Стоматолог Додова Залина Мустапаевна — цены, отзывы, стаж — Принимает в Москве

Додова Залина Мустапаевна

Додова Залина Мустапаевна - фотография
стоматолог-терапевт
стоматолог-эндодонтист
Стаж 6 лет
Додова Залина Мустапаевна принимает в «Сеть стоматологических клиник БЬЮТИ СТОМ» в Москве. Стаж 6 лет. Специализируется на терапии и эндодонтическом лечении, по которым клиника оказывает 19 услуг. Имеет 3 работы до/после в портфолио. Для уточнения дополнительной информации о специалисте или записи на прием можно позвонить по телефону
+7 (495)Показать телефон
.

Где принимает:

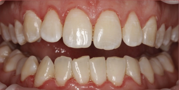
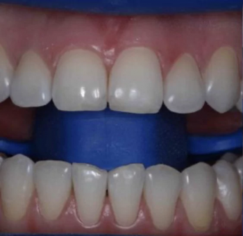
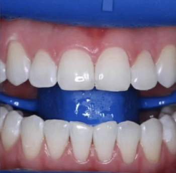
3 работы в портфолио
Опыт 6 лет

Отзывы о враче Додова Залина Мустапаевна

Почему нашим отзывам можно доверять?
20 марта 2022 г.
1 2 3 4 5
Отличная клиника, очень хороший сервис, внимательный коллектив. Удаляла зуб у Ахмедова Ахмеда Магомеджиевича. Все было сделано очень аккуратно. Сильно боялась, но уколы были почти безболезненны и удаление прошло быстро. Протезирование делала Заира Иссаевна Додова. Такое отношение к пациенту встречаю впервые. Столько тепла и заботы редко встретишь. Я очень благодарна всему коллективу: врачам и обслуживающему персоналу. Огромное всем спасибо и низкий поклон Ахмеду Магомеджиевичу и Заире Иссаевне. С уважением, Лидия Михайловна.
    Помогите другим сделать правильный выбор — оставьте свой отзыв о докторе
    Написать отзыв

    Услуги врача (29)

    Терапевтическая стоматология
    Лечение кариеса
    Лечение кариеса ICON
    Лечение поверхностного кариеса
    Еще услуги
    Все цены носят ознакомительный характер. Точную цену вы сможете получить только после консультации специалиста.
    Звоните по телефону:
    +7 (495)Показать телефон

    Додова Залина Мустапаевна: портфолио (3)

    Акции и скидки клиники БЬЮТИ СТОМ (4)