Стоматолог Никитина Евгения Сергеевна — цены, отзывы, стаж — Принимает в Москве

Никитина Евгения Сергеевна

Никитина Евгения Сергеевна - фотография
стоматолог-ортодонт
Стаж 18 лет
врач высшей категории
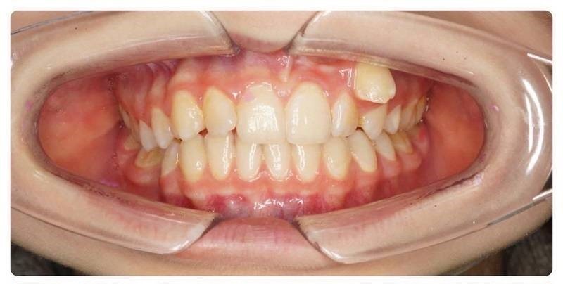
Никитина Евгения Сергеевна принимает в «Клиника Функциональной Стоматологии КЛИНИКА ДОКТОРА МЕДВЕДЕВА» в Москве. Врач высшей категории, стаж 18 лет. Специализируется на ортодонтии, по которой клиника оказывает 4 услуги. Имеет 2 работы до/после в портфолио. Квалификация специалиста подтверждена 16 лицензиями, сертификатами и наградами. Для уточнения дополнительной информации о специалисте или записи на прием можно позвонить по телефону
+7 (985)Показать телефон
. Также 32top представляет форму онлайн расписания, через которую можно записаться к специалисту на свободную дату и время.

Где принимает:

Опыт 18 лет
2 работы в портфолио
Врач высшей категории
16 сертификатов

Никитина Евгения Сергеевна: портфолио (2)

    Помогите другим сделать правильный выбор — оставьте свой отзыв о докторе
    Написать отзыв

    Услуги стоматолога в других клиниках

    Ортодонтия
    Установка брекетов от 10 000 ₽ до 400 000 ₽
    Снятие брекетов от 530 ₽ до 42 000 ₽
    Еще услуги