Стоматолог Каркаус Николай Алексеевич — цены, отзывы, стаж — Принимает в Воронеже

Каркаус Николай Алексеевич

Каркаус Николай Алексеевич - фотография
стоматолог-гигиенист
пародонтолог
Стаж 10 лет
Каркаус Николай Алексеевич принимает в «Стоматология ВИРТУОЗ» в Воронеже. Стаж 10 лет. Специализируется на гигиене полости рта и пародонтологии, по которым клиника оказывает 7 услуг. Квалификация специалиста подтверждена 5 лицензиями, сертификатами и наградами. Для уточнения дополнительной информации о специалисте или записи на прием можно позвонить по телефону
+7 (473)Показать телефон
.

Где принимает:

1 работа в портфолио
5 сертификатов
Опыт 10 лет

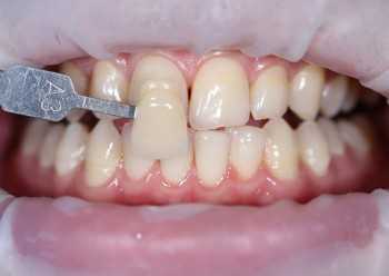
Каркаус Николай Алексеевич: портфолио (1)

    Помогите другим сделать правильный выбор — оставьте свой отзыв о докторе
    Написать отзыв

    Услуги стоматолога в других клиниках

    Терапевтическая стоматология
    Лечение периодонтита от 6 000 ₽ до 47 400 ₽
    Эстетическая стоматология
    Установка виниров от 29 995 ₽ до 60 000 ₽
    Наращивание зубов от 5 000 ₽ до 18 000 ₽
    Еще услуги
    Пародонтология
    Лечение пародонтита от 339 ₽ до 25 000 ₽
    Лечение пародонтоза от 800 ₽ до 25 000 ₽
    Еще услуги