Стоматолог Прохоренко Оксана Владимировна — цены, отзывы, стаж — Принимает в Москве

Прохоренко Оксана Владимировна

Прохоренко Оксана Владимировна - фотография
стоматолог-ортодонт
Стаж 12 лет
Прохоренко Оксана Владимировна принимает в «Сеть клиник ДЕНТАЛ ВЕЙ» в Мытищах. Стаж 12 лет. Специализируется на ортодонтии, по которой клиника оказывает 9 услуг. Имеет 4 работы до/после в портфолио. Квалификация специалиста подтверждена 5 лицензиями, сертификатами и наградами. Для уточнения дополнительной информации о специалисте или записи на прием можно позвонить по телефону
+7 (495)Показать телефон
. Также 32top представляет форму онлайн расписания, через которую можно записаться к специалисту на свободную дату и время.

Где принимает:

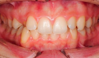
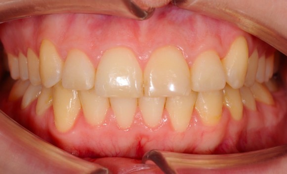
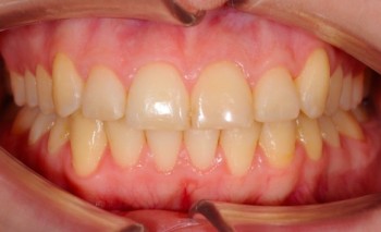
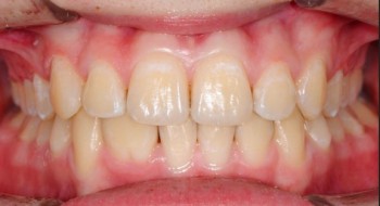
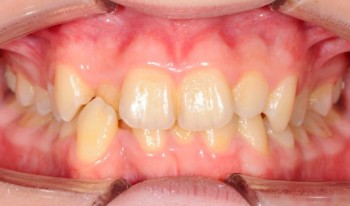
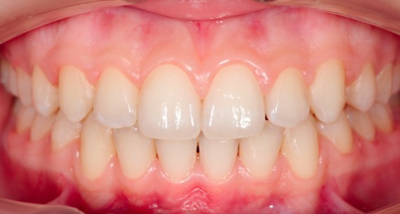
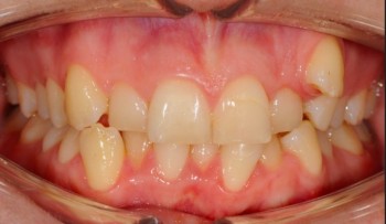
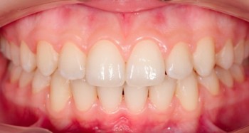
4 работы в портфолио
5 сертификатов
Опыт 12 лет

О стоматологе

Доктор уже год успешно ведет ортодонтический прием детей и взрослых. Берется за лечение ортодонтических пациентов любой сложности и всегда добивается превосходных результатов. Очень внимательный доктор. Дает очень подробные развернутые консультации и в доступной форме.

Прохоренко Оксана Владимировна: портфолио (4)

    Помогите другим сделать правильный выбор — оставьте свой отзыв о докторе
    Написать отзыв

    Услуги стоматолога в других клиниках

    Диагностика
    Консультация ортодонта от 1 ₽ до 5 200 ₽
    Ортодонтия
    Установка брекетов от 10 000 ₽ до 400 000 ₽
    Виды брекетов по материалу
    Еще услуги