Стоматолог Тарба Лана Ивановна — цены, отзывы, стаж — Принимает в Москве

Тарба Лана Ивановна

Тарба Лана Ивановна - фотография
стоматолог-ортодонт
Стаж 14 лет
главный врач
Тарба Лана Ивановна принимает в «Стоматологическая клиника ОРТО ПОИНТ» в Москве. Главный врач, стаж 14 лет. Специализируется на ортодонтии, по которой клиника оказывает 11 услуг. Имеет 16 работ до/после в портфолио. Квалификация специалиста подтверждена 11 лицензиями, сертификатами и наградами. Для уточнения дополнительной информации о специалисте или записи на прием можно позвонить по телефону
+7 (495)Показать телефон
. Также 32top представляет форму онлайн расписания, через которую можно записаться к специалисту на свободную дату и время.

Где принимает:

16 работ в портфолио
11 сертификатов
Опыт 14 лет
Главный врач
    Помогите другим сделать правильный выбор — оставьте свой отзыв о докторе
    Написать отзыв

    Услуги врача (15)

    Ортодонтия
    Установка брекетов
    от 40 000 ₽ до 65 000 ₽ за 1 челюсть
    Снятие брекетов
    от 5 000 ₽ за 1 челюсть
    Установка элайнеров
    от 115 000 ₽ до 450 000 ₽ за обе челюсти
    Еще услуги
    Все цены носят ознакомительный характер. Точную цену вы сможете получить только после консультации специалиста.
    Звоните по телефону:
    +7 (495)Показать телефон

    О стоматологе

    Комплексное лечение прикуса с учетом функционирования зубочелюстной системы в целом. Цифровые методы диагностики, планирования и моделирования процесса. Исправление прикуса на классических и современных брекет-системах. Выравнивание зубов невидимыми элайнерами, сертифицированный специалист Invisalign. Регулярное повышение квалификации, участник ежегодных съездов ортодонтов России

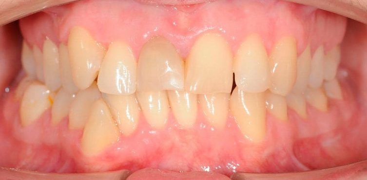
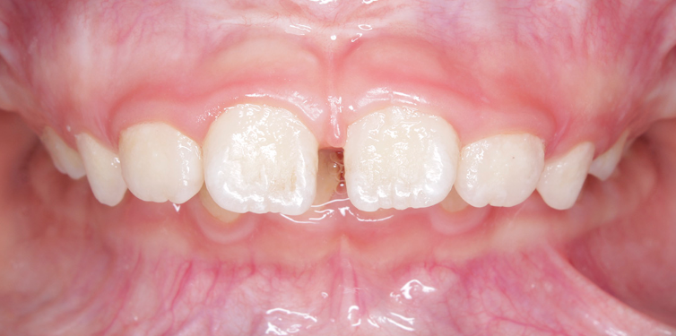
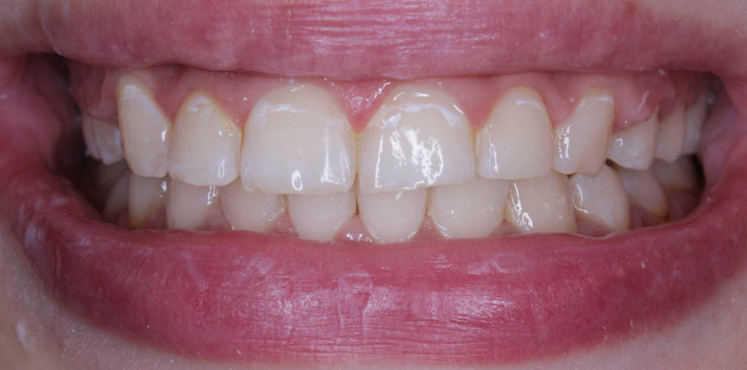
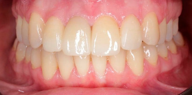
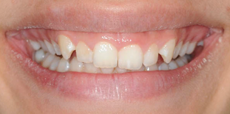
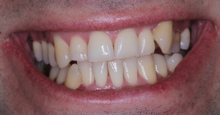
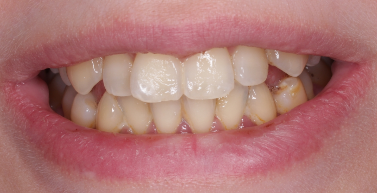
    Тарба Лана Ивановна: портфолио (16)