Стоматолог Сапронов Дмитрий Олегович — цены, отзывы, стаж — Принимает в Москве

Сапронов Дмитрий Олегович

Сапронов Дмитрий Олегович - фотография

5.0
Рейтинг: 5.0
Отзывов: 12
Положительных: 12
Отрицательных: 0
Последний : 328 дн. назад
12 отзывов
стоматолог-ортопед
Стаж 19 лет
Сапронов Дмитрий Олегович принимает в «Стоматологический центр РУТТ» в Москве. Стаж 19 лет. Специализируется на ортопедии, по которой клиника оказывает 22 услуги. Имеет 3 работы до/после в портфолио. Квалификация специалиста подтверждена 21 лицензиями, сертификатами и наградами, а опыт 12 отзывами пациентов, из которых 12 положительные. Для уточнения дополнительной информации о специалисте или записи на прием можно позвонить по телефону
+7 (800)Показать телефон
.

Где принимает:

21 сертификат
3 работы в портфолио
Опыт 19 лет

Отзывы о враче Сапронов Дмитрий Олегович

Рейтинг: 5
Отзывов: 12
Положительных: 12
Отрицательных: 0
Последний: 328 дн. назад
5.0
Почему нашим отзывам можно доверять?
После приема Пациент записывался в клинику через 32top. После приёма мы позвонили ему и получили отзыв.
8 июня 2025 г.
1 2 3 4 5
Проходил протезирование у Дмитрия Олеговича Сапронова - устанавливал коронки. Остался доволен и эстетикой, и функциональностью. Соотношение цены и качества полностью оправдало ожидания. Рекомендую!
31 августа 2023 г.
1 2 3 4 5
Я благодарна двум великолепным врачам клиники: Сапронову Дмитрию Олеговичу и Палкину Дмитрию Алексеевичу! Они - мои герои! Исправили то, что наворотили в другой клинике и сделали это очень аккуратно, профессионально с отличным результатом. Не перестану благодарить этих замечательных докторов и рекомендовать их всем! ❤️❤️❤️
29 июня 2017 г.
1 2 3 4 5
В клинику РУТ пошёл за зубом, удалил давно коренной зуб, решился на имплантацию. Клинику посоветовал знакомый, я убедился что там работают профессиональные врачи. Отдельная благодарность за работу моему врачу Сапронову Д. О., очень качественно провёл работу, сейчас у меня восстановлена нормальная жевательная функция. Имплант и коронка стоят идеально, рекомендую работу Дмитрия Олеговича в клинике РУТ!
4 мая 2017 г.
1 2 3 4 5
В клинику РУТ я обратился потому что у меня отсутствовал жевательный зуб и я планировал поставить имплант. Мне понравилось что администраторы меня подробно проконсультировали, хорошо владеют информацией, это говорит о высоком уровне клиники. Работал над моим зубом Сапронов Д. О., очень понравилось как провёл все этапы работ, без лишней возни, всё чётко, размерено и без боли. Вот уже прошло 6 месяцев с момента установки импланта и коронки на диоксиде циркония с абатментом. Отлично себя чувствую, жевательная функция полностью восстановлена. Спасибо Дмитрию Олеговичу за качественную работу.
8 апреля 2017 г.
1 2 3 4 5
Мне вот сразу понравилось, что Стоматология удобно расположена –рядом с метро и вход отдельный. В клинике удобно и комфортно находиться, можно сказать как дома Просто надоело быть беззубым… и решил сделать двухэтапную имплантацию. Честно скажу боялся, но добрый взгляд и золотые руки врача сделали всё идеально. Мои импаланты сделанные Артемом Сергеевичем прижились без проблем и Дмитрий Олегович так же хорошо поставил коронки, спасибо вам!
5 февраля 2017 г.
1 2 3 4 5
Врач Артём Сергеевич замечательный. 4 месяца назад ставил на верхней челюсти 5 имплантатов на 15. 23.24.25.26 зубы. Недавно закончил протезирование с м/к коронками у Дмитрия Олеговича. Все прошло нормально. Цены тоже впечатляют, относительно недорого за такое качество!
19 декабря 2016 г.
1 2 3 4 5
Очень понравился доктор Дмитрий Олегович! Отличное чувство юмора у человека, приятно общаться. Ставил накладочки на резцы, хорошо вышло! Перед этим проходила в этой же клинике лечение кариеса лазером. Ну очень прикольная штука! Нет этого отвратительного жужжания бор машины и вибрации. Все здорово! Понравилось и лечение и весёлый протезист))
29 августа 2016 г.
1 2 3 4 5
Меня к Омерэлли Э.Р. направила ортодонт перед установкой брекетов. Две восьмерки лежали горизонтально, их предстояло удалить. Хоть я и боялась, все прошло хорошо, врач удалил зубы быстро, притом без боли. Появился отек, но меня успокоили, что это нормально, так и вышло, через неделю все затянулось. Мне очень понравилась стоматологическая клиника Рут. На прием я попадала к терапевту Стотику В.В, ортопеду Сапронову Д.О., хирургу Артему Сергеевичу (фамилию, извините, не могу вспомнить). Каждый из них и по отдельности замечательный врач, а вместе они сильная команда, справились с моими сложными зубами, сейчас меня и не узнать! Самые хорошие воспоминания об этих врачах, и большущая им благодарность!
19 августа 2016 г.
1 2 3 4 5
Дмитрию Олеговичу большое спасибо,,Золотые руки!,,,, Доброго здравия ему и удачи в работе!!!,, Установил мне два моста-очень хорошо! Под этими словами подпишусь!!!
12 августа 2016 г.
1 2 3 4 5
Летом прошлого года мне удалили все зубы на нижней челюсти в связи с парадонтозом. Пользоваться съемным протезом не смогла и стала активно искать что-то новое в этом разделе медицины – вот так я вышла на сайт клиники Симпладент. Хочу поделиться своими впечатлениями от работы клиники Симпладент на «Руставели». Для этого постараюсь вкратце рассказать о самой структуре и о некоторых специалистах этого уникального центра. Именно уникального, поскольку до знакомства с этим учреждением, не могла даже представить, что на абсолютно беззубой челюсти, всего за четыре дня можно установить потрясающий НЕСЪЕМНЫЙ протез на шести базальных имплантатах, который эстетичен, не вызывает дискомфорта и других побочных ощущений, что так свойственно съемным протезам. А главное – с момента его установки я с радостью поняла, что «новые зубы» прекрасно справляются с любой пищей (но придерживаюсь ограничений, которые рекомендовал доктор). Клиника работает чётко и полностью соответствует своему статусу – это крупный совместный российско-швейцарский стоматологический центр, который открыт в 2008 году как одна из клинических баз, применяющая швейцарский метод базальной имплантации зубов. В центре холла клиники на Пролетарской, располагается стойка с администраторами. Хочу отметить их доброжелательность и индивидуальный подход к каждому пациенту. Без нервозности и спешки, они вам всё разъяснят, на очередную консультацию вы получите фирменную визитку клиники с указанием даты следующего посещения. А за сутки обязательно позвонят на ваш мобильный телефон и напомнят. Отдельная благодарность администраторам Ольге и Елене. Теперь об оплате. Оплата устанавливается один раз и уже в процессе лечения не меняется! Здесь не берут аванс, не требуют оплаты «вперед» - всё только по факту проделанной работы. При желании бухгалтерией клиники вам выдается документ для налоговой инспекции (оформление налогового вычета). Само слово «имплантация» непроизвольно вызывает страх у многих пациентов, в том числе и у меня. Однако процедура безболезненная (местная анестезия). Со мной работал доктор Омерелли Эмир Рамизович. Великолепный врач – челюстно-лицевой хирург, имплантолог! Замечательный подход к каждому пациенту, оптимизм Эмира Рамизовича сразу же вытесняет страх и боязнь, и вот – вы уже с имплантатами. Сразу после имплантации вы переходите в кабинет врача-ортопеда. И мне опять повезло, со мной работал Дорохов Константин Владимирович. Деликатность, сочетающаяся с потрясающим мастерством, а как результат – моя «новая», эстетичная улыбка и никакого дискомфорта во рту. Это происходит на четвертый день после имплантации. Три дня я с восхищением наблюдала за работой этого замечательного специалиста. Талант Дмитрия Олеговича несомненен, он чувствует даже мелкие нюансы, от которых зависит конечный результат работы. Ассистент доктора - Анечка, красивая и очень внимательная девушка, понимает Константина Владимировича с полу-взгляда и так же чётко и без лишних слов выполняет все манипуляции. В заключение, хочу выразить искреннюю благодарность главному врачу Максиму Александровичу! Он смог организовать работу таким образом, чтобы любой пациент, обратившийся в клинику Симпладент, остался доволен идеально организованной работой всего персонала, уютом и комфортом, в сочетании с великолепным оснащением современной аппаратурой, и буквально с первого посещения этого уникального лечебного учреждения, почувствовал доверие и желание лечиться именно в этой клинике. ВСЕМ ОГРОМНОЕ СПАСИБО!
    Помогите другим сделать правильный выбор — оставьте свой отзыв о докторе
    Написать отзыв

    Услуги врача (6)

    Эстетическая стоматология
    Установка виниров
    от 18 000 ₽ до 95 000 ₽ за 1 зуб
    Протезирование зубов
    Установка коронки на зуб
    от 45 000 ₽ за 1 зуб
    Установка бюгельного протеза
    от 56 000 ₽ до 75 000 ₽ за 1 челюсть
    Установка мостовидного протеза
    от 150 000 ₽ до 480 000 ₽
    Еще услуги
    Все цены носят ознакомительный характер. Точную цену вы сможете получить только после консультации специалиста.
    Звоните по телефону:
    +7 (800)Показать телефон

    О стоматологе

    Владеет всеми современными видами протезирования: съемное протезирование, мостовидные протезы и единичные коронки, микропротезирование винирами, протезирование на имплантах, в том числе с моментальной нагрузкой.

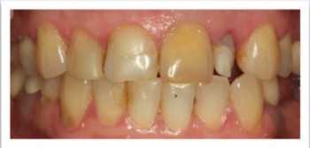
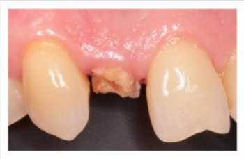
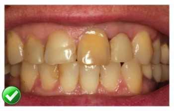
    Сапронов Дмитрий Олегович: портфолио (3)