Стоматолог Широков Иван Юрьевич — цены, отзывы, стаж — Принимает в Москве

Широков Иван Юрьевич

Широков Иван Юрьевич - фотография
стоматолог-ортопед
Стаж 22 года
Широков Иван Юрьевич принимает в «Центр современной стоматологии РЕСМАЙЛ» в Москве. К.м.н., стаж 22 года. Специализируется на ортопедии, по которой клиника оказывает 22 услуги. Имеет 3 работы до/после в портфолио. Квалификация специалиста подтверждена 26 лицензиями, сертификатами и наградами. Для уточнения дополнительной информации о специалисте или записи на прием можно позвонить по телефону
+7 (800)Показать телефон
.

Где принимает:

Опыт 22 года
26 сертификатов
3 работы в портфолио
Кандидат мед.наук
    Помогите другим сделать правильный выбор — оставьте свой отзыв о докторе
    Написать отзыв

    Услуги врача (21)

    Протезирование зубов
    Установка коронки на зуб
    от 45 000 ₽ за 1 зуб
    Ремонт зубных протезов
    Перебазировка съёмного протеза
    Еще услуги
    Все цены носят ознакомительный характер. Точную цену вы сможете получить только после консультации специалиста.
    Звоните по телефону:
    +7 (800)Показать телефон

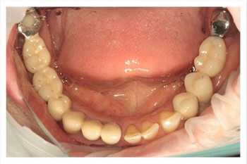
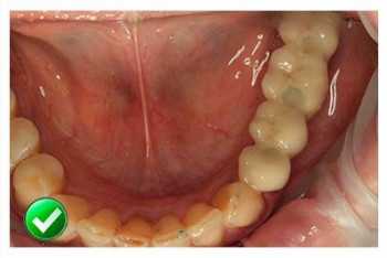
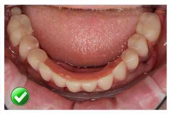
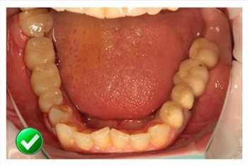
    Широков Иван Юрьевич: портфолио (3)