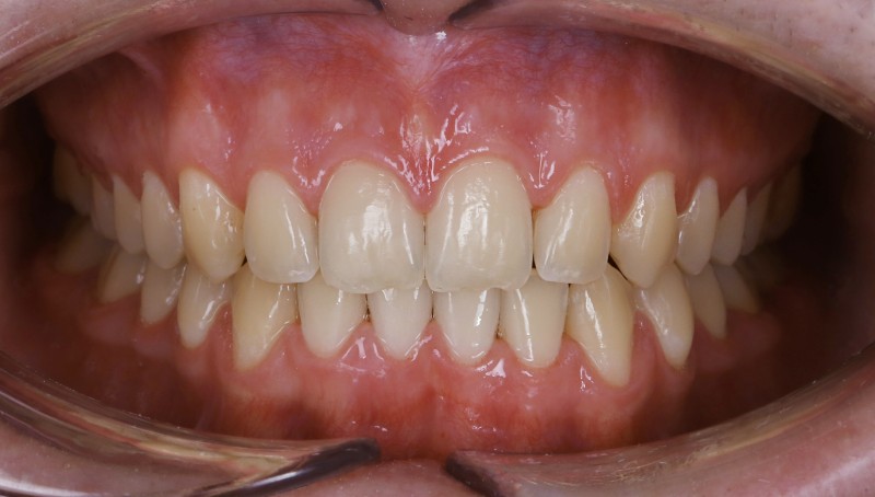
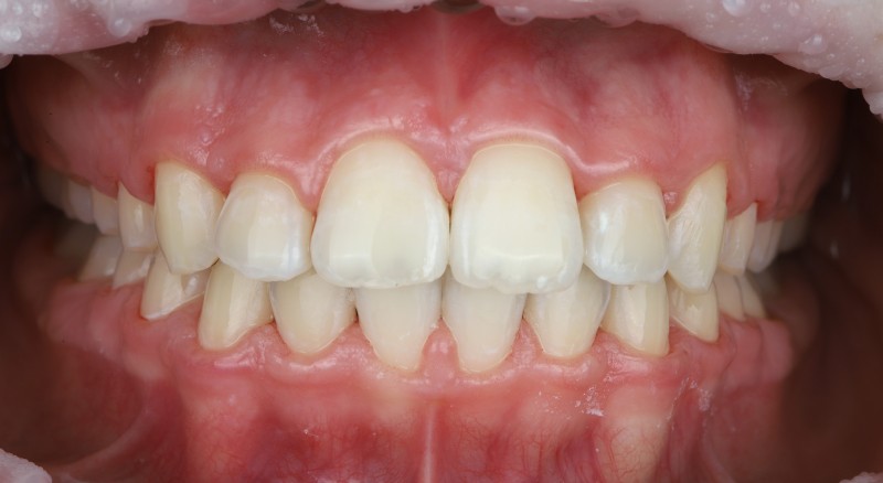
Дмитриева Антонина Ивановна: портфолио (2)

    Помогите другим сделать правильный выбор — оставьте свой отзыв о докторе
    Написать отзыв

    Услуги стоматолога в других клиниках

    Ортодонтия
    Установка брекетов от 19 800 ₽ до 150 000 ₽
    Снятие брекетов от 1 500 ₽ до 21 000 ₽
    Еще услуги