Стоматолог Втулкина Анна Сергеевна — цены, отзывы, стаж — Принимает в Воронеже

Втулкина Анна Сергеевна

Втулкина Анна Сергеевна - фотография
стоматолог-ортодонт
Стаж 10 лет
врач первой категории
Втулкина Анна Сергеевна принимает в «Стоматологическая клиника ДЕНТТАЙМ ОРТО» в Воронеже. Врач первой категории, стаж 10 лет. Специализируется на ортодонтии, по которой клиника оказывает 7 услуг. Квалификация специалиста подтверждена 24 лицензиями, сертификатами и наградами. Для уточнения дополнительной информации о специалисте или записи на прием можно позвонить по телефону
+7 (473)Показать телефон
.

Где принимает:

24 сертификата
Опыт 10 лет
1 работа в портфолио
Врач первой категории

О стоматологе

Я придерживаюсь мнения, что в ортодонтии, как и во всей стоматологии, ключевую роль играет индивидуальный подход к каждому пациенту. Поэтому уделяю большое внимание диагностическому приему и составлению плана лечения. Это позволяет добиться высоких результатов, благодаря использованию современных технологий в области диагностики исправления прикуса. В свою очередь, регулярное посещение обучающих семинаров позволяет внедрять полученные теоретические знания в каждодневной практике. Также делаю акцент на построении доверительных отношений с каждым пациентом, так как уникальность моей специальности заключается в нашем систематическом и длительном взаимодействии. На мой взгляд, успешное ортодонтическое лечение - это командная работа, которая невозможна без доверия.

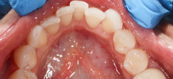
Втулкина Анна Сергеевна: портфолио (1)

    Помогите другим сделать правильный выбор — оставьте свой отзыв о докторе
    Написать отзыв

    Услуги стоматолога в других клиниках

    Терапевтическая стоматология
    Лечение периодонтита от 6 000 ₽ до 47 400 ₽
    Ортодонтия
    Установка брекетов от 19 800 ₽ до 150 000 ₽
    Снятие брекетов от 1 500 ₽ до 21 000 ₽
    Еще услуги