Стоматолог Беньковский Владислав Вячеславович — цены, отзывы, стаж — Принимает в Москве

Беньковский Владислав Вячеславович

Беньковский Владислав Вячеславович - фотография
стоматолог-ортодонт
детский ортодонт
Стаж 29 лет
Беньковский Владислав Вячеславович принимает в «Стоматологическая клиника ДИАМАНТ ПЛЮС» в Москве. К.м.н., стаж 29 лет. Специализируется на ортодонтии, по которым клиника оказывает 6 услуг. Имеет 6 работ до/после в портфолио. Квалификация специалиста подтверждена 29 лицензиями, сертификатами и наградами. Для уточнения дополнительной информации о специалисте или записи на прием можно позвонить по телефону
+7 (495)Показать телефон
. Также 32top представляет форму онлайн расписания, через которую можно записаться к специалисту на свободную дату и время.

Где принимает:

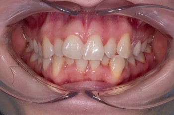
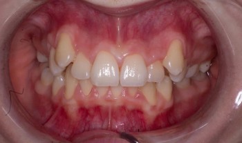
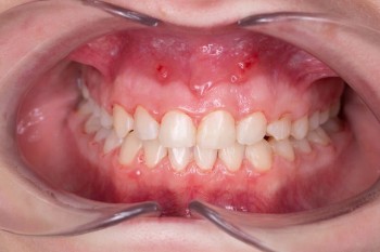
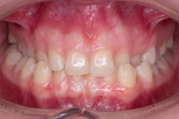
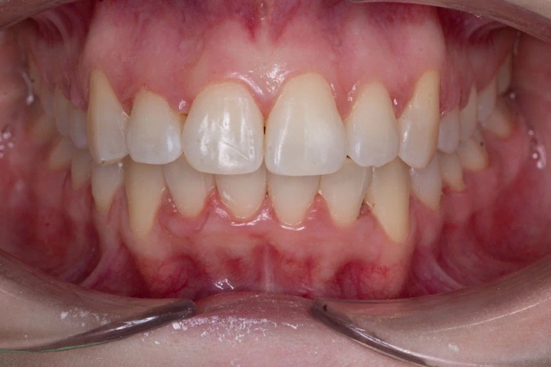
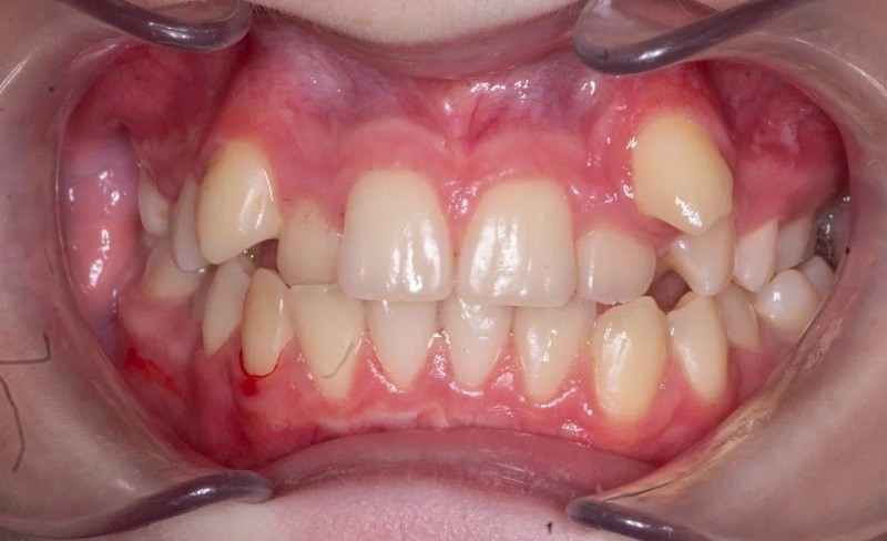
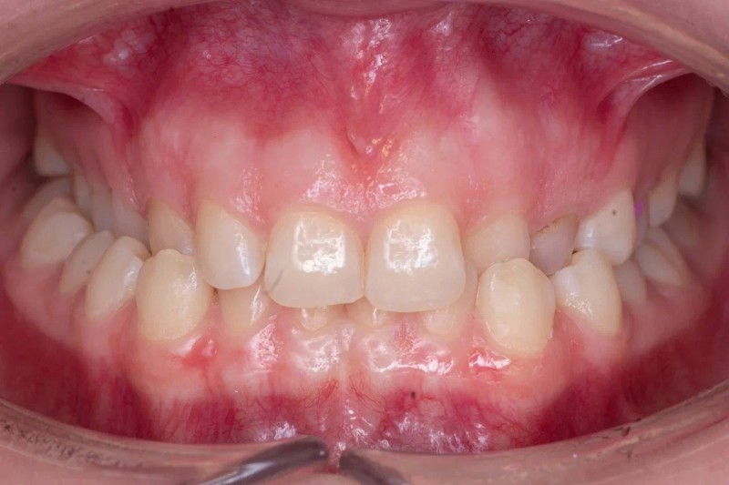
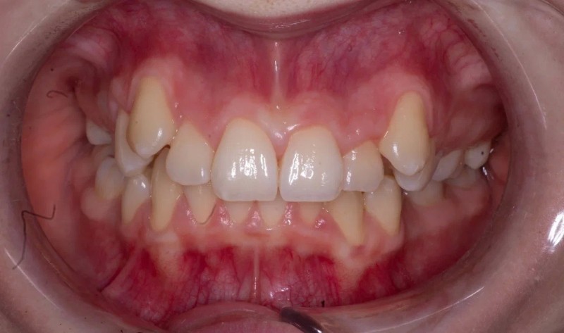
6 работ в портфолио
Кандидат мед.наук
Опыт 29 лет
29 сертификатов

Беньковский Владислав Вячеславович: портфолио (6)

    Помогите другим сделать правильный выбор — оставьте свой отзыв о докторе
    Написать отзыв

    Услуги стоматолога в других клиниках

    Диагностика
    Консультация ортодонта от 1 ₽ до 5 200 ₽
    Ортодонтия
    Установка брекетов от 10 000 ₽ до 400 000 ₽
    Снятие брекетов от 530 ₽ до 42 000 ₽
    Еще услуги